(✔)第六章 关节脱位与损伤(学时 2学时)
掌握:1.肩关节、肘关节的组成、特点和运动。/2.关节脱位的分类、体征、症状及诊断。
熟悉:1.肩关节脱位、小儿桡骨头脱位的诊断及治疗。/2.髋关节脱位的分类、诊断及治疗
能力目标
1.通过学习脱位的诊疗,掌握复位操作技能,锻炼动手能力;
2.通过学习关节脱位的分类,能准确描述出各种脱位的特点。
(四)重点及难点
重点:1.肩、肘关节的组成/2.髋关节脱位的分类及诊疗/3.小儿桡骨头脱位的诊断及治疗。
难点:1.膝关节韧带的组成及运动特点;2.髋关节脱位的手术治疗方式。
肩关节(最灵活):构成:肱骨头和肩胛骨的关节盂构成
特点:1.肱骨头大,关节孟小而浅 2.关节薄而松弛 3.囊的上、前、后均有韧带肌肉加强,下壁最薄弱,肱骨头易向前下方脱位 4.关节孟的周缘有孟唇
5.肱二头肌长头腱经过结节间滑液鞘内穿出。
运动:肩关节能作屈、伸、收、展、旋转和环转运动。
肩关节脱位:
- 病因:直接暴力,间接暴力:1.传达暴力(外旋外展位),2.杠杆作用力
- 特点:根据肱骨头脱位的方向可分为前、后、上,下脱位四型,以前脱位最多见
- 临床表现:外伤史,肩部肿胀、疼痛,功能障碍,患臂弹性固定于肩外展20~30度, 喙突下、腋窝内或锁骨下可触及肱骨头,方肩畸形(患肩失去圆形膨隆外形,肩峰显著突出,肩峰下部空虚),搭肩试验阳性(Dugas[杜加]征)(患侧肘关节屈曲,肘部贴紧胸壁,则患侧手不能搭在健侧肩部,患侧手搭在健侧肩部,肘部不能贴近胸壁)
- 并发症:腋窝神经血管损伤(少见),腋神经损伤 (一过性损伤),骨折。
- 治疗:原则:复位:一般局麻下行手法复位(Hippocrates),少数手术切开复位,固定:三角巾悬吊3-4周,功能锻炼:固定期间活动腕部及手指;解除固定后主动肩关节活动。切忌过早活动,以免发生习惯性脱位。1.足蹬法;2.旋转法;3.悬垂法
- 复位后检查:搭肩试验是否阴性,方肩畸形是否消失,患侧腋窝下、喙突下、锁骨下是否已摸不到脱出的肱骨头,肩关节能否作被动活动,X线摄片肩关节是否已复位
- 手术治疗:手法复位失败,青壮年患者,脱位时间超过3周以上,陈旧性肩关节前脱位,合并血管神经压迫症状,习惯性肩关节脱位。
夹纸试验:尺神经,银叉样—桡骨下端骨折(Colles骨折–枪刺刀畸形);Barton骨折-桡骨远端骨折伴腕关节脱位(关节面骨折)
肘关节 由肱骨下端和桡、尺骨的上端构成的复关节
(1)构成: 1.肱尺关节:由肱骨滑车和尺骨滑车切迹构成。
2肱桡关节:由肱骨小头和桡骨头的关节凹构成。
3.桡尺近侧关节:由桡骨环状关节面和尺骨桡切迹构成。
特点:1.三个关节包在一个关节囊内; 2.囊的前、后壁薄而松弛,后壁最薄弱,桡、尺骨易向后脱位,两侧壁厚而紧张,并有桡侧副韧带、尺侧副韧带和桡骨环状韧带加强。
运动:肘关节可作屈、伸运动。伸肘时,前臂偏向外侧与臂部形成约163°的提携角。屈肘时,桡骨内上、外上和鹰嘴之间形成一个等腰三角形,肘关节脱位时,这种正常比例关系发生改变。
肘关节脱位:
此三角关系—判断肘关节脱位和肱骨髁上骨折标志
- 病因:最常见的脱位之一(仅次于肩关节),多发生于青壮年,关节后脱位多见,肘关节后脱位多间接暴力(传达暴力或杠杆作用)造成。
- 临床表现:症状:肘部肿胀、疼痛、畸形、弹性固定,活动功能障碍;体征:肘后部空虚。肘后三角关系破坏。

- 治疗:(一)手法整复:新鲜肘关节后脱位:单双人复位,固定,石膏后托固定肘关节于90°屈曲位,并用三角巾悬挂胸前2~3周(二)手术治疗:适应症:1、新鲜性肘关节脱位伴骨折,手法复位失败;脱位整复后骨折片嵌入关节无法解脱者 ,2、陈旧性肘关节脱位,手法整复失败或不适合手法者,方式:克氏针固定、肘关节成形术、人工肘关节置换术等
桡骨小头半脱位又称环状韧带移位或牵拉肘,俗称错环,是儿童常见的骨科损伤,多发生于5岁以下幼儿
1.临床表现:哭闹不止,肘部呈轻度屈曲或伸直位,拒绝使用患肢,拒绝触碰患肢。肘关节无明显肿胀,无明显畸形,活动时疼痛。X线检查无异常改变
2.治疗:1.拇指按压桡骨小头处;2.将前臂作旋后或旋活动,检查是否复位成功,让患儿抬举上肢过头。//屈肘90,前臂旋前旋后//无需制动固定
关节脱位概念:组成关节的各骨面失去正常对合关系,多发生于儿童和青壮年,上肢关节脱位多于下肢关节脱位
关节脱位的病因与分类
一、病因分类:
- 创伤性脱位:多发生于青壮年,主要由外界暴力引起的脱位,是脱位最常见的原因;
- 病理性脱位:由于关节疾病导致关节结构发生病变,骨端遭到破坏,不能维持关节面正常的对合关系;
3.习惯性脱位:创伤性脱位后,关节囊及韧带松弛或在骨附着处被撕脱,使关节结构不稳定,轻微外力即导致再脱位,如此反复,形成习惯性脱位。多见于肩关节脱位
4.先天性脱位:胚胎发育异常导致关节先天性发育不良,出生后即发生脱位且逐渐加重。
二、按脱位程度分类
1.脱位:关节面失去正常对合关系;2.半脱位:部分失去正常对合关系
3.扭伤:关节周围韧带和关节囊的损伤(一次性脱位)
三、按脱位发生的时间分类
1.新鲜性脱位:关节脱位发生3周以内,关节腔无肉芽生长,手法复位容易成功;
2.陈旧性脱位:关节脱位发生在3周以上,关节内长满肉芽组织,常需要手术切开复位
四、按脱位后关节腔是否与外界相通分类
1.开放性脱位:脱位关节腔与外界相通;2.闭合性脱位:局部皮肤完好,不与外界相通
五、按脱位后关节的位置分类:上中下前后
关节脱位的症状:肿胀,疼痛,功能障碍。
关节脱位的专有体征:
畸形:关节脱位后骨端移位导致外形的改变,产生畸形
关节空虚:关节脱位后在体表触摸关节腔,其内空虚,附近可触及脱位的骨端
弹性固定:关节脱位后,患肢固定于异常位置,被动活动时感到有弹性阻力
——
并发症:周围神经受压,周围血管受压
关节脱位的治疗原则:复位:包括手法复位和切开复位,以手法复位为主;固定:的关节囊、韧带、肌肉等软组织得以修复;功能康复:目的是防止肌肉萎缩及关节僵硬,促使关节功能早日恢复。
肩锁关节脱位:

1.病因:直接暴力:多见,侧位摔倒,例如骑摩托车摔倒,踢足球摔倒等;间接暴力:少见,牵拉或坠落伤。2.分型:I型:关节囊、韧带未断裂,II型:关节囊破裂、半脱位,III型:关节囊、韧带完全断裂。3.临床表现:症状:肩部疼痛,患侧上肢上举或外展时疼痛加重,体征:肩锁关节局部压痛或出现畸形。肩峰外侧端隆起,向下推压出现反弹性的琴键征(piano sign)–提示肩锁关节完全性脱位。4.治疗:Ⅰ型:支具或吊带固定2-3周,尽早行轻柔功能锻炼,防止关节僵硬。Ⅱ型:治疗原则同Ⅰ型,若症状不减则需行手术治疗。Ⅲ型:手术治疗。
髋关节脱位(股骨和骨盆髋臼之间的关节失去了正常位置)
1.脱位原因:高能量损伤才能脱位,车祸、高坠伤等,发生率约占全身各关节脱位的5%,85%-90%为后脱位,多发生于青壮年
2.脱位分型:以髂坐线(Nelaton:坐骨结节至髂前上棘的连线。正常情况下,此线经过大转子尖端,当股骨颈骨折或髋关节后脱位时,大转子尖端可向上移位超过此线。)为标准:前方——前脱位(外展位);后方——后脱位(内收位);中心脱位:股骨头突破髋臼底部或入盆腔(合并有髋臼横行骨折,或髋臼顶骨折或者髋臼复杂性骨折,并入髋臼骨折处理)
3.临床表现:1、外伤史,2、肿胀、疼痛、髋关节活动受限,后脱位:患者缩短;髋关节屈曲、内收、内旋(弹性固定),黏膝征(+),前脱位:患肢增长;髋关节屈曲、外展、外旋(弹性固定),黏膝征(-),中心性脱位:股骨头严重移位者,大粗隆内移,患肢短缩。


坐骨神经损伤
4.治疗:新鲜髋关节后脱位,应立即施行手法复位,即使合并髋臼或股骨头骨折者,亦应即刻复位,闭合复位仅可尝试1或2次一旦失败,则应行切开复位,以防对股骨头进一步损伤。闭合复位常用方法:AIlis手法复位,Stimson重力复位法
对陈旧性脱位多主张手术切开复位.
5.并发症:1、股骨头缺血坏死,2、创伤性关节炎,3、术后再脱位
(重点-论述)股骨颈骨折
中、老年人,与骨质疏松导致的骨下降有关,遭受轻微扭转暴力则可发生骨折,多数情况下是在走路跌倒时, 身体发生扭转倒地,间接暴力传导致股骨颈发生骨折 青少年股骨颈骨折较少,常需较大暴力引起,不稳定型多见
1. 接骨折线部位分类
(1)股骨头下骨折 骨折线位于股骨头下,股骨头仅有小凹动脉很少量的血供,致使股骨头严重缺血,故发生股骨头缺血坏死的机会很大
(2)经股骨颈骨折 骨折线位于股骨颈中部,股骨头亦有明显供血不足,易发生股骨头缺血坏死,或骨折不愈合
(3)股骨颈基底骨折:骨折线位于股骨颈与大、 转子间连线处 由于有旋股内、外侧动脉分支吻合成的动脉环提供血液循环,对骨折部血液供应的干扰较小,骨折容易愈合

稳定型:外展骨折,pauwels角-骨折线与两髂嵴连线之间(>50-内收,<30-外展)
内收:患肢缩短,屈曲内收外旋畸形
按移位程度分类Garden分型:Ⅲ型与IV型占股骨颈骨折的78.2%。X线平片诊断为GardenI型的骨折经CT检查均为完全骨折。因此,成人GardenI型骨折实际上不存在。

【临床表现与诊断】中、老年人有跌倒受伤史,伤后感髋部疼痛,下肢活动受限,不能站立和行走,应怀疑股骨颈骨折。有时伤后并不立即出现活动障碍,仍能行走,但数天后,髋部疼痛加重,逐渐出现活动后疼痛更重,甚至完全不能行走,这说明受伤时可能为稳定骨折,以后发展为不稳定骨折而出现功能障碍。检查时可发现患肢出现外旋畸形,一般在45°~60°。这是由于骨折远端失去了关节囊及髂股韧带的稳定作用,附着于大转子的臀中肌、臀小肌及臀大肌的牵拉和附着于小转子的骼腰肌及内收肌群的牵拉,而发生外旋畸形。若外旋畸形达到90°,应怀疑有转子间骨折。股骨颈骨折伤后很少出现髋部肿胀及瘀斑,可出现局部压痛及轴向叩击痛。肢体测量可发现患肢短缩。在平卧位,由髂前上棘向水平画垂线,再由大转子与骼前上棘的垂线画水平线,构成Bryant三角,股骨颈骨折时,此三角底边较健侧缩短。在侧卧并半屈髋,由骼前上棘与坐骨结节之间画线,为Nelaton线,若大转子超过此线之上,表明大转子有向上移位.
【治疗】年龄过大,全身情况差,合并有严重心、肺、肾、肝等功能障碍不能耐受手术者,要尽早预防和治疗全身并发症,全身情况允许后尽早尽快手术治疗。嘱其进行股四头肌等长收缩训练和踝、足趾的屈伸活动,避免静脉回流障碍或静脉血栓形成。
手术方法:
(1 )闭合复位内固定:病人仰卧于骨科手术牵引床或用双反牵引复位器复位,复位成功后 枚空心拉力螺钉 植入固定,或动力髓螺钉固定 若置钉时股骨头有旋转,也可将螺钉与动力髓螺钉联合应用
(2 )切开复位内固定:手法复位失败,或固定不可靠,或青壮年的陈旧骨折不愈合,宜采用切开复位内固定术
(3 )人工关节置换术:对全身情况尚好,预期寿命比较长的 Garden Ⅲ型股骨颈骨折的老年病人,选择全髋关节置换术;对全身情况差,合并症比较多,预期寿命比较短的老年病人选择半髋关节置换术
转子间骨折:极度外旋位,可达90°;

在上 1/3 折,由于儒腰肌、臀中肌、臀小肌和外旋肌的牵拉,使近折端向前、外及外旋方向移位;远折端则由于内收肌的牵拉而向内、后方向移位;由于股四头、阔筋膜张肌及内收 的共同 用而向近端移位。
中 1/3 骨折后,由于内收肌群的牵拉,使骨折向外成角
下 1/3 骨折后,远折端由于排肠肌的牵拉以及肢体的重力作用而向后方移位,又由于股前、外、内 牵拉的合 ,使近折端向前移位,断端重叠,形成短缩畸形
[治疗]
非手术治疗 3岁以下儿 采用垂直悬吊皮肤牵引在牵引过程中,要定时测量肢体长度和进行床旁X线检查,了解牵 力是否足够。若牵引力过大,导致过度牵引,骨折端出现裂隙,将会发生骨折延迟愈合或不愈合。;成人和3岁以上 的股骨干骨折近年来多采用手术内固定治疗 对于存在于术 忌证的,可行持续 10 卧床期间,需肌肉收缩训练,预防肉萎缩、关节粘连和深静脉血栓形成。床旁X线平片证实骨折愈合后,下地活动
手术治疗 成人股骨干骨折于术多采用钢板、带锁髓内钉固定。儿童股骨干骨折多采用弹性钉内固定;严重的开放性骨折可用外固定架治疗
(✔)第七章骨骼肌肉系统影像学检查和基本病变的影像学表现(学时 10学时)
掌握:
1.脊柱、头颅、四肢骨的正常影像学表现。/2.骨骼肌肉系统基本病变的影像学表现。
3.骨与关节创伤的影像表现。/4.骨关节感染(化脓性骨关节炎、骨关节结核)的X线、CT、MR表现。/5.骨坏死的X线、CT、MR表现。/6.骨肿瘤的分类及良恶性肿瘤的鉴别。/7.骨肿瘤(骨软骨瘤、骨巨细胞瘤、骨肉瘤、骨转移瘤等)的X线、CT、MR表现。/8.常见慢性关节病(类风湿关节炎、强直性脊柱炎、退行性骨关节病、椎管狭窄、椎间盘突出等)的X线、CT、MR表现。
熟悉:
- 熟悉不同成像技术在骨关节肌肉系统临床应用的优点及局限性。/2.骨囊肿的X线、CT、MR表现。/3.常见内分泌与代谢性骨病(骨质疏松症、痛风等)的X线、CT、MR表现。/4.骨骼肌肉系统的影像检查读片方法。
(四)重点及难点
重点:骨关节创伤、感染和骨肿瘤的影像表现。
难点:
1.急、慢性化脓性骨髓炎的影像学特点。/2.骨良恶性肿瘤的鉴别要点。
3.骨巨细胞瘤的临床与影像学特点。/4.类风湿性关节炎的主要影像学表现。
影像检查方法:
1.X线检查—平片
X线为首选检查方法,简单、快捷(急诊),性价比高。
特异性较高,敏感性差(不能排除早期病变),空间分辨率和密度分辨率欠佳。
应用较为广泛,可用于创伤、炎症、肿瘤、代谢及内分泌疾病的影像诊断。
2.CT检查(平扫+增强):X线的补充,良好的密度分辨率,敏感性、特异性及精确性均较高,脊柱、头颅及骨盆等结构复杂的部位可首选。精确评估,能发现骨质细微改变,对钙化及骨皮质病变显示良好。增强扫描,帮助定性。强大的后处理功能。
3.MRI检查(平扫+增强):关节损伤,骨髓挫伤,X/CT等检查难于发现的隐匿骨折 ,新旧骨折的鉴别;敏感性高:累及骨髓改变的骨病(早期骨缺血性坏死,早期骨髓炎、骨髓肿瘤或侵犯骨髓的肿瘤),骨肿瘤或肿瘤样病变,骨关节炎等。软组织分辨率好,关节软骨、韧带、半月板、肌腱及软组织病变为首选。
影响骨发育的因素:骨样组织形成(骨基质),矿物盐(骨盐)沉积
长骨正常影像表现
小儿:骺软骨未完全骨化,长骨分为骨干、干骺端、骨骺及骺板
成人:骨发育完全,骺与干骺端结合,只有骨干和骨端



骨骼肌肉基本病变:
1.骨质疏松:一定单位体积内正常钙化的骨组织含量减少(有机成份和钙盐同时减少但比例仍正常)X线表现:
(1)骨密度降低(2)松质骨中骨小梁变细、减少、间隙宽,(3)骨皮质变薄,髓腔增宽(4)椎体常见:上下缘内凹,椎间隙宽

原因:
广泛性:老年、绝经后妇女,营养不良与代谢障碍,内分泌疾患(甲状旁腺、肾上腺、脑下垂体)
局限性:废用性,骨折后,感染,恶性肿瘤等
2.骨质软化:一定单位体积内骨组织有机成份正常,仅钙盐减少(比例不正常)。
骨样组织钙化不足,骨小梁中央部分钙化,周围覆以未钙化的骨样组织。
X线表现:(1)骨密度降低。(2)骨小梁变细模糊、骨皮质变薄,先期钙化带模糊。(3)骨骺迟出现、变细。(4)承重骨骼弯曲变形。
见于:儿童佝偻病、成人骨软化症、 肾性骨病。(维生素D 缺乏;钙磷代谢障碍)
3.骨质破坏:局部骨质为病理组织替代
X线表现:(1)局限性密度减低/增高(2)骨小梁稀疏及缺损,骨皮质中断
- 边缘锐利(慢性、良性);边缘模糊(急性、恶性)(5)周围有/无硬化区
(6)单发或多发,大小不一,见于:肿瘤和肿瘤样病变,化脓性和结核性感染
*CT、MR:可区分皮质骨和松质骨的破坏





4.骨质增生硬化一定内单位体积内骨量的增多
5.骨膜反应:骨膜受剌激后成骨细胞活动增加引起骨膜增生,提示存在病变
X线表现:骨皮质外致密阴影,线状,层状,葱皮状、花边状 -提示良性///针状,放射状 -提示恶性

6.骨质坏死:骨组织局部血供障碍、代谢停止、发生坏死、形成死骨。
组织学:骨细胞死亡、消失,骨髓液化、萎缩
7.软骨钙化:无结构的致密影,分为生理性和病理性,X线表现:大小不等的颗粒状、环状或斑片状高密影,CT能显示微小的钙化,MRI不敏感
| 软骨源性肿瘤 | 肿瘤软骨内钙化 |
| 骨梗死 | 骨髓内钙化 |
| 关节软骨或椎间盘退变 | 软骨钙化 |

8.矿物质沉积:铅、磷、铋、氟等,成年:骨内,生长期:干骺端

X线表现:多条横行的致密带,厚薄不一,氟骨症:成骨活动或破骨活动增加,骨小梁粗糙、紊乱,骨密度增高或密度减低。
9.骨骼变形:因骨塑形异常或轴线及轮廓的变化而引起的改变。骨骼变形,骨质密度减低,皮质变薄,成骨不全,塑形不足,骨纤维异常增殖症


X线表现:骨质局限性骨密度增高,死骨骨小梁表面新骨形成(绝对),死骨周围骨质吸收,肉芽、液体包绕 (相对)
见于 :化脓性骨髓炎、骨梗死、骨折后 、 骨结核、放射伤
10.周围软组织病变:X线表现:软组织肿胀,层次不清,软组织肿块或钙,骨化等


关节基本病变
1.关节肿胀:由于关节积液、周围软组织充血水肿、炎症所致,X线表现:关节周围软组织饱满肿大、密度增高,见于关节炎症、外伤和出血性疾病。CT/MRI分辨积液和出血。



2.关节破坏:关节软骨和其下的骨性关节面骨质被病理组织所侵犯、取代
X线表现:破坏只累及关节软骨时仅见关节间隙狭窄,累及骨关节面时则出现相应的骨破坏和缺损,严重时出现关节半脱位和关节变形,主要见于各种关节的炎症。
3.关节退行性变:缓慢发生的软骨变形、坏死、溶解,关节间隙变窄,继而骨性关节面增生、硬化,并于骨缘形成骨赘,X线表现:关节间隙狭窄、软骨下骨质囊变和骨性关节面边缘骨赘形成,老年人常见,慢性创伤和长期承重也可导致:脊柱,髋关节、膝关节为明显
4.关节强直:关节活动消失,分为:


(1)骨性强直:关节明显破坏后,骨小梁通过关节连接两侧骨端,关节间隙变窄或消失,多见于急性化脓性关节炎愈合后,
(2)纤维性强直:X线表现:关节间隙狭窄,但无骨小梁通过,常见于关节结核
5.关节脱位 :组成关节的骨骼脱离、错位,分完全性和不完全性两种(关节面不接触,关节面部分接触),多见于外伤,也有先天性和病理性
(重点-1)骨关节感染
一、化脓性骨髓炎
临床特点:1、金黄色葡萄球菌,2、好发于儿童、青少年,男性多见,3、长骨多见
4、儿童骺软骨可阻碍化脓性感染,不易侵犯关节;成人可引起化脓性关节炎,5、感染途径:血行感染;附近软组织或关节感染的直接蔓延;开放性骨折或火器伤直接进入
分类:
1、急性化脓性骨髓炎:骨质破坏为主
临床表现:1、起病急、发热;2、活动障碍、疼痛;3、红肿、压痛
病理:1.细菌栓子停留于干骺端(因血运丰富、流速慢);2.局部炎症(致骨质破坏);
3.形成骨膜下脓肿(致骨膜增生并骨壳形成);4.经哈氏管侵入髓腔甚至整个骨干
5.骨质血供障碍致骨质坏死(因骨膜掀起和血栓性动脉炎)6.形成死骨
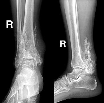
影像学表现:(1)X线平片:早期(3-5天)皮下软组织肿胀,肌间隙模糊;两周后(10-14天始)骨质破坏、骨膜增生(层状),骨膜新生骨包壳形成;部分形成死骨(抗生素广泛应用致少见)。
2周以后:1、骨质疏松:局限;2、骨质破坏为主→骨干;3、骨膜增生:骨包壳;4、骨质坏死:死骨 ;5、轻度骨质增生
(2)CT:能发现细小的破坏区和细小的死骨;(3)MRI:在显示髓腔及软组织受累范围优于平片和CT。充血、水肿、渗出和脓肿在T1WI为低信号, T2WI为高信号,脓腔壁可明显强化。

2、慢性化脓性骨髓炎(慢性骨脓肿(Brodie脓肿):由低毒性 葡萄球菌引起,症状轻。干骺端类圆形 破坏区,有硬化边,偶见小死骨,无骨膜增生,硬化性骨髓炎):增生硬化为主、死骨、瘘管
临床特点:1、急性治疗不彻底或不及时等,转化为慢性骨髓炎。
2、脓腔和死骨存在,导致排脓瘘管经久不愈或时愈时发。
X线平片与CT:1)病变时愈时发,软组织瘘管形成;(2)骨质破坏的同时,以增生硬化为主;骨干增粗,髓腔闭塞,骨膜增生(形成骨壳),死骨仍存(3)愈合:a、破坏区与死骨消失;b、增生硬化吸收,髓腔沟通。
MRI优势:显示软组织病变(肉芽组织、脓液、瘘管T1低或等T2高信号)。
X线表现:1、骨质增生硬化为主。2、骨质破坏轻。3、有脓腔和死骨。4、骨干增粗、变形。5、髓腔变窄甚至闭塞。



慢性硬化性骨髓炎
X线表现
1、骨质增生硬化
2、骨膜增生,髓腔变窄
3、骨干增粗
慢性骨脓肿(Brodie脓肿):低毒性葡萄球菌引起,症状轻。干骺端类圆形破坏区,有硬化边,无骨膜增生,偶见小死骨。X线表现:1、圆形或卵圆形骨破坏。2、周缘骨硬化。3、少见骨膜反应及死骨。
关节炎(不在骨上)
常继发于化脓性骨髓炎,也可单独发生,儿童多见
临床表现:红、肿、热、痛;白细胞升高,承重关节(髋、膝),滑膜充血水肿,关节腔大量渗液,MR优势:显示早期关节软骨破坏、滑膜增厚、积液。
X线表现:1、急性期:关节囊肿胀、关节间隙增宽,关节囊和韧带破坏可致关节半脱位及脱位;2、病变进展迅速,关节软骨破坏,关节间隙狭窄;3、肉芽组织增生,破坏软骨下骨,承重部分出现早和明显;4、愈合期骨质增生硬化,严重时骨性强直
(1)X线平片:关节囊肿胀;关节间隙增宽,随后则关节间隙狭窄,承重面骨质破坏; 半脱位;骨性关节强直;(2)CT:肿胀、积液、骨端破坏;(3)MRI:滑膜炎、积液、软骨破坏、软组织受累范围
1、关节肿胀;2、关节间隙变窄;3、关节面骨破坏;4、骨质疏松

骨关节结核
临床特点:1、慢性病程、骨质破坏、骨质疏松;2、多发生于儿童和青年;
3、继发性结核:骨型和滑膜型,原发病灶在肺部;
4、多为单发,局部肿、痛,活动受限。
1、骨质破坏;2、关节腔内大量积液;3、关节间隙不窄
一、长骨结核:
X线表现:1、骺和干骺端局限、类圆形骨质破坏区,周围无明显骨质增生 。2、骨质破坏内可见泥沙状死骨,密度不高,边缘模糊。3、骨膜反应少见或轻微;4、骨质疏松;5、破坏骺软骨侵犯关节,少向骨干发展。


二、短骨结核:X线表现:1、5岁以下多见;2、常为多发;3、骨质疏松(初期); 4、囊状破坏、膨胀(骨气鼓)
三、脊柱结核:临床特点:1、腰椎多见;2、多累及相邻或多个椎体,附件较少累及
X线表现:1、骨质破坏和脊柱承重 — 椎体塌陷变扁或楔形;2、累及椎体上下缘及邻近软骨板和椎间盘 — 椎间隙变窄或消失,椎体嵌入融合,后突畸形;3、冷脓肿形成,可钙化:腰大肌脓肿(腰椎)、椎旁脓肿(胸椎)、咽后壁脓肿(颈椎)
关节结核X线平片
1、骨型:继发于骺、干骺端结核或滑膜型
2、滑膜型:血行感染,常见大关节。
a、关节囊肿胀;间隙略宽;骨质疏松;患侧骨骺出现早和略大
b、关节非承重面骨质虫噬状破坏
c、关节间隙狭窄出现较晚;冷性脓肿、瘘管;d、纤维性强直
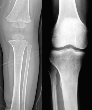
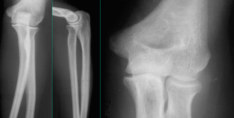
(重点-2)骨与关节创伤
骨折:骨或软骨结构发生断裂,骨的连续性断(儿童特殊骨折:骨骺分离、青枝骨折)
影像表现: 骨折线,骨皮质不规则的透亮线 ,骨小梁中断、扭曲、错位,嵌入性或压缩性骨折可观察不到骨折线
类型:按原因分:外伤性;病理性;疲劳性;;按程度分:完全性;不完全性
按时间分:新鲜性;陈旧性;;按解剖部位分:肱骨髁上骨折;股骨颈骨折
按骨折线形状分:斜形、横形、纵形、Y形、螺旋形
按骨折片分:撕脱性;嵌入性;粉碎性

骨折的对位对线关系:移位:以近侧端为准,描述远折端向某侧移位;成角
儿童骨折的特点:(1)骺离骨折;(2)青枝骨折:骨皮质呈皱褶状 (3)颅缝分离
常见部位骨折:儿童:肱骨髁上骨折,COLLES骨折(桡骨远端2~3cm处)
老年 :股骨颈骨折(骨折可发生于股骨头下、中部或基底部,断端间常有错位或嵌入。头下型易导致股骨头缺血性坏死。),脊柱:常见于C5/C6、T11/T12、L1
脊柱骨折:纵轴性暴力冲击,脊柱骤然过度前屈。X线表现为椎体压缩楔形变,前缘骨皮质嵌压,见横行不规则致密带,有时前方有分离的碎骨片,椎间隙正常,可合并脊椎后突成角;CT可充分显示脊椎骨折类型,骨碎片移位情况,椎管内骨碎片及狭窄情况。



X线平片:椎体压缩性骨折,可合并附件骨折
CT:观察骨折对脊髓和神经根的影响。 MRI:观察椎体骨折形态及信号(新鲜期T1低、T2高)、椎间盘 损伤、脊髓挫裂伤和受压、韧带撕裂
椎体爆裂骨折;单纯压缩骨折
骨折愈合:
肉芽组织期:血肿形成,机化,肉芽组织形成,骨折线模糊
骨痂形成期:骨折后2-4周,内外骨痂形成,骨折线消失,断端骨密度增高
骨性愈合期:骨折后3-12周
塑型期:儿童1-2年,成人3-4年
良好的复位:对位:骨折端相接达三分之二;;对线:近端与远端长轴近似平行。
骨折的合并症:骨折的延迟愈合和不愈合;骨折畸形愈合;骨质疏松;骨关节感染; 骨缺血坏死;关节强直关节退行性变;
骨化性肌炎:骨折后软组织形成广泛骨化,称为异位性骨化,系发生于肌纤维之间。


沈通氏线(Shenton’s线):是指正常骨盆X线中耻骨下缘弧形线与股骨颈内侧弧形线连成的弧度。
关节脱位:外伤性(常合并撕脱性骨折、韧带或软组织损伤。分为完全/半脱位);
非外伤性(先天性髋关节脱位)
骨挫伤:MRI呈T1低,T2高信号,骨折线显示不及CT清晰, 但可显示骨折端出血、水肿及软组织损伤。

膝关节半月板损伤:半月板(低信号)内有相对增高(等信号)的片状信号区
骨坏死
好发部位:股骨头、胫骨结节、椎体骺板、腕舟月骨、足舟骨等。
病因:外伤、营养、解剖缺陷、代谢内分泌。
临床表现:局部疼痛,运动障碍。

股骨头骨骺缺血性坏死:骨骺变小、碎裂变形,颈短粗,头向外移,内侧间隙增宽。
成人股骨头缺血性坏死:股骨头变形,增骨质生硬化囊变并存;左侧间隙变窄,右侧间隙正常。关节间隙变窄,退行性骨关节病,股骨头呈磨菇头状变形
代谢性骨关节病:由先天性或后天性因素引起的骨生化代谢障碍而致的全身性骨疾患。
发病机制:骨吸收、骨生长和矿物质沉积异常。
X线表现:骨质疏松、骨质软化、骨质硬化等;
常见:维生素D缺乏性佝偻病,痛风性关节炎
维生素D缺乏性佝偻病
临床与病理 :婴幼儿维生素D 摄入不足或日光照射不足引起的钙磷代谢障碍,致骨样组织缺乏钙盐沉积所致的骨质软化症。
血Ca、P降低,碱性磷酸酶增高
影像学表现:主要表现在骺和干骺端
1、临时钙化带模糊,杯口征,毛刷征
2、骨骺出现延迟,骺板增宽,干骺端边缘骨刺状
3、方形颅、串珠肋、鸡胸、膝内/外翻
痛风性关节炎:尿酸代谢障碍,血尿酸增高,男性多见。;临床表现:潜伏期;急性发作期(1/3有X线改变);慢性期.;病理:滑膜增厚,肉芽组织,痛风结节
初期:关节肿胀,四肢关节均可,以第一跖趾关节为著.
晚期:关节骨端骨侵蚀性破坏,呈穿凿样,边界清楚。关节软骨破坏发生较晚,间隙变窄。关节旁或软组织内有痛风结节(可钙化)。

侵蚀性骨破坏
痛风结节
慢性关节病
1.退行性骨关节病
定义:关节软骨退行性改变所引起的慢性骨关节病。
承重关节如髋、膝和脊柱易受累
关节软骨退变,软骨表面不光滑,变薄,且可碎裂,游离于关节腔,关节面骨皮质暴露,骨皮质硬化,边缘形成骨赘。
X线表现:1、关节面边缘骨质增生,关节面硬化;2、关节面下方骨内出现圆形不规则透明区;3、关节间隙正常或狭窄;4、关节游离体形成


脊椎退行性病变:椎体边缘骨质增生变尖,附件小关节骨质增生,后纵韧带及项韧带钙化,脊柱畸形--变直、侧弯、过度前弓或后弓,椎体序列改变--椎体滑脱,椎管狭窄(CT、MR可显示,MR显示脊髓情况),椎间盘病变(膨出、突出、脱出)
颈椎病:颈项韧带钙化,5/6,6/7椎间盘狭窄病损,多个椎间孔骨性狭窄。
椎间盘突出症:以下段腰椎常见;放射性痛;多为纤维环后部破裂;硬膜囊、神经根和脊髓受压;影像学表现(1)X线平片:椎间隙变窄、椎体后缘骨质增生、 Schmorl`s结节(许莫氏结节)(2)CT:腰椎可显示椎间盘,颈椎欠佳(3)MRI:优势在于矢状面显示椎间盘膨出突出、 椎间盘变性
诊断和鉴别诊断 :需与硬膜外瘢痕、肿瘤、椎间盘炎和骨髓炎相鉴别
X线平片:见椎间隙狭窄、椎板的骨质增生,骨桥形成。
2.类风湿性关节炎 (RA)
定义:是一种以关节滑膜炎为特征的慢性全身性自身免疫性疾病。
滑膜炎持久反复发作,可导致关节内软骨和骨的破坏,关节功能障碍,甚至残废。类风湿因子(+)

关节肿胀,骨质疏松,间隙变窄,指间关节、腕骨侵蚀破坏,指间关节向尺侧偏斜畸形
晚期改变 :关节挛缩变形,关节半脱位,手指向尺侧偏斜畸形

鉴别诊断
关节结核:常累及单一大关节,破坏较迅速且广泛,还可能合并死骨、窦道、冷脓肿。
化脓性关节炎:常为单一大关节病变,破坏急骤,负重部为著,症状体征明显。
痛风性关节炎:第1跖趾关节为典型发病部位,非对称性肿胀,穿凿样骨破坏,无明显骨质疏松。
滑膜增厚、毛糙,并见多处腕骨有软骨下骨吸收。
3.强直性脊柱炎 ( AS):以中轴关节慢性炎症为主的全身疾病,病因不明,类风湿因子阴性。病理学:非特异性炎症。;双侧骶髂关节受累;
脊柱韧带骨化—骨性强直—竹节状脊柱
病理改变:渗出轻,增殖为主。;韧带和关节囊的附着部炎症,导致韧带骨赘形成、椎体方形变、椎骨终板破坏、跟腱炎等。;易软骨化生及骨化。
X线表现:1.骶髂关节鼠咬状骨质破坏,狭窄或骨性强直,双侧对称;2.竹节状脊柱,纤维环和韧带的骨化、椎体方形变



(重点-3)骨肿瘤
从起源分类:
1、原发骨肿瘤(骨软骨瘤、骨肉瘤、骨巨细胞瘤、尤文氏肉瘤);2、继发骨肿瘤(转移瘤);3、骨肿瘤样病变(骨囊肿、动脉瘤样骨囊肿、嗜酸性肉芽肿、骨纤维异常增殖);4、滑膜肿瘤
从良恶性程度分类:1、良性:骨软骨瘤、骨囊肿、动脉瘤样骨囊肿、嗜酸性肉芽肿、骨纤维异常增殖;2、中间型:骨巨细胞瘤;3、恶性:骨肉瘤、转移瘤、尤文氏肉瘤
对骨肿瘤影像诊断的要求:1、判断是否骨肿瘤;2、肿瘤的侵犯范围;3、良性或恶性?原发性或转移性?;4、推测其组织学类型
骨肿瘤病变的分析诊断:1、部位;2、数目;3、局部病灶征象(骨质、骨膜、软组织);4、结合发病率、年龄、症状与体征、实验室检查
骨肿瘤的临床表现:(一)发病率与病史:1、占全身肿瘤的2~3%;2、发病率顺序: 骨软骨瘤,骨肉瘤,巨细胞瘤,软骨瘤,软骨肉瘤等;3、好发部位: 股骨和胫骨(41.3%—54.3%);4、外伤是诱因, 可促进肿瘤的发展。;(二)性别和年龄:1、性别上无显著差别;2、不同的年龄段有好发某类肿瘤的倾向。
症状和体征:1、疼痛: 间歇痛; 持续痛; 夜间痛; 全身剧痛;2、肿块: 压痛; 边缘; 表皮; 皮温; 血管;3、 局部畸形
实验室检查:1、良性肿瘤无异常;
2、恶性肿瘤: 血沉升高; 碱性磷酸酶(骨肉瘤、成骨性转移瘤、畸形性骨炎); 白细胞升高(尤文氏瘤); 尿本周氏蛋白阳性及骨髓浆细胞(骨髓瘤)
常见骨肿瘤发病年龄:
青少年好发:骨肉瘤10-20岁,Ewing氏瘤 5-20岁。;
老人好发 :转移瘤 40-80岁,骨髓瘤 40-80岁
骨软骨瘤(10-30岁); 巨细胞瘤(20-45岁);软骨瘤(10-50岁);纤维肉瘤(30-45)
| 分 类 | 良 性 | 中间 | 恶 性 |
| 软骨细胞 | 软骨瘤,骨软骨瘤 | 软骨肉瘤 | |
| 骨细胞 | 骨瘤 | 骨肉瘤 | |
| 破骨细胞 | 巨细胞瘤 | 巨细胞瘤恶变 | |
| 骨髓组织 | Ewing氏瘤,骨髓瘤 | ||
| 结缔组织 | 纤维瘤,脂肪瘤 | 纤维肉瘤,脂肪肉瘤 |
骨软骨瘤:临床与病理:年龄,青少年多见(10-30岁)
部位:长骨干骺端,股骨远端和胫骨近端;症状:一般无症状;
病理:骨性基底(骨性赘生物)+软骨帽(可钙化)+纤维包膜
影像学表现:
X线表现:干骺端,背离关节生长;细蒂或宽基底与骨相连;顶部软骨帽钙化


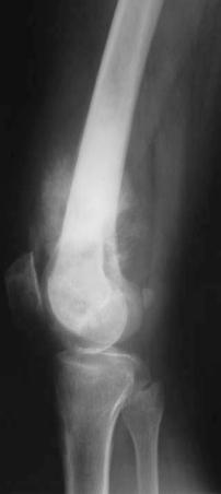
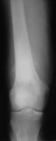
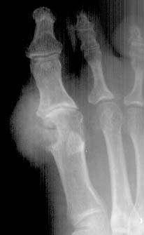
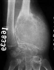
骨囊肿:发病于青少年,男性多见 ,良性
影像表现:1、多发生于长骨干骺端,肱骨上段多见;2、膨胀性中心性生长;3、边缘有薄层硬化边;4、长轴与骨干平行;5、合并病理性骨折



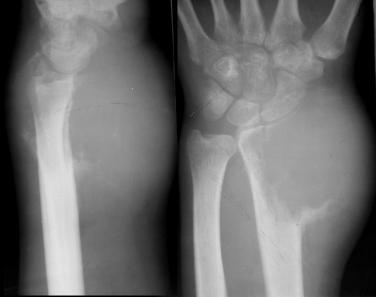
骨巨细胞瘤(GCT)
临床与病理:1、年龄:20-40岁,约65%;2、部位:长管状骨骨端,膝关节附近居多
3、病理: I级:良性;II级:潜在恶性;III级:恶性
X线表现:① 多数为偏心性骨破坏 (溶骨型)② 局部骨 膨胀性,骨皮质变薄形成薄层骨壳,无硬化边③ 大小不一的分隔小房呈肥皂泡状, 并见骨嵴。
④ 无骨膜反应,⑤一般不穿破关节软骨
CT:骨破坏区、骨壳、骨嵴、肿块
MRI: T1低或等、T2高信号,坏死囊变区T1较低T2明显高。肿瘤内出血T1高T2高;增强后可强化。;鉴别诊断 :骨囊肿、溶骨型骨肉瘤
出现以下表现时,考虑恶性变:
① 生长快;② 骨质呈浸润性骨破坏,出现肿块;③ 有骨膜反应


I级GCT
II级GCT
桡骨远端偏侧性膨胀性骨质破坏,中有骨嵴。


II~III级GCT
巨细胞瘤恶性变
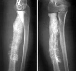
骨肉瘤:最常见的恶性骨肿瘤
临床:1、年龄:青少年(11-20岁占50%),男多于女;2、部位:以膝关节、肱骨上端多见。;;发生于干骺端。
影像学表现:1.源于骨髓腔的不规则的骨破坏和骨增生;2.骨皮质破坏,骨膜增生–葱皮样、放射状,Codman三角(袖口征)-骨膜增生被破坏形成
3.软组织肿块,其内见肿瘤骨(诊断骨肉瘤要点)。云絮状、针状、放射状、斑块状
4.不累及关节;5.病理性骨折


桡骨上段成骨型骨肉瘤:骨质增生硬化,并有骨膜反应,软组织肿块
股骨下端溶骨型骨肉瘤

骨转移性肿瘤:继发,恶性
原发癌依次来自:前列腺、乳腺、肺、肾、甲状腺、鼻咽、宫颈;好发于骨盆、脊柱、肋骨、颅骨
CT:显示较平片敏感
MRI:对骨髓中的肿瘤及瘤周水肿非常敏感,检出率高于平片和CT。T1低T2高,可用脂肪抑制序列显示
1、溶骨型:常见,肾癌、甲状腺癌多为此型。:①呈单纯性骨质破坏虫蚀状,小片状,可溶合成大片。②少骨膜反应。③常合并病理性骨折。
④脊柱椎体破坏压扁,椎间隙正常(与结核鉴别);椎弓根受侵破坏。
2、成骨型 少见,前列腺癌。:①松质骨内,呈斑片状,结节状密度增高影。
②骨外形多保持正常。
3、混合型 乳腺癌、肺癌、胃肠道肿瘤多为此型。



椎体信号异常,椎间隙正常 (与结核鉴别);
椎弓根受侵破坏并形成肿块突入椎管。


软骨肉瘤
尤文肉瘤



(上次考过)第八章 腰椎退行性疾病(学时 2学时)
掌握:
1.腰椎间盘突出症临床表现:症状及体征。/2.腰椎间盘突出症的治疗原则。
熟悉:
- 腰腿痛的病因/2.腰椎间盘突出症的影像学及其他检查。
(二)能力目标
掌握腰椎间盘突出症临床表现,在临床上能够根据病情正确诊断腰椎间盘突出症。
(四)重点及难点
1.腰椎间盘突出症的典型症状。
2.腰椎间盘突出症的体征。
(✔)第九章 颈椎退行性疾病(学时 2学时)
掌握:
1.颈椎病的临床表现:症状及体征。/2.颈椎病的治疗原则。
熟悉:
- 颈椎病的分型。/2.颈肩痛的病因。
(二)能力目标:掌握颈椎病的临床表现,在临床上能够根据病情正确诊断。
(四)重点及难点:颈椎病分型的典型临床表现。
【病因及病理】颈椎功能单位由两个相邻椎体、椎间盘、关节突关节和钩椎关节(又称Luschka关节或钩突)构成。颈椎由于活动度较大,因而容易退变。颈椎病的病因包括以下几个方面。
1.颈椎间盘退行性变 是颈椎病发生和发展的最基本原因。由于椎间盘退变而使椎间隙狭窄,关节囊、韧带松弛,脊柱活动时稳定性下降,进而引起椎体、关节突关节、钩椎关节、前后纵韧带及黄韧带等的变性、增生和钙化。如此形成颈段脊柱不稳定的恶性循环,最后出现脊髓、血管或神经刺激或压迫的表现。
2.损伤 急性损伤可使原已退变的颈椎和椎间盘损害加重而诱发颈椎病;慢性损伤对已退变颈椎加速其退变过程而提前出现症状。
3.颈椎发育性椎管狭窄 是指在胚胎或发育过程中椎弓根过短,使椎管矢状径小于正常。在此基础上,即使退行性变比较轻,也可出现压迫症状而发病。
【分型及临床表现】
1.神经根型颈椎病 此型发病率最高。由于突出的椎间盘、增生的钩椎关节压迫相应的神经根,引起神经根性刺激症状。临床上开始多为颈肩痛,短期内加重,并向上肢放射。放射痛范围根据受压神经根不同而表现在相应皮节(表67-1)。皮肤可有麻木、过敏等异常,同时可有上肢肌力下降、手指动作不灵活。检查可见病侧颈部肌肉痉挛,颈肩部肌肉可有压痛,患肢活动有不同程度受限。上肢牵拉试验及压头试验可出现阳性,表现为诱发根性疼痛。

2.脊髓型颈椎病 由于颈椎退变结构压迫脊髓或压迫供应脊髓的血管而出现一系列症状,包括四肢感觉、运动、反射以及二便功能障碍的综合征,为颈椎病最严重的类型。由于下颈段椎管相对较小(脊髓颈膨大处),且活动度大,故退变亦发生较早、较重,脊髓受压也易发生在下颈段。
病人出现上肢或下肢麻木无力、僵硬、双足踩棉花感,束带感,双手精细动作障碍。后期可出现二便功能障碍。检查时可有感觉障碍平面,肌力减退,四肢腱反射活跃或亢进,而浅反射减弱或消失。Hoffmann征、Babinski征等病理征可呈阳性。
3.椎动脉型颈椎病 由于颈椎退变机械性压迫因素或颈椎退变所致颈椎节段性不稳定,致使椎动脉遭受压迫或刺激,椎动脉狭窄、迂曲或痉挛造成椎-基底动脉供血不全,出现头晕、恶心、耳鸣、偏头痛等症状,或转动颈椎时突发眩晕而猝倒。因椎动脉周围有大量交感神经的节后纤维可出现自主神经症状,表现为心悸、心律失常、胃肠功能减退等。
4.交感型颈椎病 认为是由退变因素,如椎间盘突出、小关节增生等,尤其是颈椎不稳刺激或压迫颈部交感神经纤维而引起的一系列反射性交感神经症状。多与长期低头、伏案工作有关,有交感神经抑制或兴奋的症状。表现为症状多,体征少。病人可感到颈项痛,头痛、头晕;面部或躯干麻木发凉,痛觉迟钝;感心悸、心律失常;亦可有耳鸣、听力减退,或诉记忆力减退、失眠等症状。
【治疗】
1.非手术治疗 包括颈椎牵引、颈部制动、颈部理疗、改善不良工作体位和睡眠姿势、调整枕头高度等方法。常配合应用非甾体抗炎止痛药和肌肉松弛剂、神经营养药等。
2.手术治疗
(1)手术适应证:神经根性疼痛剧烈,保守治疗无效;脊髓或神经根明显受压,伴有神经功能障碍;症状虽然不甚严重但保守治疗半年无效,或影响正常生活和工作者,应采取手术治疗。
(2)颈椎病常用的手术方式有:
1)颈椎前路减压融合术:最常用的术式是颈椎前路椎间盘切除或椎体次全切、神经减压、椎间植骨融合术。必要时还可以切除钩椎关节行椎间孔扩大减压。
2)后路减压术:是通过脊髓后移而完成“间接减压”。传统常用的颈椎半椎板切除减压术、颈椎全椎板切除术现已较少使用。现在常用的术式是椎板单(双)开门椎管扩大成形术。近年还有使用Centerpie 固定,以保留颈椎活动度。
(✔)第十章 (可见第七章骨关节感染)骨与关节化脓性感染(学时 2学时)
掌握:
1.急性血源性骨髓炎的诊断依据及鉴别诊断、治疗原则。/2.慢性血源性骨髓炎的诊断依据。
熟悉:
- 急性血源性骨髓炎血生化指标,尤其是感染指标的临床意义。
- 慢性血源性骨髓炎病因病理及治疗原则
能力目标:培养学生早期诊断急性血源性骨髓炎的能力,达到及时干预、正确治疗的目的。
(四)重点及难点
重点:急性血源性骨髓炎和慢性血源性骨髓炎临床表现及治疗原则。
难点:急性血源性骨髓炎鉴别诊断、影像学表现;慢性血源性骨髓炎手术指征。
化脓性骨髓炎
定义:使涉及骨膜,骨密质,骨松质,于骨髓组织的化脓性细菌感染
途径:1.血源,2.创伤,3.外来
溶血性金黄色葡萄球菌最常见
病理:骨质破坏,死骨形成,后期有新生骨,成为包壳。
临床表现:年龄及部位:儿童多见,胫骨上端,股骨下端多见;发病前往往有外伤史,很少有原发性感染灶;起病急骤,全身中毒症状严重,高热至39℃以上,明显毒血症症状。
局部症状:早期:患部剧痛,局部皮温升高有局限性压痛,肿胀并不明显。
后期:局部水肿,压痛更为明显说明此处已形成骨膜下脓肿。再往后疼痛减轻,为脓肿穿破后成为软组织深部脓肿,但局部 红、肿、热、压痛则更加明显。各关节可有反应性积液。如向髓腔播散,则症状更严重,整个骨干都有骨破坏后,可发生病理性骨折。
3.急性骨髓炎的自然病程可维持3~4周。脓肿后形成窦道,疼痛缓解,体温逐渐下降,病变转入慢性阶段。
4.部分低毒感染,表现不典型,体征较轻,诊断较困难。
临床检查:流行病学,病史,体格检查,辅助检查(血生化,影像学)白细胞计数增高,在10×10/L以上,中性粒细胞可占90%以上。血培养结果及药敏实验。局部脓肿分层穿刺。X-ray检查 难以显示1cm的骨脓肿;CT检查 可以提前发现骨膜下脓肿;核素骨显像 发病后48小时有阳性结果

诊断与鉴别诊断:1.急骤的高热与毒血症表现;2.长骨干骺端疼痛剧烈而不愿活动肢体;
3.该区有一个明显的压痛区;4.白细胞计数和中性粒细胞增高;5.局部分层穿刺
6.病因诊断:获得致病菌,即血培养和分层穿刺培养阳性。
应该在起病后早期作出明确诊断和合适治疗,才能避免发展成慢性骨髓炎
鉴别诊断:
1.蜂窝组织炎:(1)全身症状不一样(2)部位不一样
(3)体征不一样,部分鉴别困难,可小切口引流,骨髓炎可发现骨膜下脓肿.
2.风湿病与化脓性关节炎:都是关节疾病,疼痛部位在关节,浅表关节可以迅速肿胀和积液。
3.骨肉瘤和尤文肉瘤:起病缓,以骨干居多,特别是尤文氏瘤,早期不妨碍临近关节活动,表面有曲张的血管并可摸到肿块,难鉴别的可行活检。
治疗
目的:中断骨髓炎由急性期趋向于慢性阶段,早期诊断与治疗是主要的关键。
1.抗生素治疗:早期,足量,敏感,联合应用。发病5天内使用往往可以控制炎症。5天后使用或细菌对所用抗生素不敏感时,都会影响疗效。应用时选用一广谱抗生素和一针对革兰氏阳性球菌的抗生素联合应用,待检出致病菌后再调整。治疗后有以下四种结果:
(1)在x线片改变出现前全身及局部症状均消失。
(2)在出现x线片改变后全身及局部症状消失, 说明骨脓肿已被控制,有被吸收的可能。这两种情况不需要手术治疗,但仍须连续用抗生素至少3周。
(3)全身症状消退,但局部症状加剧,说明抗生素不能消灭骨脓肿,需要手术引流。
(4)全身及局部症状均不消退。说明A.致病菌对所用抗生素有耐药性。 B.有骨脓肿形成;C.产生迁徙性脓肿,为保全生命需切开引流。
2.手术治疗目的:(1)引流脓液,减少毒血症症状。(2)阻止急性骨髓炎转变为慢性骨髓炎。;;手术治疗宜早,最好在抗生素治疗后48~72小时仍不能控制局部症状时进行手术,或提前为36hr。延迟的手术只能达到引流目的,不能阻止急性骨髓炎向慢性骨髓炎的演变。
手术的方法;(1)钻孔引流(2)开窗减压;伤口的处理:闭式灌洗引流;单纯闭式引流;伤口不缝,填充碘仿纱条,5~10天后作延迟缝合。
3.全身辅助治疗。;4.局部辅助治疗:皮牵或石膏托固定,作用:止痛;防止关节挛缩畸形;防止病理性骨折。
慢性血源性骨髓炎
原因: (1)急性感染期未能彻底控制,反复发作演变成慢性骨髓炎;
(2)系低毒性感染,在发病时即表现为慢性骨髓炎。
病理:死骨,死腔,窦道形成,死骨排净后,窦道口闭合,儿童病例小的腔隙可由新骨或疤痕组织充填;成人病例,腔隙内可有致病菌残留,随时可以复发。
细菌学:以金黄色葡萄球菌为主要致病菌,多为混合感染,最常检出是A型与非A型链球菌,绿脓杆菌等。近年来革兰氏阴性菌引起的骨髓炎增多。儿童可有嗜血属流感杆菌骨感染。
临床表现:
1.全身表现:病变不活动阶段可以无症状,急性感染发作时体温可升 1~2°C。急性发作约数月、数年一次,由于体质不好或身体抵抗力低下可诱发。
2.局部表现:骨失去原有的形态,骨骼扭曲畸形,增粗,皮肤色素沉着,有多处瘢痕,稍有破损即可引起经久不愈的溃疡。因肌挛缩出现邻近关节畸形,局部可有窦道口,长期不愈合,急性感染发作时局部红、肿、热、痛,原已闭塞的窦道口可开放,排出多量脓液,掉出死骨后闭合。窦道口皮肤可能会癌变。儿童可因骨骺破坏而影响骨发育,偶有病理骨折者。

3.放射学变化:早期有虫蚀状骨破坏与骨质稀疏,并出现硬化区。有层状骨膜反应,新生骨逐渐变厚和致密,坏死脱落成为死骨。X线片上死骨表现为完全孤立的骨片,没有骨小梁结构,浓白致密,边缘不规则,周围有空隙。CT片可以显示出脓腔与小型死骨。部分病例可经窦道插管造影显示脓腔。
诊断:根据病史和临床表现,特别是有经窦道及经窦道排出过死骨的,很容易诊断。X线片可以证实有无死骨,了解形状、数量、大小和部位。以及附近包壳生长情况。一般不需要作CT检查。
治疗:以手术治疗为主,原则是清除死骨、炎性肉芽组织和消灭死腔,即病灶清除术。
1.手术指征:有死骨形成,有死腔及窦道流脓者均应手术治疗。
2.手术禁忌证:(1)慢性骨髓炎急性发作时不宜作病灶清除术,应以抗生素治疗为主,积脓时宜切开引流。(2)大块死骨形成而包壳尚未充分生成,过早取掉大块死骨会造成长段骨缺损,须待包壳生成后再手术。但近来有感染下植骨成功的,为相对禁忌证。
3.手术方法:术前作细菌培养和药敏试验,最好在术前2日开始应用抗生素。同时必须解决a.病灶的清除;b.消灭死腔;c.伤口的闭合这三个问题。
(1)清除病灶:(2)消灭死腔:a.碟形手术;b.肌瓣填塞;c.闭式灌流:灌洗持续时间一般为2~4周,待吸引液转为清晰时即可停止灌洗并拔管。;d.庆大霉素-骨水泥链珠填塞和二期植骨:2周后可拔珠;e.伤口的闭合:最好一期缝合,并留置负压引流管。二期愈合的
伤口不能闭合,窦道不能消灭的主要原因是病灶清除不彻底与不能消灭死腔。
化脓性关节炎:
病因:常见致病菌为金黄色葡萄球菌,多见于儿童,大关节多见
细菌浸入途径:①血源性传播:②邻近关节附近的化脓性病灶直接蔓延至关节腔内,③开放性关节损伤发生感染;④医源性:
病变发展:始于滑膜,进而软骨,软骨下骨,关节囊等
1.浆液渗出期:滑膜炎,软骨基本不受影响
2.浆液纤维素性渗出期:软骨不同程度受累,关节功能不同程度损坏
3.脓性渗出期:软骨、软骨下骨等不同程度损坏,关节功能受损严重不同病情
临床表现:全身毒血症表现。;局部表现:表浅关节:局部炎症表现明显;;深部关节:主要是疼痛、活动受限明显主动活动明显障碍,被动活动疼痛加重晚期,关节严重破坏。
检查:(流行病学,病史,体格检查,辅助检查(血生化,影像学))实验室(血常规,ESR,CRP),关节液检查,血培养,X线(取决于关节破坏程度)
诊断:全身与局部症状和体征;关节穿刺和关节液检查对早期诊断很有价值,应作细胞计数,分类,涂片革兰染色找病原菌,抽出物应作细菌培养和药物敏感试验

治疗:早期足量全身性使用抗生素;关节腔内注射抗生素。;经关节镜灌洗在关节镜直视下反复冲洗关节腔,清除脓性渗液、脓苔与组织碎屑,灌洗清楚后在关节腔内留置敏感的抗生素,可望减轻症状。
关节腔持续性灌洗 ;关节切开引流 ;为防止关节内粘连尽可能保留关节功能可作持续性关节被动活动 ;后期病例如关节强直于非功能位或有陈旧性病理性脱位者,须行矫形手术,
(✔)第十一章 骨与关节结核(学时 2学时)
掌握:骨与关节结核的早期诊断、影像学检查和治疗原则。
熟悉:
1.脊柱结核的临床表现,影像学检查、诊断、鉴别诊断和治疗原则、手术指征。
2.髋关节结核临床表现,影像学检查、治疗和手术指征。
(二)能力目标:1.掌握骨与关节结核的诊断及治疗原则。/2.掌握骨与关节结核的分类及发生率情况。/3.能够准确判断骨与关节结核的危险因素。
重点:
1.骨与关节结核的早期诊断、影像学检查和治疗原则。
2.脊柱结核的临床表现及诊断。;/3.骨与关节结核的发病率排名。
难点:
1.骨与关节结核的鉴别诊断。
2.骨与关节结核的抗结核治疗细则。
继发性:结核分枝杆菌—肺,胸膜,消化道结核。
脊柱最高,膝髋关节
病例:单纯滑膜性/骨性结核
【临床表现】
1.病人常有肺结核病史或家庭结核病史。
2.起病多较缓慢,症状隐匿,可无明显全身症状或只有轻微结核中毒症状。全身症状包括午后低热、乏力、盗汗,典型病例还可见消瘦、食欲缺乏、贫血等症状。
3.关节病变大多为单发性。往往有局部外伤史。病变部位初起隐痛,活动后加剧。儿童病人常有“夜啼”。关节常处于半屈曲状态,以缓解疼痛。
4.脊柱结核主要有疼痛、肌肉痉挛、神经功能障碍等。有寒性脓肿生成。脓肿可位于病灶局部,也可远离病灶形成流注脓肿。脊柱结核的寒性脓肿会压迫脊髓而产生肢体瘫痪。
5.结核进一步发展,导致病灶部位积聚了大量脓液、结核性肉芽组织、死骨和干酪样坏死组织。由于无红、热等急性炎症反应表现,故结核性脓肿称为“冷脓肿”或“寒性脓肿”。脓液可经过组织间隙流动,形成病灶之外的脓肿。也可以向体表溃破成窦道,经窦道流出米汤样脓液,有时还有死骨及干酪样坏死物质流出。脓肿也可与空腔内脏器官沟通形成内瘘,如与食管、肺、肠道和膀胱相通,可咳出、经大便或尿液排出脓液。脓肿若经皮肤穿出体外则形成外瘘。寒性脓肿破溃产生混合性感染,出现局部急性炎症反应。
6.晚期病变静止后可有各种后遗症,如:①关节腔粘连导致关节功能障碍;②畸形,如关节屈曲挛缩畸形、脊柱后凸畸形;③小儿骨骺破坏导致肢体不等长等。
【实验室检查】
1.血液学 血常规检查可有轻度贫血,血白细胞计数一般正常,仅约10%病人有白细胞升高,有混合感染时白细胞计数增高。血沉(ESR)在病变活动期明显增快,静止期一般正常,是用来检测病变是否静止和有无复发的重要指标。C反应蛋白(CRP)的高低与疾病的炎症反应程度关系密切,故CRP亦可用于诊断结核活动性及临床疗效的判定。
2.细菌学 脓或关节液涂片镜检找到抗酸杆菌或结核分枝杆菌培养阳性可诊断为结核病,但阳性率较低,结合临床资料对诊断具有重要意义。有条件者应同时进行药敏试验。
3.免疫学 是用结核分枝杆菌的菌体成分制成抗原或抗体,检查病人血清中的结核抗体或抗原,具有检查速度快、操作简单、敏感性和特异性均较好等特点。
(1)结核菌素试验(PPD):试验结果不能简单用于确诊或否定结核。强阳性者对成年人有助于支持结核病的诊断,或考虑为近期有结核感染,但尚未发病;对儿童特别是1岁以下儿童可作为结核诊断的依据。
(2)γ-干扰素释放实验(IGRA):检测结核感染者体内特异的效应T淋巴细胞,可用于结核病或结核潜伏感染者的诊断。其中T细胞斑点试验(T-SPOT.TB)是最常用的检测方法。具有灵敏度高,诊断快准的特点。但有一定的假阳性率。
4.分子生物学 结核分枝杆菌基因(DNA)检测技术,可以直接对结核分枝杆菌的种系进行分类鉴定和药敏的检测,具有操作简便、反应快速、灵敏度高、特异度高等优点。
(1)聚合酶链式反应(PCR):也存在假阳性和假阴性问题。
(2)Xpert MTB/RIF技术:结核病及耐药结核病的全自动快速分子诊断方法,结果准,是目前WHO推荐的快速诊断结核病的方法,该检测比痰涂片镜检有更高的准确性。
【病理检查】病变部位穿刺活检以及手术后病理组织学和微生物学检查是确诊的重要方法。可见典型结核性肉芽肿,通过抗酸染色或其他细菌学检查证明为结核杆菌感染是确诊的依据。
【影像学检查】
1.X线检查 :起病6~8周后才有X线平片改变。其特征性表现为区域性骨质疏松和周围少量钙化的骨质破坏病灶,周围可见软组织肿胀影。随着病变发展,可出现边界清楚的囊性变,并伴有明显硬化反应和骨膜反应。可出现死骨和病理性骨折。
2.CT呈现二维或三维图像,可提供比X线平片更多的信息。可以清晰地确定病灶的位置、死骨的情况、软组织病变的程度,特别是对显示病灶周围的寒性脓肿有独特的优点。还可在CT导引下穿刺抽脓和活检。
3.MRI可在结核炎症浸润阶段即显示异常信号,比其他检查方法更为敏感,有助于早期诊断。MRI还可以观察脊柱结核有无脊髓受压和变性,在与脊柱肿瘤、骨折、退变等疾病的鉴别诊断中有重要价值。
4.超声:探查位置和大小。/5.关节镜检查(有创)。
6.核素显影:定位不定性
【治疗】应采用综合治疗方法,包括休息、疗养、营养卫生、标准化疗药物和手术治疗等。其中抗结核药物治疗贯穿整个治疗过程,在骨与关节结核治疗中占主导地位。
1.全身治疗
(1)支持治疗:休息、营养,有贫血者应纠正贫血。
(2)抗结核药物治疗:骨关节结核的药物治疗应该遵循抗结核药物的治疗原则:
①早期;②联合;③适量;④规律;⑤全程。
包括:异烟肼(INH,又称雷米封)、利福平(RFP)、吡嗪酰胺(PZA)、链霉素(SM)、乙胺丁醇(EMB)。主张联合用药,异烟肼与利福平为首选药物。肺外结核的疗程一般为12个月,对于骨关节结核,主张疗程不得少于12个月,必要时可延长至18~24个月。现已不将链霉素(对脑神经有强烈的毒性作用)作为首选药物。如果应用,亦作为强化治疗,用药不超过3个月。在原发耐药率较低的地区,强化期可用三药联用;在原发耐药率较高的地区,强化期应四药联用。
抗结核药物的主要副作用为肝损害、神经毒性、过敏反应、胃肠道反应、肾损害等,用药期间应定期检查肝肾功能,并同时服用保肝等药物。儿童需慎用乙胺丁醇及链霉素。
经过抗结核药物治疗后,全身症状与局部症状都会逐渐减轻。判断骨关节结核是否痊愈应当从病人主诉、临床检查、实验室检查、影像学表现及远期随访进行判断。治愈的标准为:
①全身情况良好,体温正常,食欲良好;②局部症状消失,无疼痛,窦道闭合;③3次血沉均正常;④影像学表现脓肿缩小乃至消失,或已经钙化;无死骨,病灶边缘轮廓清晰;⑤起床活动已1年,仍能保持上述4项指标。符合标准的可以停止抗结核药物治疗,但仍需定期复查。
2.局部治疗
(1)局部制动:有石膏固定、支具固定、牵引等。目的是保证病变部位的休息,减轻疼痛,固定制动甚为重要。临床实践证明,全身药物治疗及局部制动疗效更好。
(2)局部注射:局部注射抗结核药物具有药量小,局部药物浓度高和全身反应小的优点。最适用于早期单纯性滑膜结核病例。常用药物为异烟肼,剂量为100~200mg,每周注射1~2次,视关节积液的多少而定。每次穿刺时如果发现积液逐渐减少,液体转清,说明有效果,可以继续穿刺抽液及注射抗结核药物;如果未见好转,应及时更换治疗方法。不主张对寒性脓肿进行反复抽脓、注入抗结核药物,多次操作会导致混合性感染和形成窦道。
(3)手术治疗
1)脓肿切开引流术:寒性脓肿有混合感染,体温高,中毒症状明显者,因全身状况不好,不能耐受病灶清除术,可以做寒性脓肿切开引流。待全身情况改善后再行病灶清除术。但脓肿切开引流必然会形成慢性窦道,为以后的病灶清除术带来很多困难。
2)病灶清除术:在短时间内取得比较好的疗效。适应证:①经保守治疗效果不佳,病变仍有进展;②有明显的死骨及较大脓肿形成;③窦道流脓经久不愈;④脊柱结核有脊柱不稳定、脊髓马尾神经受压或严重后凸畸形等。手术禁忌证:①伴有其他脏器活动期结核者;②病情危重、全身状态差;③合并其他疾病不能耐受手术者。由于手术可能造成结核杆菌的血源性播散,为提高手术的安全性,术前应规范抗结核药物治疗4~6周,至少2周。术后要继续完成全部规范化疗程。
3)其他手术:①关节融合术:用于关节不稳定者;②截骨术:用以矫正畸形;③人工关节置换术:可以改善关节功能,但要严格把握适应证;④椎管减压术,用于出现脊髓和马尾神经受压迫症状或截瘫病人;⑤植骨融合内固定术,用于骨质破坏严重,脊柱不稳定病人等。
脊柱结核
发病率占骨与关节结核的首位,约占50%,绝大多数发生于椎体,以松质骨为主,它的滋养动脉为终末动脉,结核杆菌容易停留在椎体部位。腰椎结核发生率最高儿童、成人均可发生。
【病理】椎体结核可分为中心型和边缘型两种。
1.中心型椎体结核 多见于10岁以下的儿童,好发于胸椎。病变进展快,整个椎体被压缩成楔形。一般只侵犯一个椎体,也可穿透椎间盘而累及邻近椎体。
2.边缘型椎体结核 多见于成人,腰椎为好发部位。病变局限于椎体的上下缘,很快侵犯至椎间盘及相邻的椎体。椎间盘破坏是本病的特征,导致椎间隙变窄
椎体破坏后形成的寒性脓肿两种表现:
①椎旁脓肿:脓液汇集在椎体旁,可在前方、后方或两侧。以积聚在两侧和前方比较多见。脓液将骨膜掀起,还可以沿着韧带间隙向上下蔓延,使数个椎体的边缘都出现骨侵蚀。它还可以向后方进入椎管内,压迫脊髓和神经根。②流注脓肿:椎旁脓肿积聚至一定数量后,压力增高,会穿破骨膜,沿着肌肉筋膜间隙向下方流动,在远离病灶的部位出现脓肿。
例如:
1.下胸椎及腰椎的椎旁脓肿穿破骨膜后,积聚在腰大肌鞘内,形成腰大肌脓肿。
2.浅层腰大肌脓肿位于腰大肌前方的筋膜下,它向下流动积聚在髂窝内,成为骼窝脓肿。
3.深层的腰大肌脓肿可以穿越腰筋膜到腰三角,成为腰三角脓肿。腰三角是一个潜在的间隙,它的边缘是髂嵴后缘、竖脊肌的外缘与腹内斜肌的后缘。
4.腰大肌脓肿还可沿腰大肌流注至股骨小转子处,成为腹股沟处深部脓肿。它还能绕过股骨上端的后方,流注至大腿外侧,甚至沿阔筋膜向下流至膝上。
【临床表现】
1.结核全身中毒症状 起病缓慢,有午后低热、疲倦、消瘦、盗汗、食欲缺乏与贫血等全身症状。儿童常有夜啼、呆滞或性情急躁等。
2.局部表现 主要有疼痛、肌肉痉挛、脊柱或活动受限、神经功能障碍等。疼痛是最先出现的症状。初期疼痛多较轻,痛点也不局限,随病变进展,痛点多固定于脊柱病变平面的棘突或棘突旁。有时可伴有相应神经节段支配区的放射性疼痛。因疼痛和病变椎体的不稳定造成肌肉痉挛,使脊柱处于某种固定的被动体位,活动明显受限。
①颈椎结核还有上肢麻木等神经根受刺激的表现,咳嗽、喷嚏时会使疼痛与麻木加重。有咽后壁脓肿者影响呼吸与吞咽,睡眠时有鼾声。后期颈侧冷脓肿所致颈部肿块。
②胸椎结核有背痛症状,必须注意,下胸椎病变的疼痛有时表现为腰骶部疼痛。脊柱后凸。
③腰椎结核病人在站立与行走时,往往双手扶住腰部,头及躯干向后倾,使重心后移,尽量减轻体重对病变椎体的压力。后期病人有腰大肌脓肿形成,可在腰三角、骼窝或腹股沟处看到或摸到脓肿(寒性脓肿),为少数病人就诊原因。腰椎结核者脊柱后凸通常不严重。
3.拾物试验 病人从地上拾物时,不能弯腰,需挺腰屈膝屈髋下蹲才能取物,称拾物试验阳性。检查病儿的方法:病儿俯卧,检查者用双手提起病儿双足,将两下肢及骨盆轻轻上提,如有腰椎病变,由于肌痉挛,腰部保持僵直,生理前凸消失。
【影像学检查】X线平片表现以骨质破坏和椎间隙狭窄为主。中心型结核的骨质破坏集中在椎体中央,侧位片比较清楚。很快出现椎体压缩成楔状,前窄后宽。边缘型结核的骨质破坏集中在椎体的上下缘,表现为进行性椎间隙狭窄,并累及邻近两个椎体。可见脊柱侧弯或后凸畸形。椎旁软组织阴影(腰大肌)增宽。
CT检查可以清晰地显示病灶部位,骨质破坏的程度,有无空洞和死骨形成。对腰大肌脓肿有独特的诊断价值。
MRI在结核炎性浸润阶段即可显示异常信号,能清楚显示脊柱结核椎体骨炎,椎间盘破坏,椎旁脓肿及脊髓神经有无受压和变性。早期诊断价值,是脊柱结核必不可少的检查方法。
【诊断及鉴别诊断】
1.强直性脊柱炎:多数有骶髂关节炎,症状以后背疼痛为主。X线检查无骨破坏与死骨,脊柱呈“竹节”样改变。胸椎受累后会出现胸廓扩张受限等表现,血清HLA-B27检查多为阳性。
2.化脓性脊柱炎:发病急,有高热及明显疼痛,进展很快,早期血培养可检出致病菌。X线表现进展快,其特征性X线表现可作鉴别。
3.腰椎间盘突出症:无全身症状,有下肢神经根受压症状。X线平片上无骨质破坏,CT、MRI检查可发现突出的椎间盘压迫硬膜囊或神经根。
4.脊柱肿瘤:多见于老年人,疼痛逐日加重,X线平片可见椎体骨破坏,可累及椎弓根,椎间隙高度正常,一般无椎旁软组织块影。
5.嗜酸性肉芽肿 多见于胸椎,12岁以下儿童多见。整个椎体均匀性变扁成线条状,上下椎间隙正常,无发热等全身症状。
6.退行性脊柱骨关节病 为老年性疾病,椎间隙变窄,邻近的上下关节突增生,硬化,无骨质破坏与全身症状。
【治疗】目的:彻底清除病灶、解除神经压迫、重建脊柱稳定性、矫正脊柱畸形。
1.全身治疗
(1)支持治疗;(2)抗结核药物治疗
2.局部治疗
(1)矫形治疗:躯干支具、石膏背心、石膏床等,限制脊柱活动,减轻疼痛,预防、矫正畸形以利病灶修复。;(2)脓肿穿刺或引流:适用于脓肿较大者,可局部注入抗结核药物加强局部治疗。;(3)窦道换药。
(4)手术治疗:手术适应证主要有:①经保守治疗效果不佳,病变仍有进展;②病灶内有较大的死骨及寒性脓肿;③窦道经久不愈;④骨质破坏严重,脊柱不稳定;⑤出现脊髓和马尾神经受压迫症状或截瘫;⑥严重后凸畸形。手术治疗原则:①术前4~6周规范抗结核化疗,控制混合感染;②术中彻底清除病灶,解除神经及脊髓压迫,重建脊柱稳定性;③术后继续完成规范化疗全疗程。
脊柱结核并发截瘫:胸椎结核发生截瘫最多见
【发病机制】可分为早期瘫痪和迟发性瘫痪两种。早期瘫痪是由于病灶处于活动期,随着脓液、结核性肉芽组织、干酪样坏死物质和死骨进入椎管内直接压迫脊髓所致,也称为病变活动型截瘫。及时手术清除致压物减压效果良好。迟发性瘫痪发生于病变已静止的后期,甚至已愈合后多年。致瘫的原因主要是瘢痕组织形成对脊髓产生环形压迫,或由椎体破坏引起脊柱后凸畸形,以及椎体病理性脱位造成椎管前方骨嵴压迫脊髓,导致截瘫,可称为骨病变静止型截瘫。迟发性瘫痪也可源于脊髓血管的栓塞导致脊髓变性、软化,此时虽无外部压迫因素,也可发生截瘫。
【临床表现和诊断】除了有脊柱结核的全身症状和局部表现外,还有脊髓受压迫的临床表现。初始表现为背部疼痛和病变节段束带感,是神经根受刺激的结果,然后出现瘫痪。瘫痪最早出现运动障碍,接着出现感觉障碍,大小便功能障碍最迟出现。脊柱结核并发截瘫病人出现大小便功能障碍的早期表现为排尿困难,逐渐发展为完全癃闭。当膀胱的反射功能恢复后,可出现小便失禁。大便功能障碍的最初表现为便秘和腹胀,也可出现失控现象。自主神经功能障碍则表现为截瘫平面以下的皮肤干燥无汗。
CT和MRI检查可以显示病灶部位、破坏程度、脊髓受压情况,有助于诊断和预后判断。
【治疗】脊柱结核出现神经症状而影像学检查有脊髓受压者,且受压节段与临床症状、体征检查平面相一致时,原则上都应该手术治疗。部分不能耐受手术者可先作非手术治疗,待情况好转时再争取手术。通常主张手术彻底清除病灶、减压、支撑植骨。在彻底清创和充分化疗的前提下,为维持脊柱的稳定性,也可以考虑一期行病灶清除、植骨融合内固定治疗。一般不采用单纯椎板减压术,因其破坏了脊柱的稳定性,会加重脊柱后凸,使脊髓受压更明显。
髋关节结核(coxotuberculosis)占全身骨与关节结核发病率的第三位,仅次于脊柱和膝关节。病人多为儿童,且多为单侧性发病。
【病理】早期髋关节结核为单纯性滑膜结核或单纯性骨结核,以单纯性滑膜结核多见。单纯性骨结核的好发部位在髋臼上缘及股骨头的边缘部分。表现为骨质破坏,出现死骨和空洞,且常形成脓肿。至后期会产生寒性脓肿与病理性脱位。脓肿可以通过前内方髋关节囊的薄弱点突出于腹股沟的内侧方,也可以流向后方,成为臀部脓肿。也可穿破骨盆内壁,形成盆腔内脓肿。
【临床表现】起病缓慢,有低热、乏力、倦怠、食欲缺乏、消瘦及贫血等全身症状。多为单发性,早期症状为疼痛。初起时疼痛不剧烈,休息后会好转。在小儿则表现为夜啼。儿童病人常诉膝部疼痛,如不加注意,会延误诊断。随着疼痛的加剧出现跛行。至后期,会在腹股沟内侧与臀部出现寒性脓肿。破溃后形成慢性窦道。股骨头破坏明显时会形成病理性脱位,通常为后脱位。早期髋关节前侧可有压痛,但肿胀多不明显,继而股四头肌和臀肌显著萎缩。患肢出现屈曲、外展、外旋畸形,随病情发展髋关节即表现为屈曲、内收、内旋畸形,髋关节强直与下肢不等长最为常见。
下列各种检查试验有助于诊断:
1.“4”字试验 包含髋关节屈曲、外展和外旋三种运动,髋关节结核者的试验结果为阳性。方法如下:病人平卧于检查床上,患肢屈曲,将外踝置于健侧髌骨上方,检查者用手下压其病侧膝部,若患髋出现疼痛而使膝部不能接触桌面即为阳性(图69-10)。应当指出,该试验受个体因素(年老或肥胖)影响较大,应进行两侧对比;作对比时外踝放置的位置必须相同,不得有高低。
2.髋关节过伸试验 可用来检查儿童早期髋关节结核。病儿俯卧位,检查者一手按住骨盆,另一手握住踝部把下肢提起,直到骨盆开始从桌面升起为止。同样试验对侧髋关节,两侧对比可以发现病侧髋关节在后伸时有抗拒感觉,因而后伸的范围不如正常侧大。正常侧可以有10°后伸。
3.托马斯(Thomas)征 用来检查髋关节有无屈曲畸形。方法如下:病人平卧于检查床上,检查者将其健侧髋、膝关节完全屈曲,使膝部贴住或尽可能贴近前胸,此时腰椎前凸完全消失而腰背平贴于床面,若下肢不能伸直平放于床面即为阳性。病侧下肢与床面所成的角度即为髋关节屈曲畸形的角度。
【影像学检查】X线平片检查对诊断髋关节结核十分重要,早期病变可能不明显,必须两侧髋关节同时摄片比较。局限性的骨质疏松通常是最早的放射学表现,如有关节间隙轻度狭窄更应引起注意。在疾病后期,常有破坏性关节炎伴有少量反应性硬化表现。偶尔可在数周内迅速出现关节的完全破坏,出现空洞和死骨。严重者股骨头几乎消失。后期可出现病理性脱位。CT与MRI可帮助早期诊断。CT扫描能清楚显示髋关节内积液量,骨及软组织侵害,显示X线平片不能发现的微小骨破坏病灶。MRI更能早期显示骨内的炎性浸润、关节积液、软骨破坏等。
【治疗】
1.全身支持治疗 改善全身情况,增强机体的抵抗力。
2.药物治疗 在结核病灶活动期和手术前、后,规范应用抗结核药物(详见本章概论)。
3.牵引:有髋部剧烈疼痛及肌肉痉挛或屈曲畸形者应作皮肤牵引或骨牵引以缓解疼痛、矫正畸形
4.手术治疗 非手术治疗无效者,根据病变发展的不同阶段采用不同的手术方法。常用的方法有:滑膜切除术、病灶清除术、关节融合术、截骨矫形术、关节成形术。
单纯滑膜结核可关节内注射抗结核药物。若疗效不佳,可作滑膜切除术,术后用皮肤牵引和“丁字鞋”功能位制动3周。单纯骨结核,应及早施行病灶清除术,以免病灶穿入关节形成关节结核。
早期髋关节结核,为了挽救关节,如无手术禁忌证,应及时进行病灶清除手术。
部分病例病变已静止,髋关节出现纤维性强直,但微小活动便会诱发疼痛,适宜作髋关节融合术。对髋关节有明显屈曲、内收或外展畸形者,可作转子下截骨矫形术。若结核病灶已完全控制,为了恢复关节功能,也可选择关节成形术(如人工髋关节置换术)。关节置换术会诱发结核病灶活动,需在安全静止期后再慎重考虑。
(✔-组胚)第十二章 膝骨关节炎(4学时)
软骨的组织结构:
掌握:1.软骨的分类。/2.软骨细胞的结构特点。/3.透明软骨的组织结构和功能。
熟悉:1.软骨膜的结构和功能。/2.软骨的生长方式。
膝骨关节:掌握:膝骨关节炎的定义,临床表现,分级治疗原则。
熟悉:
膝骨关节炎的病理特点和好发人群,膝骨关节炎分期标准
重点:
1.软骨细胞的结构和功能;软骨陷窝、同源细胞群、软骨囊的概念。
2.膝骨关节炎的临床表现和分级治疗原则。
难点:1.软骨的发生。/2.膝骨关节炎分期标准
软骨的类型
1.透明软骨:因新鲜时呈半透明而得名,分布较广,包括肋软骨、关节软骨、呼吸道软骨等。透明软骨具有较强的抗压性,有一定的弹性和韧性,但在外力作用下较其他类型软骨更易断裂。纤维成分主要是由Ⅱ型胶原蛋白组成的胶原原纤维,纤维交织排列成三维网格状(关节软骨中的纤维走向有特殊性,见“关节”)。由于纤维极细,直径仅10~20nm,且折光率与基质接近,故光镜下不能分辨。基质中含水分较多是透明软骨呈半透明的原因之一。
2.弹性软骨:分布于耳郭、咽喉及会厌等处,新鲜时呈黄色。组织结构与透明软骨相似,但纤维成分为大量交织排列的弹性纤维,故有很好的弹性。由于弹性纤维丰富,使基质呈现一定程度的嗜酸性,仅软骨囊嗜碱性明显,因而在光镜下呈现红蓝相间的着色特点
3.纤维软骨:分布于椎间盘、关节盘和耻骨联合等处,呈不透明的乳白色。大量粗大的胶原纤维平行或交叉排列,故有很强的韧性。软骨细胞较小而少,散在、成对或单行排列于纤维束之间,无定形基质少,呈弱嗜碱性。

一、软骨
软骨(cartilage)由软骨组织及包裹它的软骨膜构成。软骨组织(cartilage tissue)由软骨细胞和软骨基质构成。软骨是胚胎早期的主要支架,随着胎儿发育逐渐被骨取代,取代过程一直延续到出生后一段时期。在成体,仅散在分布一些软骨,其类型与作用因部位而异。
(一)软骨组织
1.软骨细胞:包埋在软骨基质中,所在腔隙称软骨陷窝(cartilage lacunae)。软骨细胞的大小、形状和分布在软骨内呈一定的规律,反映了软骨细胞从幼稚到成熟的发育过程。周边的软骨细胞幼稚,胞体小,扁圆形,长轴与软骨表面平行,单个分布;越靠近软骨中部,其细胞越成熟,体积越大,由扁圆形逐渐变成椭圆形和圆形,细胞增生分裂成相对集中的细胞群体(一般为2~8个),由于皆由同一个幼稚软骨细胞增殖形成,故称同源细胞群。成熟软骨细胞胞质弱嗜碱性,有丰富的粗面内质网和高尔基复合体,表明软骨细胞具有产生软骨基质的强大能力。
2.软骨基质:即软骨组织的细胞外基质,由无定形基质和包埋其中的纤维构成。无定形基质的主要成分为蛋白聚糖和水,蛋白聚糖与疏松结缔组织中的类似,也构成分子筛结构,故使其具有较好的可渗透性。尽管软骨组织内无血管和淋巴管,处于软骨组织深部的软骨细胞依然可借助渗透方式与周围组织进行物质交换。软骨中的蛋白聚糖含量远高于一般的结缔组织,使软骨基质形成较为坚固的凝胶。氨基聚糖在基质中的分布不均匀,紧靠软骨陷窝的部位硫酸软骨素较多,故此处嗜碱性较强,于HE染色切片中,形似囊状包围软骨细胞,故称软骨囊。
软骨膜:除关节软骨外,软骨表面被覆薄层致密结缔组织,即软骨膜。软骨膜内有血管、淋巴管和神经,可为软骨组织提供营养和保护等作用。软骨膜内层存在由间充质干细胞分化而来的骨祖细胞(详见“骨组织”),可进一步分为成软骨细胞。成软骨细胞狭长,仅含核处略厚,开始具备初步的分泌能力,一旦被分泌的软骨基质包围,即成为软骨细胞。
软骨的发生与生长
软骨来源于胚胎时期的间充质,发生的基本过程是:在将要形成软骨的部位,间充质细胞聚集增生,分化为骨祖细胞,后者再分化为成软骨细胞,继而进一步分化为软骨细胞。软骨周边的间充质则分化为软骨膜。出生后,软骨仍将随着身体的发育而继续生长。生长方式包括:①附加性生长,又称软骨膜下生长。由软骨膜深部的骨祖细胞增殖分化为成软骨细胞、后者再分化为软骨细胞添加在软骨组织表面,使软骨逐渐增厚;②间质性生长,又称软骨内生长,通过已有的软骨细胞生长增殖,产生更多的软骨细胞和软骨基质,使软骨从内部膨胀式生长。
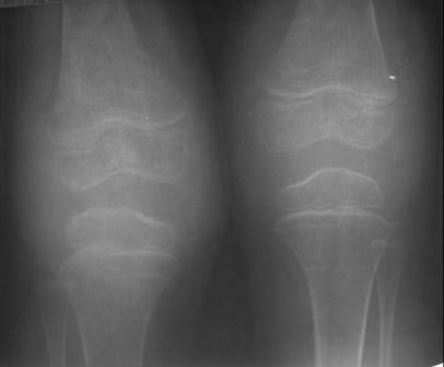
膝关节骨关节炎
骨关节炎是一种慢性关节病,主要病变是关节软骨的退行性变和继发性骨质增生。早期病变发生于关节软骨,软骨失去弹性,胶原纤维变性,软骨碎裂、剥脱,软骨下骨暴露,其骨质硬化,周边出现骨质疏松,骨赘形成。晚期关节周围肌萎缩,出现关节畸形,活动受限。
(一)临床表现
1.本病的主要症状为关节疼痛。活动多时,疼痛加剧,休息后好转。有的病人在静止或晨起时疼痛,稍微活动后减轻,称为“休息痛”。
2.关节活动不灵便,多有关节肿胀或侧副韧带止点区域的肿胀,压痛,严重时有膝关节屈曲,膝内、外翻畸形和肌萎缩。
3.X线片表现为关节边缘骨赘形成,关节间隙变窄,软骨下骨硬化及关节畸形。
(二)治疗
治疗目的是解除症状,改进活动范围,增强关节稳定,延缓病程进展。方法主要有:
1.全身治疗:避免过度活动或损伤。过于肥胖者,应减轻体重。避免冷湿对关节的刺激。
2.药物疗法:疼痛严重者可服用非甾体类抗炎镇痛药。关节内注射透明质酸钠。
3.体育疗法:适当活动关节增强肌力,改善关节的稳定性。
4.手术疗法:如病人有持续性疼痛或关节畸形,可行手术治疗,如全膝关节表面置换术。
第十三章 运动系统检查法(学时 3学时)
掌握:
1.麦氏征、浮髌征、髌骨研究试验,侧方应力试验,前后抽屉试验的操作及临床意义。
2.4字征、托马斯征、布氏三角,髂坐线、卡普兰交点的操作及临床意义。
熟悉:
1.膝关节常用检查方法/2.髋关节常用检查方法/3.腰椎常用检查方法
(四)重点及难点
重点:髋、膝关节常用检查方法。
难点:准确、正确进行检查操作;肩关节体格检查。
第十四章 骨科常用治疗法(学时 2学时)
掌握:
1.石膏治疗、夹板治疗操作及适应症。
2.骨科牵引术及内固定的适应症。
熟悉:
1.膝关节穿刺法。
2.Colles骨折保守治疗方法注意事项。
重点:石膏治疗、夹板治疗、骨牵引术的适应症及禁忌症。
难点:石膏夹板治疗的正确操作。
(✔-见习)第十五章 创伤急救四大技术(学时 8学时)
掌握:
急救止血法(尤其是指压和止血带)、包扎术、固定术(尤其是小夹板固定、颈椎损伤固定)、搬运术(脊柱损伤搬运术)的操作方法和步骤。
熟悉:创伤患者全身检伤顺序、手法和步骤。
(二)能力目标
掌握急救止血法(尤其是指压和止血带)、包扎术、固定术(尤其是小夹板固定、颈椎损伤固定)、搬运术的操作方法和步骤。
(四)重点及难点
1.指压和止血带急救止血法。2.小夹板固定、颈椎损伤固定术。3.脊柱损伤搬运术。
(✔)第十六章 烧伤、冷伤、咬螫伤(2学时)
掌握:
1.热烧伤的临床分期及病理生理特点。/2.烧伤面积的估算及烧伤深度的评估。
熟悉:
1.烧伤的早期处理方法和后期创面的处理。
2.烧伤休克的补液方法及烧伤的治疗原则。/3.烧伤的常见并发症。
(二)能力目标
1.掌握烧伤面积的估算及烧伤深度的评估。
2.熟悉烧伤的早期处理及补液方法。
重点:
1.烧伤面积的估算及烧伤深度的评估。
2.热烧伤的临床分期及病理生理特点。
3.烧伤休克的补液方法及烧伤的治疗原则。
难点:
1.烧伤的常见并发症。2.烧伤深度的鉴别。

手掌法:手掌面积为体表面积的1%,烧伤深度的判定:三度四分法

I度:仅伤及表皮浅层,生发层健在;局部似红斑、无水庖、干燥,微过敏、烧灼感;3-7天愈合、无疤痕。
浅II:生发层和真皮乳头层;水疱,淡黄液,湿润;艳红,水肿;剧痛、感觉过敏;2周左右愈合、短期内有色素沉着
深II:真皮乳头层下;水疱、创面微湿;红白相间;痛觉迟钝;3-4周愈合、有疤痕。
III度:全层;蜡白或焦黄、碳化,焦痂;皮革样,网状血管;痛觉消失;植皮或靠周围皮肤。
| 烧伤严重程度分度 | |||
| 轻度 | 中度 | 重度 | 特重烧伤 |
| Ⅱ < 10%以下 | Ⅱ< 11%~30%,III<10% |
总面积31% ~ 50%,III 11% ~ 20%
,或Ⅱ ,III面积不到,但有严重并发症 |
烧伤总面积50% 以上,或Ⅲ度烧伤 20% 以上 |
病理生理和临床分期(伤后迅速发生的变化是液体渗出)
1.体液渗出期:1~3快,6~8h 高,持续24~36h,甚至48h,多种血管活性物质释放,通透性增加导致渗出,烧伤面积大此期也是休克期(低血容量)

2.急性感染期:1.皮肤、黏膜屏障功能受损,为细菌入侵打开了门户;2.机体免疫功能
受抑制(免疫球蛋白,补体等);3.机体抵抗力下降;4.易感性增加(缺血缺 损害)(创面 肠道 呼吸道 静脉导管)
3.创面修复期:1.无严重感染的I度和小面积Ⅱ可自愈;2.局感染Ⅱ/ III-疤痕或植皮2–3周后;3.溶痂,坏死液化-全身感染(又一高峰)
4.康复期:深度创面愈合后:瘢痕,外观功能–锻炼,体疗 ,整形;;器官异常,痒痛,反复水泡,破溃,感染,残余心理障碍,汗腺破调温差–2~3年调整适应。
治疗原则:1.“三早”(补液,抗感染,早切痂植皮),2.积极治疗吸入伤,防治衰竭,
3.早期救治与功能恢复重建一体理念;院前急救:迅速脱离伤因,注意呼吸心跳、复合伤气胸…妥善保护创面,甄别休克早期的症状,补液、镇痛等,转送:大面积重病人,尽量就近先抢救休克。。入院后初期处理:病史.呼吸道烧伤.年龄体重.测BP,P,R,血氧,尿量,镇痛,简单清创。面积和深度,判断伤情,补液抗炎,TAT。。轻度烧伤:创面处理 、水泡皮包留、深度的水泡皮去除包扎疗法内层用油纱、抗生素、破伤风抗毒素…中重度烧伤:生命体征,必要时气管切开,尽早输液,休克复苏,尿管,清创(环状焦痂),TAT。
烧伤全身性感染:及时纠正休克,正确处理创面,合理应用抗生素,其他综合治疗
常见内脏并发症:肺部并发症,心功能不全,肾功能不全,应激性溃疡,脑水肿
烧伤休克输液:伤后第 24 小时补液量:成人每 1% II 度、 Ⅲ度烧伤面积每千克体重补充电解质液 1ml 和胶体0.5ml(电解质与胶体比例为 2:1 ),另加基础水分 2000ml(体重*烧伤面积*1.5(儿2.0)+2000,24小时后输液量减半,晶体:胶体=1 : 0.5 (特重烧伤各0.75))伤后前8小时内输入一半,后16小时补入另一半,伤后第2个24 小时补液量:胶体及电解质均为第1个24小时实际输入量的一半。
创面处理:I保护创面,浅Ⅱ :去水保留疱皮,深度:清创.外用1%磺胺嘧啶银霜等
环形焦痂:切开,早期切痂,植皮,,大面积深度:清创皮肤移植(自体皮与异体皮)
(✔)第十七章 手外伤及断肢(指)再植(2学时)
掌握:
1.手掌的层次结构、血管分部和神经支配。
2.骨筋膜鞘和筋膜间隙的构成和内容。
熟悉:
1.手关节的组成和运动;手肌的组成;手指的结构特点。
2.手外伤的治疗原则。
3.断肢(指)的病理,病人的急救,断肢的保存,断肢再植的指征及手术要点,术后处理及并发征的防治。
(二)能力目标
掌握手外伤的病因及急救措施,培养快速、准确判断并处理病患的能力。
重点:
1.手掌的层次结构、血管分部和神经支配。
2.骨筋膜鞘和筋膜间隙的构成。
难点:
1.断肢(指)再植的指征及手术要点,术后处理及并发征的防治。
2.手掌及手背的层次结构。
休息位(手的自然静止状态):分析手部创伤的基础,包扎的原则,最稳定的姿势,骨折复位后稳定,肌腱修复确定张力的位置
手的功能位(手将发挥功能时的准备体位):严重外伤术后较难恢复正常功能,甚至发生强直者,与此位置固定保持最大功能。
正中神经∶手掌桡侧三个半手指,拇指之间关节、示中指及环指桡侧半近指间关节以远(运动——拇指不能对掌,拇、食指捏物功能丧失。)
桡神经(浅支)∶手背桡侧二个半指近指间关节近端,虎口
尺神经∶尺侧一个半手指(运动:3、4蚓状肌麻痹所致的环小指爪形手畸形;骨间肌及拇收肌麻痹所致的Froment征,夹纸试验阳性)
动脉损伤表现为皮色苍白、皮纹降低、指腹瘪陷、毛细血管回流缓慢或消失,动脉搏动减弱或消失
静脉回流障碍表现为皮青紫,肿胀、毛细血管回流加快,动脉搏动良好
手外伤早期治疗原则:
1.早期彻底清创 2.组织修复 3.早期闭合创口4.术后处理及康复训练组织修复:尽量6-8小时内一期修复;受伤超过12小时或污染重,损伤广泛或缺必要条件可延期(3周左右)或二期修复(12周左右);影响手部血液循环的血管损伤应立即修复;骨折关节脱位应及时复位固定。
肌腱修复:无论是伸、屈肌腱,均应尽量一期修复,腱鞘也一并修复;肌腱缝合后一般固定3-4周,拆除固定进行功能锻炼并辅助理疗;若发生粘连,尚需经过3-6月系统康复治疗,若功能未改善,则行肌腱松解术。
神经修复:应尽量在清创时一期修复;若创口污染重或合并皮肤缺损,可将神经外膜固定于周围组织,防止神经退缩,以利于二期修复
治疗 :早期准确复位与牢固的固定——解剖复位;早期闭合伤口、防感染;早期功能锻炼,以恢复全手的灵活的功能
闭合无移位或稳定的骨折,可保守固定时间4-6周
开放性的骨折脱位,尽量立即复位,同时修复关节囊、韧带(克氏针、微型钢板、微型外固定支架等)
断肢(指)再植:
完全性断肢:肢断离,没有任何组织相连,或虽有组织相连,但其失活必须清除。
不完全性断肢(指)∶伤肢断面软组织相连皮肤少于周径的1/4,伤指断面软组织相连皮肤少于周径的1/8,不吻合血管将发生肢体坏死。
急救:原则:止血、包扎、固定、断肢(指)保存,迅速转运。
离断肢(指)断面应用清洁敷料包扎以减少污染。若受伤现场离医院较远,可采用干燥冷藏法保存。将断肢(指)用清洁或无药敷料包裹,置入塑料袋中密封,再放于加盖的容器中,外周放入冰块保护,切忌将断肢(指)浸泡于任何溶液中。达到医院后,检查断肢(指),用无菌敷料包裹,放于无菌盘中,置于4°冰箱内。
适应症:
(一)全身情况原则∶1.救命第一、肢体冷藏、适时再植;2.全面检查,勿遗漏重要脏器损伤;3.首先抗休克、处理危及生命的合并伤;4.全身情况允许再进行再植
(二)断肢创伤情况:断肢应有一定完整性∶血管床、毁损程度;断肢不得浸泡在任何液体中;1~4℃ 冰箱冷藏,不得冷冻
(三)缺血时间(再植时限):20℃完全缺血6~8h后不宜再植;决定于肌肉对缺氧的耐受时间;影响因素∶气温,保存,离断平面
(四)年龄
(五)再植肢体应有一定功能
禁忌症:合并全身慢性疾病或严重脏器损害,不能耐受长时间手术,有出血倾向者;
断肢(指)多发骨折、严重软组织挫伤、血管床严重破坏、血管神经等高位撕脱,预计术后功能恢复差,断肢(指)经刺激性液体或其他消毒液长时间浸泡者,高温季节,离断时间过长,断肢未经冷藏保存者;合并精神异常,不愿合作,无再植需求者。
手术原则:(1)彻底清创(2)修整重建骨支架(3)缝合肌(肉)腱 (4)重建血液循环:一动两静(5)缝合神经(6)闭合创口(7)包扎
术后处理 :(1)一般护理(2)密切观察全身反应(3)定期观察再植肢(指)体血液循环,及时发现和处理血管危象 (4)防止血管痉挛、抗血液凝固治疗(5)抗生素应用
(6)再植肢(指)康复治疗
手掌的层次:
皮肤 一 浅筋膜 一 深筋膜浅层一
掌浅弓、血管、尺神经浅支、正中神经
肌腱、肌层(指浅深屈肌腱、大/小鱼际肌群、蚓状肌、拇长屈肌睫)
筋膜间隙
深筋膜深层(骨间掌侧筋膜乃拇收肌筋膜)
掌深弓、血管、尺神经深支
骨间掌侧肌、拇收肌一掌骨
2.手掌的深筋膜:
1.浅层:覆盖于鱼际肌、小鱼际肌和指屈肌腱的浅面,分为鱼际筋膜、小鱼际筋膜和掌腱膜
掌腱膜:由掌长肌肌腱散开的腱纤维与手掌中部的深筋膜浅层融合而成。
指蹼间隙:在掌骨头处,掌腱膜深层的横行纤维与其向远端发出的 4 束纵行纤维之间,围成3 个纤维间隙,内含大量脂肪、指血管、神经和蚓状肌腱,是手掌、手背和手指三者之间互相交通的通道。
2.深层:1.骨间掌侧筋膜:覆盖于骨间掌侧肌和掌骨的表面,位于指深屈肌腿的深面。2.拇收肌筋膜:由骨间掌侧筋膜在第 3 掌骨前面向侧分出一部分覆于拇收肌表面
骨筋膜鞘:掌腱膜的外侧缘发出一掌外侧肌间隔,向深部附于第 1掌骨:从掌键膜的内侧缘发出掌内侧肌间隔,向深部附于第 5 掌骨。如此,在手掌形成 3 个骨筋膜,即外侧骨筋膜鞘、中间骨筋膜鞘和内侧骨筋膜鞘。
(1)外侧骨筋膜鞘:又名鱼际鞘,由鱼际筋膜、掌外侧肌间隔和第1 掌骨围成。内有除拇收肌以外的鱼际肌,拇长屈肌腱及其腱鞘,以及至拇指的血管、神经等.
(2)中间骨筋膜鞘:又名掌中间鞘,由掌腱膜,掌内、外侧肌间隔,骨间掌侧筋膜及拇收肌筋膜共同围成。内有指浅、深屈肌腱及其屈肌总腱鞘、蚓状肌、掌浅弓、指血管和神经等。
(3)内侧骨筋膜鞘:又名小鱼际鞘,由小鱼际筋膜、掌内侧肌间隔和第 5 掌骨围成。内有除掌短肌外的小鱼际肌和至小指的血管、神经等。
(4)拇收肌鞘:位于在掌中间后方的外侧半。由拇收肌筋膜、骨间掌侧筋膜、第 1 掌骨和第 3 掌骨共同围成,内容拇收肌。收肌与骨间掌侧筋膜之
间的间隙,称拇收肌后隙。
筋膜间隙:位于掌中间鞘内,包括外侧的鱼际间隙和内侧的掌中间隙。两间隙被掌中隔分开。掌中隔是连结于掌腿膜外侧缘与骨间掌侧筋膜之间的纤维组织,包绕示指屈肌腱和第1蚓状肌后,附着于第 3 掌骨
(1)掌中间隙:位于中间鞘内侧半的深面。
1.前界:为3-5 指屈肌腱、第 2-4 蚓状肌:
2后界:为掌中隔后部,第3、4 掌骨,骨间肌及其前面的骨间掌侧筋膜:
3内侧界:为内侧肌间隔: 4外侧界:为掌中隔。
掌中间隙向远端沿第 2-4 蚓状肌管,与 2-4 指蹼间隙相通,进而可通向手背。掌中间隙的近侧达屈肌总腱鞘的深面,可经腕管与前臂屈肌后间隙相交通
(2)鱼际间隙: 位于中间鞘外侧半的深面
1前界:为掌中隔前部、示指屈肌腱、第 1蚓状肌: 2后界:为拇收肌筋膜;
3.外侧界:为外侧肌间隔; 4.内侧界:为掌中隔。
鱼际间隙向远端经第1蚓状肌管通向示指背侧,其近端为盲端
(✔)第十八章 神经压迫征——运动系统慢性损伤(2学时)
掌握:
1.神经损伤的分类。
2.腕管综合征及肘管综合征的临床表现、诊断和治疗原则。
熟悉:
肩关节周围炎,肱骨外上髁炎,狭窄性腱鞘炎、腱鞘囊肿临床表现、诊断和治疗原则。
(二)能力目标
1.掌握腕管综合征及肘管综合征压迫的神经及对应的临床表现、诊断和治疗原则,对骨科常见的慢性神经压迫做到早诊断、早治疗减少后遗症。
2.熟悉肩周炎、肱骨外上髁炎,狭窄性腱鞘炎的诊断及治疗,对常见病的治疗及科普起到一定作用。
(四)重点及难点
腕管综合征及肘管综合征的临床表现、诊断和治疗原则。
神经损伤的分类:
1.神经传导功能障碍:表现为暂时的感觉、运动丧失,神经纤维无结构改变,数日或数周内功能便自行恢复。
2.神经轴索中断:病理表现为断裂的轴索远端变性或脱髓。 神经功能障碍多可自行恢复。
3.神经断裂:神经功能丧失,需经手术修复,方能恢复功能。
腕管综合征 : (是正中神经在腕管内受压而表现出的一组症状和体征。是周围神经卡压综合征中最常见的一种。)
腕管为腕掌侧一个骨性纤维管道,腕骨构成底和两侧壁,屈肌支持带为顶。
腕管内有拇长屈肌腱、2-5指浅屈肌腱、指深屈肌腱及正中神经通过。

正中神经的支配:前臂大部屈肌群; 手掌:大鱼际的三个鱼际肌-拇对掌肌、 拇短展肌、拇短屈肌浅头,及第1、2蚓状 肌;感觉:手掌侧拇、示、中及环指桡侧半, 手背侧示、中指远节。
任何能使腕管内容物增多、增大或使腕管容积缩 小的因素均可导致本病:
1. 外源性压迫, 2.管腔本身变小,3.官腔内容物增多、体积增大,4.职业因素。
初期正中神经水肿、充血,逐渐由于压迫性缺血而造成神经内纤维化,神经轴突压缩和髓磷脂鞘消失,最后神经组织转为纤维组织,神经内管消失并被胶原组织代替为不可逆。
临床表现:1.中年女性多发。2.正中神经受压表现:桡侧三个手指端麻木或疼痛,持物无力,以中指为甚。夜间或清晨症状最重,适当抖动腕关节可缓解症状,疼痛可牵涉至前臂。
3.体格检查 拇、示、中指有感觉过敏或迟钝。鱼际肌萎缩、拇指对掌无力。
4.特殊检查: ①神经叩击试验(Tinel征:沿正中神经走行从前臂向远端叩击,如果在腕管区域叩击时出现正中神经支配区域的麻木不适感,为Tinel征阳性。特异性不高)
②屈腕试验(Phalen试验:屈肘、前臂上举,双腕同时屈曲90°,1分钟内患侧即会诱发出正中神经刺激症状为阳性。)
③正中神经压迫试验(检查者用拇指压迫腕管部位,如果30秒内出现正中神经支配区域皮肤的麻木不适为阳性,重要物理检查。)
- 电生理检查(肌电图)最准确的诊断方式:大鱼际肌肌电图及腕-指的正中神经传导速度测定有神经损害征。
诊断依据:X线片–是否有骨性的压迫。 电生理检查–比较敏感、可靠的指标。肌电图检查示正中神经传导速度有变缓 。 (此检查目前在临床上被认为是最准确的诊断方式 ),MRI检查,腕管内压力测定,超声检查–超声测量正中神经的截面积是诊断腕管 综合征的可靠方法
非手术治疗:(1)制动: 早期固定腕关节中立位(2)服药: 消炎止痛类药物、营养神经药物。(3)腕管封闭:用利多卡因和类固醇制剂作腕管内注射。(4)中医理疗。
手术治疗:腕横韧带切开减压术
肘管综合征(尺神经在尺神经沟内因慢性损伤而产生的症状和体征。)
病因:1.肘外翻 (最常见原因),2.尺神经半脱位,3.肱骨内上髁骨折,4.创伤性骨化
临床表现:1.尺神经受压表现 首先发生手背尺侧、小鱼际、小指及环指尺侧半皮肤感觉异常(麻木或刺痛)。继出现小指对掌无力及手指收、展不灵活。
2.体格检查 小鱼际肌、骨间肌萎缩,及环、小指呈爪状畸形。前述皮肤痛觉减退。
3.特殊检查: ①神经叩击试验(Tinel征)② Froment征(令病人拇指指间关节伸直与示指中节侧方用力捏物(或纸)时,若拇指末节屈曲即为阳性)阳性 亦称拇指夹纸试验
4.基础疾病表现 X线片显示局部有移位骨块或异常骨化等。
非手术治疗:①尺神经营养治疗 ②注射醋酸泼尼松龙(封闭针)
手术:尺伸进探查松解、尺神经前移术,(术后感觉恢复较快)
肱骨外上髁炎(网球肘):Mills 征阳性:伸肘,握拳,屈腕,然后前臂旋前,肘外侧疼痛。
狭窄性腱鞘炎 (弹响指):(1)弹响指和弹响拇(2)桡骨茎突狭窄性腱鞘炎Finkelstein试验阳性握拳尺偏腕关节时,桡骨茎突处出现疼痛。
(✔)第十九章 脊柱侧弯——运动系统畸形(学时 2学时)
掌握:脊柱侧弯的临床表现、诊断及治疗原则。
熟悉:脊柱侧弯的体格检查特点。
(二)能力目标
1.掌握脊柱侧弯的临床表现及诊断;
2.熟悉脊柱侧弯的体格检查特点,并能够简单地进行相关检查。
(四)重点及难点
重点:脊柱侧弯的临床表现、诊断及治疗原则。
难点:1.脊柱侧弯的鉴别诊断。2.运动系统畸形的分类及特点。
定义:脊柱侧弯(凸)是指脊柱的一个或数个节段向侧方弯曲,或伴有椎体旋转的脊柱畸形
国际脊柱侧凸研究学会:应用Cobb法测量站立正位X线的脊柱侧方弯曲,如角度>10°为脊柱侧凸
分类:
1.非结构性脊柱侧凸:脊柱及其支持组织无内在的固有改变,在侧方弯曲像或牵引像上畸形可矫正,针对病因治疗后,脊柱侧凸即能消除,病因:姿势性、癔症性脊柱侧凸,神经根受刺激(椎间盘突出、肿瘤,炎症、下肢不等长、髋关节挛缩)
2.结构性脊柱侧凸:伴有旋转的、结构固定的侧方弯曲,侧弯不能通过平卧或侧方弯曲自行矫正,或虽矫正但无法维持,受累的椎体被固定在旋转位。病因:特发性、先天性、神经肌肉型,神经纤维瘤病合并脊柱侧凸,间充质病变合并、骨软骨营养不良,代谢性障碍合并或其他原因导致。
特发性脊柱侧凸:1.形成障碍:半椎体、楔形椎,2.分节不良:单侧未分节形成骨桥,双侧未分节(阻滞椎)3.混合型:椎体形成障碍,合并分节不良
发病机理:遗传,激素,生长发育不对称,结缔组织发育异常,神经-平衡系统功能障碍
神经内分泌系统异常,其它 :高龄母亲 、铜代谢异常等。
病理解剖:脊椎 :椎体楔形变、旋转;凹侧:椎弓根变短变窄,小关节增生、硬化,椎板略小,棘突向凹侧旋转,椎管变形狭窄;椎间盘:凹侧椎间隙窄,凸侧椎间隙宽;胸廓 :胸廓旋转变形,凸侧移向背侧、梯刀背畸形;心肺功能影响 :较轻的致胸廓畸形和胸腔容量减少,早发的或严重的脊柱侧弯或前突型侧弯可导致肺的发育障碍、膨胀障碍、甚至在凸侧发生局部肺不张。
临床表现:外观畸形。早期可不明显,初诊时背部畸形为主要症状,表现为站立位姿势不对称,前胸和腰际不对称,背部隆突、剃刀背畸形,双肩不等高,一侧肩胛后突等。
严重者躯干倾斜、短缩,胸廓旋转、下沉而导致心肺功能障碍。
主侧弯在胸段时:心肺功能障碍,寿命缩短
主侧弯在脊柱下段时:腰背痛、疲劳、劳动力下降
检查:站立位脊柱全长正侧位片(诊断脊柱侧凸的基本方法)
X线片:1.侧弯程度

顶椎:AV 是整个弯曲范围内距离CSVL(骶骨中垂线)最远、最水平、旋转程度最大、楔形变最明显的椎体
端椎:EV 侧弯的头端和尾端倾斜度最大的椎体
中立椎:NV 主弯以下最靠近头侧的双侧椎弓根对称的椎体
稳定椎:SV 端椎下最靠近头侧被CSVL中间穿过的椎体
侧弯类型 顶椎位置
上胸弯(PT) T2—-T5
胸弯 (MT) T6—-T11
胸腰弯 (TL) T12—-L1
腰弯 (L) L2——L5

Cobb法:最常用,上端椎上缘的垂线与下端椎下缘的垂线的交角即为Cobb角
2.锥体旋转程度:


Nash-Moe椎体旋转分级
C7PL:是经过C7椎体中点垂直向下的直线
骨龄:Risser征:将髂前上棘至髂后上棘骺环的总长度分为四等份:0-未出现者;I度-出现1/4;II度-出现2/4 ;III度-出现3/4; IV度-完全出现
诊断:病史,临床表现:症状+体征,辅助检查:脊柱全长片

进展规律:骨骼发育成熟前:发病越早,进展的可能性越大 ,在月经前,进展的危险性较大 ,发病时的Risser征越低,进展的可能性越大 ,双弯型脊柱侧弯比单弯型更易进展 ,脊柱侧弯发现时的度数越大,越易进展
骨骼发育成熟后:cobb氏角 <30, 侧弯进展机率低,cobb氏角 >30,多有1度/年加重,cobb氏角>50度,进展更快
治疗:
目的:1. 矫正畸形 2. 获得稳定 3. 维持平衡 4. 减缓或阻止进展。
支具治疗:目的:防止侧弯继续加重
应用指征:发育未成熟,Risser征≤2, cobb氏角20-40度 或加重≥5度每年,年龄 ≥6月
禁忌症:cobb氏角大于40度(单弯)及50度(双弯)合并胸前凸
手术目的:矫正脊柱畸形、防止进展,维持脊柱稳定与平衡。改善外观心肺功能,
手术原则:固定融合结构性侧弯至中位椎、稳定椎尽量减少融合节段。
(✔)第二十章 骨肿瘤(学时 2学时)
掌握:骨肿瘤的定义、分类、临床表现、诊断方法及治疗原则。
熟悉:骨肿瘤的影像学表现。
(二)能力目标
1.准确、规范的骨肿瘤描述和根据原则规范骨肿瘤治疗方案。
2.可根据影像学表现判断骨肿瘤的性质。
(四)重点及难点
重点:骨肿瘤的临床表现及治疗原则。,,难点:骨肿瘤的影像学表现。
定义:发生与骨骼(骨,骨膜,骨髓,软骨,纤维)及其附属组织(血管,神经)的肿瘤
从起源分类:
1、原发骨肿瘤(骨软骨瘤、骨肉瘤、骨巨细胞瘤、尤文氏肉瘤)
2、继发骨肿瘤(转移瘤)
3、骨肿瘤样病变(骨囊肿、动脉瘤样骨囊肿、嗜酸性肉芽肿、骨纤维异常增殖)
4、滑膜肿瘤
从良恶性程度分类
1、良性:骨软骨瘤、骨囊肿、动脉瘤样骨囊肿、嗜酸性肉芽肿、骨纤维异常增殖
2、中间型:骨巨细胞瘤
3、恶性:骨肉瘤、转移瘤、尤文氏肉瘤
临床表现:疼痛、压痛,肿块、肿胀,功能障碍、压迫症状,病理性骨折:良恶性均可,首发症状,年龄、部位 ,恶性肿瘤晚期:恶液(病)质 ,转移途径:血行性、淋巴
影像学检查:
X线:1.骨沉积:骨膜反应,Codman三角、日光或葱皮样等;2.骨破坏:溶骨性、成骨性;3.骨外软组织钙化阴影.
CT:可帮助确定骨肿瘤的性质.;MRI:对软组织的显示优于CT.
| 概 论 | |||
| 良性 | 恶性 | ||
| 病史症状 | 病程 | 长 | 短 |
| 疼痛 | 无或轻 | 较剧 | |
| 瘤块生长 | 慢 | 快 | |
| 全身状况 | 好 | 发烧、消瘦恶液质 | |
| 局部体征 | 表面皮肤 | 无改变 | 红、热、静脉显露 |
| 压痛 | 无或轻 | 较明显、功能障碍 | |
| 听诊 | 无杂音 | 可有杂音 | |
|
影像学
(X线、 CT、MRI) |
生长方式 | 膨胀性 | 浸润性 |
| 肿瘤界限 | 清 | 不清 | |
| 骨松质 | 多有存留,全溶者少 | 溶骨性不规则破坏 | |
| 骨皮质 | 完整或薄 | 早期即可有破坏 | |
| 骨膜反应 | 无 | 早期即可有 | |
| 软组织影 | 无 | 有、可钙化 | |
| 其他 | 血沉 | 正常 | 增快 |
| ALP | 正常 | 增高 | |
| 转移 | 无 | 有 | |
同位素:明确病损范围,早期发现骨转移灶.病理学:确诊的唯一方法.
实验室:血沉: 恶性↑,良性正常。成骨性肿瘤:ALP↑,可作预后判定.
前列腺癌:酸性磷酸酶↑。 多发性骨髓瘤:贫血、尿本周氏蛋白(+)、A/G倒置。
骨破坏的肿瘤:Ca ↑,现代生物技术检测:DNA定量、定性,RT-PCR。
诊断 :临床 + 辅助检查 + 病理学
治疗
良性:切除、刮除 + 植骨
恶性:1.化疗:新辅助化疗和剂量强度 ;2.手术:保肢、功能重建;截肢。手术界限 ;3.放疗:脊柱血管瘤、尤文氏肉瘤、转移瘤;4.其他治疗:DSA治疗、局部动脉插管化疗、免疫治疗、温热-化学治疗、中医中药等
骨软骨瘤
临床表现、诊断:干骺端无痛性骨性突起,青少年,生长年龄结束肿瘤生长停止。无症状,或有压迫症状。四肢长骨干骺端、骨盆等。
X 线:自干骺端突出,软骨帽不显影,瘤体与松质骨影一致,反关节生长。如瘤体周围有棉絮状钙化影则视为恶变。治疗:从肿瘤基底连同软骨帽纤维膜全部切除。恶变:广泛大块切除 ,无症状可观察.
内生软骨瘤 Enchondromatosis(骨干内)
骨膜下软骨瘤 Periosteal chondroma(骨表面)
部位:干骺端与骨干交界处,手足管状骨(内生软骨瘤),长管状骨(骨膜软骨瘤),单发多见。 症状:畸形,病理性骨折后出现疼痛。X线:钙化阴影或骨皮质有凹型缺损,轻微骨膜反应。治疗:刮除植骨。长管状骨者应行瘤段切除和大块植骨。
骨巨细胞瘤
源于组织细胞,潜在恶性,生物学性为多变。 组织学特征:在血管丰富的结缔组织内分布着棱形和椭圆形基质细胞(即肿瘤细胞)和大量多核巨细胞(核数10-200个)。

按病理组织学分三级
临床表现与诊断
20-40岁,股骨下端、胫骨上端、桡骨下端最常见。
偏心性生长,患部肿胀和疼痛,生长快则症状明显;
压痛,乒乓球感;穿破骨皮质:软组织肿块,皮温↑关节活动受限,病理性骨折。
X 线:骨端偏心位膨胀性溶骨性破坏,肥皂泡状,皮质变薄膨大,少有骨膜反应。若骨皮质断裂,骨膜新生骨较明显则提示有恶变可能。
分型:Ⅰ型:肿瘤位于骨内;Ⅱ型:肿瘤已侵蚀骨皮质;Ⅲ型:肿瘤已破坏骨皮质,未突向软组织;Ⅳ型:肿瘤明显突入软组织.
治疗:1.局部切除;彻底刮除,用理化方法处理残腔,再植骨(自体或异体)或用骨水泥充填残腔。;2.术后复发等:瘤段切除后人工假体置换;3.化疗(术前、术后);放疗(易发生肉瘤变)。;4.恶变或原发恶性:瘤段切除重建,必要时截肢。
骨肉瘤
最常见,恶性度最大,占原发骨肿瘤10%,原发癌20%。近10多年新辅助化疗使5年存活率达50-90%,成骨同时又有骨破坏;有很多亚型,组织学:肉瘤性成骨细胞,瘤性骨样组织,肿瘤骨常发生肺转移
临床表现及诊断:1.好发于四肢长骨干骺端,尤多见于股骨远端、胫骨近端及肱骨近端;
2.局部疼痛、夜间痛,肿胀与压痛.皮温↑浅静脉怒张.穿破骨皮质:软组织内可触到肿块
3.关节活动受限,病理性骨折;4.实验室检查:ALP↑,ESR↑,贫血
5.X线、CT、MRI、ECT
X线:致密的肿瘤骨或溶骨性破坏;骨膜反应:日光照射状,Codman三角;
1.成骨型:致密或云雾棉絮状;2.溶骨型:片点状透亮区或虫蛀状,边界不清;3.混合型。
治疗:采取综合疗法;坚持术前术后化疗:顺铂、阿霉素、长春新碱等。 保肢(80%),功能重建;必要时截肢。
软骨肉瘤: 原发:多见,迅速,部位与骨肉瘤相同。主要为软骨成份骨与结缔组织。
继发:软骨瘤、骨软骨瘤恶变,少,慢,恶性低,好发于30岁以上,骨盆,肩胛带,长骨近端 .临床:疼痛和缓慢增大的硬质肿物.X线:溶骨性破坏,内有点或絮状钙化阴影,可有骨膜反应.治疗:手术加化疗。预后较骨肉瘤好.
X线:原发:干骺端呈透明、斑点或团状影,皮质缺损,软组织密度加深呈乱发阴影。
继发:溶骨阴影增大,钙化点增多成堆,皮质缺损,骨膜反应,软组织钙化。
骨纤维肉瘤:指发生于骨内起源于非成骨性纤维结缔组织的恶性骨肿瘤;多为原发.少数继发.发病年龄:11-50岁,好发于四肢长骨干骺端或骨端。股骨和胫骨多见.
症状:疼痛和肿胀,病理骨折。
X线片:髓腔内溶骨性破坏,界不清,无钙化或骨膜反应。治疗:手术(瘤段切除、截肢)。
尤 文 肉 瘤:起源于骨髓间充质细胞;病变始于髓腔。以小圆肿瘤细胞含糖原颗粒为特征。
生长迅速,很快穿破骨皮质,反复掀起骨膜。血供滞后,肿瘤坏死。多见于儿童股骨、胫腓骨等。症状为疼痛、肿胀和压痛;可触及软组织肿块。发展快,迅速恶化。早期肺转移。
X线:长骨干溶骨性破坏、葱皮状骨膜反应。治疗:放疗、化疗、手术相联合的综合治疗。
转移性骨肿瘤:常见来源:多为腺癌。 转移途径:血、淋巴。
(✔)第二十一章 重症肌无力——神经肌肉疾病(学时 9学时)
骨骼肌的组织结构(2学时)
掌握:
1.肌组织的构成。/2.骨骼肌的光镜结构。
3.骨骼肌的超微结构。/4.组成肌原纤维的功能单位(肌节)的形态结构。
熟悉:
1.肌原纤维的肌丝种类与排列方式。2.横小管、肌质网和三联体的位置、分布、形态与功能。
骨骼肌收缩的生理功能(4学时)
掌握:1.骨骼肌神经-肌肉接头处的兴奋传递/2.横纹肌细胞的兴奋-收缩耦联/3.影响横纹肌收缩效能的因素
熟悉:1.肌丝滑行的过程/2.横桥周期的运转模式与肌肉收缩的表现
神经肌肉阻滞剂(1学时)
掌握:
1.神经肌肉接头的兴奋传递原理,特别是传递通路是如何被激活的、乙酰胆碱的传递方向及结合受体过程中可能受哪些因素干扰。
2.去极化和非去极化神经肌肉阻滞剂具体作用机制。
3.去极化神经肌肉阻滞剂代表药物是琥珀胆碱;非去极化神经肌肉阻滞剂代表药物是维库溴铵、泮库溴铵。
熟悉:
1.乙酰胆碱是如何释放到突触,并如何影响受体。
2.神经肌肉阻滞剂药效学特点和参数,包括起效时间、临床时效、总时效、恢复指数等。
3.神经肌肉阻滞剂药动学特点,包括吸收、分布、消除、排泄等。
重症肌无力等神经肌肉疾病(2学时)
掌握:1.重症肌无力的概念、临床表现、治疗原则。 /2.重症肌无力危象概念、类型、临床表现、鉴别诊断和抢救原则。 /3.周期性瘫痪的概念、临床表现、诊断及治疗。
熟悉:
1.肌肉疾病与神经肌肉接头和肌纤维的解剖生理的关系。/2.低钾性周期性瘫痪的临床表现。
3.进行性肌营养不良症的概念,Duchenne 型肌营养不良的临床表现及诊断。
重点:1.骨骼肌的光镜结构;肌节的结构与功能。//2.骨骼肌神经-肌肉接头的兴奋传递过程:接头前膜、接头间隙、接头后膜兴奋传递的主要步骤。//3.兴奋收缩耦联的基本步骤。
4.前负荷和后负荷对肌肉收缩的影响。//5.神经肌肉阻滞剂去极化和非去极化的作用机制和药效学特点。//6.重症肌无力的概念、发病机制、治疗原则。
7.不同类型重症肌无力的临床表现。//8.肌无力危象的概念、抢救原则。
难点:
1.骨骼肌纤维的收缩原理。//2.肌肉等长收缩时的长度-张力关系。
3.肌肉等张收缩时的张力-速度曲线。//4.神经肌肉阻滞剂药物的药效学特性。
肌组织(muscle tissue)主要由具有收缩功能的肌细胞构成。肌细胞间有少量结缔组织、血管、淋巴管及神经。肌细胞因呈细长纤维形,故又称肌纤维(muscle fiber),其细胞膜称肌膜(sarcolemma),细胞质称肌质(肌浆)内含肌丝,滑面内质网称为肌浆网。根据结构和功能特点,肌组织分骨骼肌、心肌和平滑肌三种,前两种因有横纹,属横纹肌(striated muscle)。骨骼肌受躯体神经支配,属随意肌;心肌和平滑肌受自主神经支配,为不随意肌。
骨骼肌(skeletal muscle)一般借肌腱附于骨骼。致密结缔组织包裹在整块肌外面形成肌外膜(ep-imysium)。肌外膜的结缔组织伸入肌内,将其分隔形成肌束,包裹肌束的结缔组织称肌束膜(perimysi-um)。分布在每条肌纤维外面的结缔组织称肌内膜(endomysium)。结缔组织对骨骼肌具有支持、连接、营养和功能调整作用。除骨骼肌纤维外,骨骼肌中还有一种扁平、有突起的肌卫星细胞(muscle satellite cell),附着在肌纤维表面;当肌纤维受损伤后,肌卫星细胞可增殖分化,参与肌纤维的修复,因此具有干细胞性质。
光镜结构:呈长圆柱状;多核;核呈扁椭圆形,位于肌膜下,肌浆含许多平行排列的肌原纤维。
肌原纤维(myofibril),呈细丝样,直径1~2μm。每条肌原纤维上都有明暗相间的带,各条肌原纤维的明带和暗带都准确地排列在同一平面上,因而构成了骨骼肌纤维明暗相间的周期性横纹(cross striation)。在偏振光显微镜下,明带(light band)呈单折光,为各向同性,故又称I带;暗带(dark band)呈双折光,为各向异性,故又称A带。用油镜观察,可见暗带中央有一条浅色窄带,称H带,H带中央有一条深色的M线。明带中央有一条深色的Z线。相邻两条Z线之间的一段肌原纤维称为肌节(sarcomere)。每个肌节由1/2I带+A带+1/2I带组成。是骨骼肌纤维结构和功能的基本单位。

电镜结构:
1.肌原纤维:
粗肌丝:固定于中央的M线,两端游离,由肌球蛋白组成,
细肌丝:一段固定于Z线,另一端游离并伸入粗肌丝之间,由肌动,原肌球,肌钙蛋白组成。
2.横小管:肌膜向肌浆内凹陷形成管状结构,其走向与肌纤维长轴垂直,在明暗交接处环绕肌原纤维。功能:将肌膜的兴奋迅速传导至肌纤维内部。
3.肌浆网:未特化的滑面内质网,在横小管之间纵向包绕肌原纤维,又称纵小管。在靠近横小管两侧的纵小管膨大形成终池。每条横小管核两侧终池共同组成三联体。肌浆网可以调节肌浆内Ca2+浓度,对肌纤维收缩过程起重要作用。


三、骨骼肌纤维的收缩原理
目前认为,骨骼肌收缩的机制是肌丝滑动原理(sliding filament mechanism)。其过程大致如下:①运动神经末梢将神经冲动传递给肌膜;②肌膜的兴奋经横小管迅速传向终池;③肌浆网膜上的钙泵活动,将大量Ca2+转运到肌浆内:④肌原蛋白TnC与Ca2+结合后,发生构型改变,进而使原肌球蛋白位置也随之变化:⑤原来被掩盖的肌动蛋白位点暴露,迅即与肌球蛋白头接触;⑥肌球蛋白头ATP酶被激活,分解了ATP并释放能量;⑦肌球蛋白的头及杆发生屈曲转动,将肌动蛋白拉向M线(图6-6);⑧细肌丝向A带内滑入,1带变窄,A带长度不变,但H带因细肌丝的插入可消失(图6-7),由于细肌丝在粗肌丝之间向M线滑动,肌节缩短,肌纤维收缩;⑨收缩完毕,肌浆内Ca2+被泵入肌浆网内,肌浆内Ca2+浓度降低,肌原蛋白恢复原来构型,原肌球蛋白恢复原位又掩盖肌动蛋白位点,肌球蛋白头与肌动蛋白脱离接触,肌则处于松驰状态。
骨骼肌神经-肌接头处兴奋的传递
运动神经纤维在到达神经末梢处时先失去髓鞘,以裸露的轴突末梢嵌入到肌细胞膜上称作骨骼肌神经-肌接头。神经肌接头处的兴奋传递通常是 1 对的,亦即运动纤维每有一次神经冲动到达末梢,都能“可靠地”使肌细胞兴奋一次,诱发一次收缩。
1.神经-肌肉接头的结构包括三部分:
(1)接头前膜,即神经轴突膜的增厚部分。其轴浆中有大量直径约 50nm 内含乙酰胆碱的囊泡。此外还有线粒体、微管和微丝等。
(2)接头后膜,系与神经轴突膜相对就的肌细胞膜部分,该处又称运动终板
(3)接头间隙,指神经与肌肉的间隙,宽约 20nm,与一般细胞外液相沟通它表明神经末梢
与终板膜并不相接触。
2.传递过程:
运动神经兴奋→末去极化和膜上电压门控 Ca2+通道开放→Ca2+内流→启动突触囊泡出泡→末梢释放递质ACH→ACh与终板膜上ACh受体阳离子通道结合并使之激活,引起通道开放Na+内流与K+外流 (Na内流大于 K外流)终板膜去极化(终板电位)→肌膜动作电位和肌细胞收缩。
特点:易受环境影响(美洲箭毒、a – 银环蛇毒与 ACh 竞争受体而阻断传递:有机磷农药选择性抑制胆碱酶,使 ACh 在接头间隙蓄积而中毒。
ACh 的清除: 由胆碱酶降解。
横纹肌的收缩机制
横纹肌的肌原纤维由粗、细两组肌丝与其走向平行的蛋白丝构成,肌肉的缩短和伸长均通过粗细肌丝在肌节内的相互滑动而发生,肌丝本身长度不变。
1.粗肌丝:肌球蛋白(肌凝蛋白) 组成,其上有横桥。
横桥特性:有ATP 酶特性,能与肌动蛋白可逆结合产生扭动,继而解离、复位和再结合。
横桥周期:横桥与肌动蛋白结合、扭动、复位的过程。
2.细肌丝
(1)肌动蛋白(肌纤蛋白): 其上有与横桥结合的位点。
(2) 原肌球蛋白(原肌凝蛋白): 有阻碍横桥与肌动蛋白结合的作用
(3)肌钙蛋白: 间断出现于原肌球蛋白分子上
3.肌肉收缩的过程
收缩过程:肌质Ca浓度上升→Ca与肌钙蛋白结合→原肌球蛋白变构暴露位点→横桥周期→细肌丝向肌节中央滑行→肌节缩短→肌肉收缩。
舒张过程:肌浆 Ca浓度下降→肌钙蛋白与 Ca2+解离→原肌球蛋白复位→阻碍横桥与肌动蛋白结合→细肌丝复位→肌节复位→肌肉舒张。

横纹肌的兴奋-收缩耦联
兴奋-收缩耦联:指将肌细胞电兴奋和机械收缩联系起来的中介过程。当动作电位通过横管膜传向肌细胞深处,终未池膜上的 Ca2+通道开放,Ca2+顺浓差流入肌浆使肌浆 Ca2+浓度比安静时增高 100 倍之多。Ca2+触发肌丝滑行,是兴奋-收缩联中的关键因子由横管及其两旁的终末池所形成的三联管是兴奋-收缩耦联的关键结构。目前认为。它至少包括三个主要步骤: 1.电兴奋通过横管系统传向肌细胞的深处,2.三联管结构处的信息传速,3.肌浆网(即纵管系统)对 Ca 离子释放和再聚积。横管系统对正常肌细胞的兴奋-收缩联是十分必要的。
耦联的步骤:电兴奋经横管膜传向细胞深处→激活的 L 型通道通过变构作用(骨骼肌)或内流的 Ca2*(心肌)激活连接肌质网膜上的 Ca释放通道→Ca释放入胞质致胞质内 →Ca浓度升高→Ca2+与肌钙蛋白结合→肌肉收缩。
胞质内 Ca2浓度开高的同时,激活纵行肌质网膜上的钙泵,钙泵将胞质中的 Ca回收入肌质网,胞质中的 Ca浓度下降,肌肉舒张。
影响横纹肌收缩效能的因素
1.等长收缩(isometric contraction): 肌肉收缩时长度保持不变而只有张力的增加。
2.等张收缩(isotonic contraction):肌肉收缩时长度缩短,但张力保持不变。
1.前负荷(初长度):指肌肉收缩前所承受的负荷。前负荷决定了肌肉在收缩前的长度,即肌肉的初长度长度-张力曲线是反映初长度与收缩张力的关系曲线,这种关系表明在一定范围内,肌肉产生的张力随初长度的加大而增大。当产生的张力达最大时的初长度为最适初长度,此时粗、细肌丝处于最理想的重叠,起作用的横桥数达最大。肌肉收缩存在一个最适初长度(optimal initial length),即产生最大收缩张力的初长度。肌肉初长度对收缩张力的影响与肌节长度的变化有关,在整体情况下,肌肉一般都处于最适初长度状态,以利于产生最大的收缩张力。


2.后负荷:肌肉在收缩过程中所承受的负荷。张力-速度曲线:表明肌肉处于最适前负荷时,在不同后负荷下肌肉收缩产生的张力和缩短的速度,张力与速度呈反变关系。
后负荷过大(大于最大张力)时,只产生张力,无长度缩短(等长收缩):后负荷过小(理论上为零)时,缩短速度达最大但无功输出。
3.肌肉收缩能力(contraility): 指与负荷无关的决定肌肉收缩效能的肌肉本身的内在特性。肌肉收缩能力提高,收缩时产生张力的大小、肌肉缩短的程度,以及产生张力或肌肉缩短的速度均提高,表现为长度-张力曲线上移和张力-速度曲线向右上方移动;肌肉收缩能力降低时则发生相反的改变。
4.收缩的总和:通过收缩的总和,骨骼肌可快速调节其收缩强度,而心肌则不会发生收缩的总和。含运动单位数量的总和与频率效应的总和。
(1)运动单位数量的总和。
(2)频率效应的总和:当骨骼肌受到一次短促刺激时,可发生一次动作电位,随后出现一次收缩和舒张,这种形式的收缩称为单收缩 (twitch)。
当骨骼肌受到频率较高的连续刺激时,后一刺激总是落在前一刺激引起的肌肉收缩的舒张期,肌肉呈现锯齿状收缩波形,称为不完全性强直收缩(incomplete tetanus)。
当骨骼肌受到高频率的连续刺激时,后一刺激总是落在前一刺激引起的肌肉收缩的收缩期,肌肉将处于完全的收缩状态,看不出舒张期痕迹,称为完全性强直收缩(通常所说的强直收缩)

神经肌肉接头(neuromuscular joint,NMJ)是位于神经系统末梢的化学突触,由运动神经元、肌肉纤维和神经膜细胞构成,神经递质为乙酰胆碱。
神经动作电位引起电压调控→钙离子通道开放→钙离子进入神经末梢→细胞膜突触泡融化→释放乙酰胆碱→激活乙酰胆碱受体
乙酰胆碱循环:扩散入突触间隙的乙酰胆碱会被乙酰胆碱酯酶分解为胆碱和乙酰辅酶A,循环合成乙酰胆碱。
神经肌肉阻滞剂:是指任何一种作用于神经肌肉接头,导致横纹肌对来自躯体运动神经的冲动不产生反应的物质。

去极化阻滞剂:作用机制:降低突触后膜跨膜电位,引起突触后膜部分去极化,这种 部分去极化的程度不足以触发动作电位,产生 N-M 传导阻滞。不能被抗胆碱酯酶药物拮抗。
特点:首次静注后肌松前有肌纤维成束收缩(肌颤);其肌松作用可被非去极化阻滞剂削弱;反复间断使用后,其阻滞性质由去极化阻滞变为非去极化阻滞;有快速耐受性。
1.琥珀胆碱:0.8-1mg/Kg静脉注射后经血浆和肝脏的假性胆碱酯酶快速水解为琥珀酰单胆碱而迅速起效、作用强和时效短等优点,为超短效去极化神经肌肉阻滞剂。不良反应包括:重症肌无力、心律失常、高钾血症、肌纤维成束收缩、眼内压升高、术后肌痛、颅内压升高、恶性高热
非去极化阻滞剂:作用机制:与乙酰胆碱竞争受体结合,导致乙酰胆碱无法结合足够的位点产生动作电位,导致N-M 传导阻滞。特点:肌松前无肌纤维成束收缩;抗胆碱酯酶药能拮抗该药作用;去极化肌松药可拮抗其作用。无神经节阻断作用。
1.泮库溴铵:重复用药会出现蓄积现象,时效延长。主要经肝脏、肾脏代谢。临床剂量时不释放组胺,不导致低血压;但抗迷走神经可致心率增快、血压升高和心排出量增加,因此高血压、心动过速及冠心病患者应避免使用。
2.维库溴铵:中效非去极化神经肌肉阻滞剂,是泮库溴铵的衍生物,起效增快、药效增强。不抗迷走神经,对心血管影响极小。可能产生心动过缓、心搏骤停;3.筒箭毒碱(现已少用该药);
复合应用:去极化和非去极化神经肌肉阻滞剂合用时其作用是相互拮抗
- 全麻诱导过程中,可在使用琥珀胆碱前数分钟先静注小量的非去极化神经肌肉阻滞剂,减轻琥珀胆碱的不良反应。如肌纤维成束收缩。
- 全麻诱导时用琥珀胆碱行气管插管,然后用非去极化维持肌松作用,前者可增强后者的肌松作用,引起异常深的肌松作用。
- 术中使用非去极化神经肌肉阻滞剂,快结束手术时避免应用琥珀胆碱,以免延长肌松时间,导致恢复状况难料。
不良反应:1.神经肌肉阻滞剂对自主神经系统的兴奋或抑制、组胺释放以及去极化阻滞剂引起的血钾升高,是这类药物引起心血管不良反应的常见原因;
2.组胺释放还可能引起支气管痉挛等类过敏反应。
3.使用去极化阻滞剂后可能引起术后肌痛以及胃内压、眼压和颅内压增高,还可能引起肌球蛋白尿和恶性高热。
神经肌肉阻滞剂的药效动力学
- 肌纤维接头后膜受体被阻断75%以上,肌颤的张力才开始减弱。2.受体被阻断95%左右时,肌颤才会完全抑制。

- 起效时间:给药至产生最大肌松效应的时间
- 临床时效:给药至肌颤恢复25%之间的时间
- 恢复指数:肌颤由25%恢复至75%之间的时效
- 总时效:给药至肌颤恢复95%之间的时间
-效价强度(ED95):在N2O、巴比妥类药和阿片类药物平衡麻醉下肌松药抑制单刺激肌颤95%的药量。
吸收:1.口服无效:少量吸收进入门静脉后被肝吸收且迅速从尿排出。2.肌肉注射不规则:仅为静脉注射的30%-50%;3.静脉注射效果好:血浆浓度升高快
初始分布容积(V1):分布到血供丰富的器官或组织的容积
稳态分布容积(Vdss):血液与组织液之间阻滞剂浓度取得平衡时的容积
大部分神经肌肉阻滞剂由肝、胆汁或肾消除,个别由酯酶分解消除。
胆碱酯酶分为真性和假性胆碱酯酶。
前者主要存在于胆碱能神经末梢突触间隙,对于生理浓度的Ach作用最强;后者广泛存在于神经胶质细胞、血浆、肝、肾、肠中,可水解Ach的和其他胆碱酯类,如琥珀胆碱。
神经肌肉阻滞剂在肾小管内不被重吸收。长效神经肌肉阻滞剂主要经肾排泄;
中效神经肌肉阻滞剂主要经胆汁排泄。
神经—肌肉接头(NMJ)疾病
肌肉疾病的临床症状(clinical findings):
1.肌无力;2.不耐受疲劳;3.肌肥大与假肥大;4.肌肉压痛与疼痛;5.肌肉萎缩
体征:弛缓性瘫痪——下运动神经元瘫
1.肌张力降低;2.腱反射减弱或消失;3.肌萎缩;4.无病理反射
神经源性:节段性,伴感觉障碍,反射改变,肌电图神经性
肌源性:非神经分布,肌酶升高,肌电图肌源性
神经—肌肉接头疾病:是指一组NMJ间传递功能障碍疾病。
肌肉疾病的机理:指骨骼肌(横纹肌)的疾病。肌肉是由许多纵向排列的肌纤维(细胞)组成
1.肌细胞膜电位异常:周期性麻痹
2.肌细胞结构病变:肌营养不良症
3.能量代谢障碍:线粒体肌病
一、重症肌无力:是一种神经-肌肉接头(NMJ)传递功能障碍的获得性自身免疫性疾病。病变主要累及NMJ突触后膜上乙酰胆碱受体,骨骼肌的病态疲劳。表现为部分或全身肌肉的无力,活动后加重,经休息和胆碱酯酶抑制剂治疗后减轻。
病因及发病机制:1.发病多认为是与胸腺的病毒感染有关,遗传为内因,感染为主要外因。2.80-90%血清中有AChR抗体(五聚体IgG,10%IgM)病例
3.常合并其他自身免疫性性疾病:甲亢等
病理:80%MG患者胸腺有增殖;10%有淋巴上皮细胞型胸腺瘤;N-M接头处、后膜的皱褶减少,间隙增宽。IgG-C3-AChR沉浸
临床表现:
1、女>男,约3﹕2,可有诱因
2、起病隐匿:缓解复发,数年-数十年。
首发多为眼外肌的麻痹。常表现为眼睑下垂,复视,其次其他及四肢肌肉。
3、受累肌肉呈病态疲劳,晨轻暮重。呼吸肌与膈肌可受累,一般平滑肌与膀胱不受累。
4、胆碱酯酶抑制剂有效(标志)
5、重症肌无力危象:呼吸肌受累时出现咳嗽无力甚至呼吸困难,以致不能继续换气功能。是致死的主要原因。多有诱因,心肌受累可猝死。
肌群受累的顺序:眼外肌—四肢—球麻痹—最后呼吸肌
分三种:
(1)肌无力危象myasthenic crisis:最常见,抗胆碱脂酶药量不足,腾喜龙可减轻症状。
(2)胆碱能危象cholinergic crisis:少见,抗胆碱脂酶药过量,腾喜龙可加重症状。
(3)反拗危象brittle crisis:抗胆碱脂酶药不敏感,腾喜龙无反应。
措施:早期病情无好转,应立即气管插管或切开。
病死率15-50%。用人工呼吸机辅助通气,应保证无菌操作,雾化吸入保证呼吸道通畅。
停用抗胆碱酯酶药物减少分泌物。选用有效,无阻滞作用的抗菌素。激素,丙球;血浆置换。
—–
重症肌无力治疗:抗胆碱脂酶药物:溴吡斯的明:不宜长期单一应用、中等剂量。
避免使用:肌松剂 :安定
病因治疗:(1)肾上腺皮质类固醇类(2)免疫抑制剂(3)血浆置换(4)免疫球蛋白 ;(5) 胸腺切除/放疗
进行性肌营养不良(PMD) :是一组遗传性肌肉变性病,临床以缓慢进行性加重的对称性肌无力和肌萎缩为特征,可以累及肢体和头面部肌肉,少数可累及心肌。无感觉障碍。
一、假肥大型:只导致Dys(抗肌萎缩蛋白)减少—Becker (BMB);破坏了原来结构—移码,不能生成Dys或极少—Duchenne (DMD).
Duchenne型肌营养不良症(DMD):(1) 属X性连锁隐性遗传性肌病,患者几乎均为男性。女性为携带者。(2)多在3-5岁前隐袭起病骨盆带肌肉无力。跌倒,(3)鸭步、Gowers征、翼状肩胛、双腓肠肌假性肥大。(4)多伴有心肌损害,预后极差。
(5)EMG呈典型肌源性损害,CK升高50倍,尿中肌酸升高,肌酐降低
Becker型肌营养不良:具有DMD必有的特征,发病年龄较晚,病情进展较慢,预后较佳。
肌电图 ,MR变性肌肉:虫蚀现象,肌肉活检
1、支持治疗 2、药物治疗 3、基因治疗:成肌细胞移植,目前最有效。
二、周期性瘫痪:概念:是以反复发作的突发的骨骼肌弛缓性瘫痪或麻痹为特征的一组疾病,发病时大多伴有血钾含量的改变。发作间期肌力正常。
常染色体显性遗传的钙通道病
离子通道病:离子通道功能异常,侵犯神经和肌肉系统,HoPP-1q32编码二氢吡啶受体基因突变所致。

电镜提示肌浆网空泡化。
临床表现
1、青壮年,男>女 ,随年龄增长发作减少。
2、诱因:饱餐、酗酒、过劳、寒冷、胰岛素,肾上腺素等。
3、晨起发病,双下肢始,延及上肢。软瘫近端重,偶有肌肉酸痛。6h-1w,频率不定。
4、呼吸肌与膈肌可受累,一般平滑肌与膀胱不受累。
5、可以伴发甲亢:我国多见,病情无相关性:查T3 T4 TSH常见心律失常,肾上腺素试验。
6、发作期血钾<3.5mmol/L,甚至1-2mmol/L,EKG可有低血钾表现 :U波、P-R,Q-T延长、S-T段低平、室早。
诊断:临床表现,体征,发作时低血钾,补钾及醋氮酰胺有效。
治疗:
发作期:①发作期口服较大量的10%氯化钾或枸橼酸钾: 20-50ml,10g/24h ,不主张静脉补钾。②重症10%氯化钾10-15ml/500ml静滴,并口服。
预防:避免诱因,积极治疗甲亢等。

(✔)第二十二章 皮肤性病学总论(学时 6学时)
皮肤的组织结构(2学时)
掌握:
- 皮肤的分层与功能。/2.表皮的结构。
3.表皮各层细胞(角质生成细胞)的结构特点和角化过程。
熟悉:
1.非角质生成细胞(黑素细胞、郎格罕斯细胞和梅克尔细胞)的结构和功能。
2.真皮的结构。
皮肤性病学总论(4学时)
掌握:
1.皮肤性病学的定义和范畴。
2.各种皮肤损害特征,原发性损害和继发性损害的诊断意义。
3.皮肤性病常用的辅助检查方法及其诊疗意义。
4.皮肤病的一般诊断步骤和方法。
5.外用药物剂型、主要基质及组成、作用、适应症。
6.外用药治疗原则。
熟悉:1.皮肤科病历书写要求和诊断思维。/2.皮肤病常用的内用药物。
3.皮肤病外用药的分类、性能。
重点:表皮各层细胞(角质生成细胞)的光镜结构特点和角化过程。
难点:表皮各层细胞(角质生成细胞)的电镜结构特点。
表皮(为角化的复层扁平上皮):1.角质形成细胞(大多数):能合成蛋白质;2.非角质形成细胞:黑色素,朗格汉斯,梅克尔(神经末梢前面的细胞)细胞。
分层和角化:基底层,棘层,颗粒层,透明层和角质层:
1.基底层:单层矮柱状,胞质强嗜碱性,核卵圆形,常有分裂现象;电镜下富含核糖体,角蛋白丝,细胞间有桥粒
2.棘层:4-10层多边形细胞组成,侧有许多细小的棘突,胞质嗜碱性
3.颗粒层:3-5层,梭形,粗大的嗜碱性颗粒(透明角质颗粒)
4.透明层:数层,细胞扁平,呈透明均质状,细胞界限不清,强嗜酸性
5.角质层:多层,呈红色均质状(完全角化的死亡细胞)
(二)非角质形成细胞
1.黑色素细胞(melanocyte):散在于表皮基底细胞间,功能:合成黑色素
LM:大而有突起的细胞(特殊染色可显示)。
EM: 核糖体、粗面内质网、高尔基体丰富,含特征性黑素体
2.郎格汉斯细胞:散在于棘层浅部,功能:抗原呈递细胞,参与皮肤免疫功能。
LM:有树突状突起。
EM:核分叶,无角蛋白丝和桥粒,有特殊形状的伯贝克颗粒(Birbeck granule)。
3.梅克尔细胞(Merkel cell): 位于基底层,量少:为短指状突起细胞,细胞基底部有神经末梢,与感受触觉和机械刺激有关。


真皮(dermis):由乳头层和网织层构成.
1.乳头层: 薄,与表皮相合,为较致密的结缔组织,富含毛细血管。
2.网织层: 厚,位于乳头层深面,为致密结缔组织,胶原纤维束交织成网,并含有许多弹性纤维、皮肤附属器。
3.皮下组织:位于真皮的下方,解剖学称其为浅筋膜,由疏松结缔组织构成,含较多脂肪组织是其主要组织结构特点。
皮肤附属器:包括汗腺、毛发、皮脂腺和指甲,
1.毛发(hair): 包括毛干、毛根、毛囊、毛球和立毛肌。
毛干:皮肤外,由排列规则的角化上皮细胞组成,细胞角化,富含黑色素
毛根:皮肤内,组成毛干。毛囊:上皮性鞘:由表皮相延续。
结缔组织性鞘:由致密结缔组织构成。毛球:在毛囊末端,为毛发的生长点。其基层的上皮细胞为增殖能力强的毛母质细胞,毛乳头:为突入毛球内的结缔组织,富含血管,供给毛发营养。立毛肌: 为平滑肌束,连接毛囊和真皮。
2.皮脂腺 (泡状腺): 为全分泌腺。由外周一层较小的干细胞和中央较大的皮脂细胞组成。其脂性分泌物为皮脂,腺开口于毛囊。
3.汗腺(单曲管状腺)(sweat gland): 分外泌汗腺和顶泌汗腺 (大汗腺)。分泌部: 外泌汗腺由单层立方上皮围成,分泌水、K和尿素等(汗液);顶泌汗腺分泌含蛋白质、脂类及碳水化合物的浓稠分泌物,被细菌分解后能形成特殊气味,形成狐臭。导管部:由两层立方上皮细胞围成,开口于皮肤。
4.指(趾)甲:是由覆盖在手指和脚趾末节背面起保护作用的角质片。外露部分称甲体,由多层连接牢固的角化细胞构成。甲体下为甲床,由未角化复层扁平上皮和真皮组成,富含毛细血管甲体近侧埋于皮内的部分为甲根,是甲的生长区。甲根基底层细胞称甲母质,甲母质细胞增生导致甲体向远端生长。甲体两侧和近侧的皮肤为甲袋,两侧甲袋与甲体之间的裂隙称甲沟。

功能:屏障,吸收,感觉,分泌排泄,体温调节,代谢,免疫
皮肤性病学的定义和范畴
皮肤性病学是涉及面广、系统性强的临床二级学科,既具有相对独立的专业知识体系,又涵盖其他各临床学科,是临床医学的重要组成部分。
皮肤性病学包括皮肤病学(dermatology)和性病学(venereology)。皮肤病学是研究皮肤及其相关疾病的科学,其内容包括皮肤、皮下组织及皮肤附属器相关疾病的病因、发病机制、临床表现、诊断、治疗及预防等;性病学是研究性传播疾病的科学,其内容包括各种性传播疾病的致病微生物、发病机制、传播途径、临床表现、诊断、治疗及预防等。皮肤发医疗和美容。
表皮通过时间,表皮更替时间(正常):基底层-颗粒层约等于14天,再到角质层表面并脱离需要14天,共约28天。
皮肤性病的临床表现及诊断
(一)皮肤性病的临床表现
1.症状:患者主观感受到的不适感或其他影响生活质量的感觉称为症状,包括痒、疼痛烧灼感、麻木、感觉分离和蚁行感等局部症状,也包括畏寒发热、乏力、食欲不振和关节痛等、全身症状,与皮肤性病的种类、病情严重程度及患者个体差异有关。
瘙痒是皮肤性病患者最常见的症状,可轻可重,时间上可为持续性、阵发性或间断性,范围上可为局限性或泛发性。常见于荨麻疹、慢性单纯性苔藓、湿疹、疥疮等,一些系统性疾病如恶性淋巴瘤、糖尿病等也可伴发癌痒。
疼痛常见于带状疱疹、皮肤化脓性感染、结节性红斑、淋病和生殖器痕疹等,疼痛性质可为刀割样、针刺烧 灼和电击等,范围多为患处局部; 接触性皮炎引起的疼痛常伴刀割样、针刺烧为和电击等,此外,麻木感和觉分离可见于风患者;蚁行面部糖皮质激素性炎等。
2.体征:指可用视觉或触检查出来的客观病变,其中皮肤损害(简称)是指可用视觉或触检查出来的客观病变, 是对各种皮肤性进行诊断和鉴别依据。根据发生时间及机制皮损可分为原发性和继两大类,但有时二者不能截然分开,如脓疮疮的原发性皮损为疤,但继发于丘疹或水的脓则属性皮损。
重点:简述丘疹和结节的异同(十八种基本损害)
(1)原发性皮损 (primary lesion): 由皮肤性病的组织病理变化直接产生的皮肤损害,对皮肤性病的诊断和鉴别诊断具有特别重要的价值。
①斑疹(macule): 皮肤黏膜的局限性颜色改变。皮损与周围皮肤平齐,无隆起或凹陷,大小可不一,形状规则,直径一般大于 1cm 时称斑片 ( patch)
②斑块(plaque)为直径大于 1cm 的隆起性、浅表性皮损,顶端较扁平,多为丘疹扩大或融合而成。见于银屑病等。
③丘疹 (papule):为局限性、充实性、浅表性皮损,隆起于皮面,直径小于1cm,可由表皮或真皮浅层细胞增殖(如银屑病)、代谢产物聚积(如皮肤淀粉样变)或炎细胞润(如湿疹)引起。丘疹表面可光滑或粗糙,可呈扁平(如扁平痴)、圆形(如传染性软)、乳头状(如寻常疣),颜色可呈紫红色 (如扁平苔藓)、淡黄色(如黄色瘤)或黑褐色(如色素痣)。
形态介于斑疹与丘疹之间的稍隆起皮损称斑丘疹 : 丘顶部有小水疱时称丘疱疹;丘疹顶部有小脓时称丘脓疹(papulopustule)。
④风团 (wheal) 为暂时性、隆起性皮损,由真皮乳头层血管扩张、血浆渗出所致。皮损一般大小不一,形态不规则,可为红色或白色,周围常有红晕:皮损发生快,消退亦快(24h),且消退后不留任何痕迹。见于荨麻疹等。
⑤水疱(vesicle)和大疱 (bulla) 水疱为高出皮面、内含液体的局限性、腔隙性皮损,可直接发生,亦可由丘疹转变而来,直径一般小于 lcm,,大于1 cm 者称大疱。水疱可位于角质层下(如白痱)、表皮内(如寻常型天疱疮)或表皮下(如大疱性类天疱疮:源于角质层桥粒的破坏,内天疱疮为半桥粒破坏),依据位置不同,疱壁可呈紧张或松弛。内容物含血液者称血疱。
尼氏征:1.推:水疱移动,2.压:水疱扩散,3.擦:表皮剥离,4.拉
⑥脓疱(pustule)为高出皮面、内含脓液的局限性、腔隙性皮损,可由细菌(如脓疱疮)或非感染性炎症(如脓疱疮型银屑病)引起。脓疱的疱液一般较浑浊,稀薄或粘稠,皮损周围常有红晕。
⑦结节(nodule)为局限性、实质性、深在性皮损,位置可深达真皮或皮下,可由炎性浸润(如结节性红斑)或代谢产物沉积(如结节性黄色瘤)所致。皮损呈圆形或椭圆形,可隆起于皮面,亦可不隆起,需触诊方可查出,触之有一定硬度或浸润感。结节可吸收消退,亦可破溃成溃疡,愈后形成癫痕。
⑧囊肿(cyst)为含有液体、半固体粘物或细胞成分的囊性皮损,一般位于真皮或更深位置,可隆起于皮面或仅可触及。外观呈圆形或椭圆形,触之有弹性,大小不等。见于皮脂腺囊肿毛鞘囊肿、皮样囊肿等。
注意区别:1.斑疹,斑片,斑块:直径,颜色,隆起
2.丘疹,结节:皮下深入程度
3.结节和囊肿:弹性
(2) 继发性皮损:由原发性皮损自然演变而来,或因搔抓、治疗不当引起
①糜烂(erosion):局限性表皮或黏膜上皮缺损形成的湿润创面,常由水疤、脓疤破裂或漫渍处表皮脱落所致。皮损大小、形态各异,基底部较清洁。因损害较表浅,基底层细胞仍存在,故糜烂愈合较快且愈后不留癫痕。
②溃疡(Ulcer):局限性皮肤或黏膜缺损形成的创面,可深达真皮或更深位置,可由感染放射性损伤、皮肤癌等引起。皮损的大小、形态各异,其基底部常有坏死组织附着,边缘可陡直倾斜或高于周围皮肤。因损害常破坏基底层细胞,故溃疡愈合较慢且愈后可留有瘢痕。
③鳞屑 (scale): 已经脱落或即将脱落的角质层细胞,常由角化过度、角化不全演变而来。鳞屑的大小、厚薄、形态不一,可呈糠秕状(如花斑癣)、蛎壳状 (如银屑病) 或大片状(如剥脱性皮炎)。
④浸渍(maceration): 皮肤角质层含水量增多导致的表皮强度减弱,常见于长时间浸水或处于潮湿状态下(如湿敷较久、指趾缝等皱褶部位经常潮湿)。皮损质地变软、颜色变白,表面可起皱,摩擦后表皮易脱落而露出糜烂面,容易继发感染。
⑤裂隙 (fissure): 也称皲裂,为线状的皮肤裂口,可深达真皮,常因皮肤炎症、浸润增厚或角化导致皮肤弹性减弱后牵拉引起,好发于掌、指趾、口角等。
⑥瘢痕(scar):真皮或深部组织缺损或破坏后,由新生结缔组织增生修复而成。皮损光滑无弹性,表面无皮纹和毛发。按其与周围正常皮肤的高低关系可分为姜缩性癫痕、平滑性癫痕和增生性癫痕。
⑦萎缩 (atrophy): 为皮肤的退行性变化,可发生于表皮、真皮及皮下组织,由表皮细胞数目或真皮和皮下的结缔组织减少所致。表皮萎缩常表现为皮肤变薄,半透明,表面有细皱纹呈羊皮纸样,正常皮沟变浅或消失:真皮萎缩表现为局部皮肤凹陷,表皮纹理可正常,毛发可能变细或消失:皮下组织萎缩则表现为明显凹陷。
⑧痂(crust): 常附着于有渗液的创面上,由渗液与脱落组织、药物等混合干后凝结而成痂可薄可厚,质地柔软或脆硬,并可与皮肤粘连。根据成分的不同,痴可呈黄色 (浆液性)、黄绿色(脓性)、暗红或黑褐色(血性)。
⑨抓痕 (excoriation): 线状或点状的表皮或深达真皮浅层的剥脱性缺损,常由搔抓或摩擦所致。皮损表面可有渗出、脱屑或血痴,若损伤较浅则愈后不留痕。
⑩苔藓样变(lichenification): 也称苔藓化,即皮肤局限性粗糙增厚,常由搔抓、摩擦及皮肤慢性炎症所致。表现为皮峭隆起,皮沟加深,皮损界限清楚。见于慢性瘙痒性皮肤病(如慢性单纯性苔藓、慢性湿疹等)。
皮肤性病的诊断
本章节主要在见习中讲解。
皮肤病诊断依据详细的病史询问、细致的体格检查、相关的辅助检查和检验,对收集的患者实验室检查等信息进行综合分析。信息综合分析二得出。收集患者信息时注意收集与鉴别诊断有关的患者信息
现病史: 患者发病至就诊时疾病的发生、发展及变化的全过程,注意有关鉴别诊断的信息
1.病史:一般资料,主诉,现病史,既往史;个人史;家族史:
2.体格检查:全面细致的体格检查,视、触为主,
检查皮肤时要求:①光线应充足,最好为自然光,其次日光灯,②室内温度应适宜;③应充分暴露皮损;④检查要全面;⑤检查时要全面细致
辅助检查-皮肤镜检查,滤过紫外线检查,
3.棘层松解征又称尼氏征 (Niolsky sign),是某些皮肤病发生层松解性水疱(如天疱疮时的触诊表现。可有四种阳性表现: ①手指推压水疱一侧,可使水疱沿推压方向移动;②手指轻压疱顶,液可向四周移动;③用力在外观正常皮肤上推擦,表皮即剥离;④牵扯已破损的水疱壁时,可见水疱以外的外观正常皮肤一同剥离。
4.其他特殊手段
(1)玻片压诊(diascopic examination):可用以简单区分出血和充血性皮损,玻片压迫皮损处至少15秒后,充血性红斑会消失而出血性红斑及色素斑不会消失。寻常狼疮皮损可出现特有的苹果酱颜色。
(2)鳞屑刮除法:可用以了解皮损的表面性质,如花斑癣轻刮后可出现糠秕样鳞屑,寻常型银屑病刮除鳞屑后可出现特征性薄膜现象和点状出血。
(3)皮肤划痕试验(dermatographic test): 在荨麻疹患者皮肤表面用钝器以适当压力划过,可能出现以下三联反应,称为皮肤划痕试验阳性:①划后 3~15 秒,在划过处出现红色线条,可能由真皮肥大细胞释放组胺引起毛细血管扩张所致;②15~45 秒后,在红色线条两侧出现红晕,此为神经轴索反应引起的小动脉扩张所致,麻风皮损处不发生这种反应;划③后 1~3 分钟,划过处出现隆起、苍白色风团状线条,可能是组胺、激肤等引起水肿所致。
5.皮肤组织病理学;6.其他皮肤性病常用实验室技术:(1)免疫病理检查(2) 病原微生物检查:真菌检查,端虫、疥虫等检查(3)变应原检测(4) 滤过紫外线(Wood 灯)(5)分子生物学技术;。7.新的检查技术:皮肤镜、皮肤 CT、皮肤B超等
皮肤性病的预防和治疗
包括外用药物治疗、内用药物治疗、物理治疗和皮肤外科治疗等。
(一)外用物-剂型
(1)溶液(solution) 是药物的水溶液。具有清洁、收敛作用,主要用于湿敷。湿敷有减轻充血水肿和清除分泌物及痴皮等作用,如溶液中含有抗菌药物还可发挥抗菌、消炎作用,主要用于急性皮炎湿疹类疾病。常用的有3%硼酸溶液、0.05%~0.1%黄连素溶液、1:8000高锰酸钾溶液0.2%~0.5%醋酸铝溶液、0.1%硫酸铜溶液等。
(2)酉剂和剂(tincture and spiritus)是药物的酒精溶液或浸液,剂是非挥发性药物的酒精溶液,剂是挥发性药物的酒精溶液。剂和醋剂外用于皮肤后,酒精迅速挥发,将其中所溶解的药物均匀地分布于皮肤表面,发挥其作用。常用的有2.5%碘、复方樟脑醋等。
(3)粉剂(powder)有干燥、保护和散热作用。主要用于急性皮炎无糜烂和渗出的皮损、特别适用于间擦部位。常用的有滑石粉、氧化锌粉、炉甘石粉等。
(4)洗剂(lotion)也称振荡剂,是粉剂(30%~50%) 与水的混合物,二者互不相溶。有止痒、散热、干燥及保护作用。常用的有炉甘石洗剂、复方硫磺洗剂等。
(5)油剂(oi)用植物油溶解药物或与药物混合。有清洁、保护和润滑作用,主要用于亚急性皮炎和湿疹。常用的有25%~40%氧化锌油、10%樟脑油等。
(6)乳剂emulsion)是油和水经乳化而成的剂型。有两种类型,一种为油包水 (W/0),为连续相有轻度油腻感,主要用于千燥皮肤或在寒冷季节的冬季使用:另一种为水包油(0/w)水是连续相,也称为霜剂(crem),由于水是连续相,因而容易洗去,适用于油性皮肤。水性和脂溶性药物均可配成乳剂,具有保护、润泽作用,渗透性较好,主要用于亚急性、慢性皮然
(7)软膏 (ointment)是用凡林、单软(植物油加蜂蜡)或动物脂肪等作为基质的剂型具有保护创面、防止干裂的作用,软膏渗透性较乳剂更好,其中加入不同药物可发挥不同治疗“用,主要用于慢性湿疹、慢性单纯性苔藓等疾病,由于软膏可阻止水分蒸发,不利于散热,因不宜用于急性皮炎、湿疹的渗出期等。
(8)糊剂(paste) 是含有25%~50%固体粉末成分的软膏。作用与软膏类似,因其含有较粉剂,因此有一定吸水和收敛作用,多用于有轻度渗出的亚急性皮炎湿疹等,毛发部位不宜用糊剂。
(9)硬膏 (plaster)由脂肪酸盐、橡胶、树脂等组成的半固体基质贴附于裱材料上(如布料纸料或有孔塑料薄膜)。硬膏可牢固地粘着于皮肤表面,作用持久,可阻止水分散失、软化皮肤和增强药物渗透性的作用。常用的有氧化锌硬膏、肤疾宁硬膏、剥甲硬膏等。
(10)涂膜剂(fm)将药物和成膜材料(如甲基纤维素纳、校丙基纤维素纳等)溶于挥发溶剂(如丙酮、乙醚、乙醇等)中制成。外用后溶剂迅速蒸发,在皮肤上形成一均匀薄膜,常用于治疗慢性皮炎,也可以用于职业病防护。
(11)凝胶(gel)是以有高分子化合物和有机溶剂如丙二醇、聚乙二醇为基质配成的外用药物凝胶外用后可形成一薄层,凉爽润滑,无刺激性,急、慢性皮炎均可使用。常用的有过氧化苯甲酷凝胶、阿达帕林凝胶等。
(12)气雾剂 (aerosol) 又称为喷雾剂 (spray),由药物与高分子成膜材料(如聚乙烯醇、缩丁醛)和液化气体(如氟利昂) 混合制成。喷涂后药物均匀分布于皮肤表面,可用于治疗急、慢性皮炎或感染性皮肤病。
(13)其他二甲基亚硕(dimethylsulfoxide,DMSO)可溶解多种水溶性和脂溶性药物,也称为万能溶媒,药物的DMSO剂型往往具有良好的透皮吸收性,外用疗效好。1%~5%氮酮(azone)溶液也具有良好的透皮吸收性,且无刺激性。
2.外用药物的治疗原则
(1)正确选用外用药物的种类应根据皮肤病的病因与发病机制等进行选择,如细菌性皮肤病宜选抗菌药物,真菌性皮肤病可选抗真菌药物,变态反应性疾病选择糖皮质激素或抗组胺药,猛痒者选用止痒剂,角化不全者选用角质促成剂,过度者选用角质剥脱剂等。
(2)正确选用外用药物的剂型应根据皮肤病的皮损特点进行选择,原则为:
①急性皮炎仅有斑、丘疹而无渗液时可选用粉剂或洗剂,炎症较重,糜烂、渗出较多时宜用溶液湿敷,有糜烂但渗出不多时则用糊剂:
②亚急性皮炎渗出不多者宜用糊剂或油剂,如无糜烂宜用乳剂或糊剂:
③慢性皮炎可选用乳剂、软膏、硬膏、剂、涂膜剂等;
④单纯痒无皮损者可选用乳剂、面剂等
内用药物:1.抗组胺药物;2.糖皮质激素;3.抗生素药物;4.抗病毒药;5.抗真菌药;6.维A酸类药物等等
物理治疗:1.电疗法;2.光疗法;3.微波疗法;4.冷冻疗法;5.水疗法;6.放射疗法
皮肤外科治疗
(✔)第二十三章 皮炎和湿疹(学时 2学时)
掌握:
1.接触性皮炎的临床表现。
2.湿疹的共同特征、各期湿疹的临床表现及急性湿疹与接触性皮炎、慢性湿疹与慢性单纯苔藓、手足湿疹与手足癣的鉴别。
3.各期湿疹外用治疗原则和方法。
熟悉:
1.接触性皮炎的病因与发病机制。
2.特应性皮炎的皮疹特点及治疗原则。
(四)重点和难点
1.接触性皮炎的分型和临床表现、原发性刺激和接触性致敏的鉴别;
2.特应性皮炎的临床表现、阶梯型治疗方案;湿疹的临床表现和鉴别诊断。
接触性皮炎
定义:接触某些外源性物质后在皮肤、粘膜接触部位发生的急性或慢性炎症反应
常见原发性刺激物:无机类:酸类;碱类;金属元素及其盐类(砷及砷盐)
有机类:酸类:甲酸、醋酸、石炭酸、水杨酸、乳酸等;碱类;有机溶剂。
发病机制
一、刺激性接触性皮炎:任何人接触均可发病;无一定潜伏期;皮损多局限于直接接触部位;停止接触后皮损可消退
二、变应性接触性皮炎
少数人发病,有一定潜伏期,首次接触后不发生反应,再次接触同样致敏物才发病
皮损往往呈广泛、对称性分布;易反复发作;斑贴试验阳性
急性接触性皮炎:起病急;多局限于接触部位;皮疹新鲜、多以明显的红斑、丘疹、水疱为主;自觉瘙痒或灼痛;可引起交叉过敏、多价过敏
亚急性和慢性接触性皮炎:轻度红斑,丘疹,境界模糊,长期有痂皮、鳞屑、苔癣样变,亚急性或慢性经过
特殊的接触性皮炎:尿布皮炎;漆性皮炎;化妆品皮炎;空气源性接触性皮炎

预防和治疗原则:
寻找病因,迅速脱离接触物并积极对症处理:1.系统药物;2.外用药物治疗
湿疹
定义:是由多种内、外因素引起的真皮浅层及表皮的炎症。急性期以丘疱疹为主,有渗出倾向,慢性期以苔藓样变为主,病情易反复发作
病因
内部因素:内分泌功能失调(月经紊乱、妊娠等);血液循环障碍(小腿静脉曲张等)
神经精神因素;慢性感染病灶(慢性胆囊炎、扁桃体炎等);遗传因素
外部因素 :食物 (鱼虾、牛羊肉等);吸入物 (花粉、屋尘螨等);生活环境 (日光、炎热、干燥等);动物皮毛;植物、化学物质(日常生活用品 )
临床表现
1.急性湿疹:皮疹表现:多形性,红斑基础上的丘疹、丘疱疹、糜烂,有渗出倾向,边界不清;好发部位:面、耳、手、足、前臂、小腿外露部位,常对称分布
自觉症状:瘙痒剧烈;继发感染可形成脓疱、脓液、脓痂
2.亚急性湿疹:急性湿疹炎症减轻或不适当处理后发展而来;皮疹表现:暗红色,红肿及渗出减轻,丘疹及少量丘疱疹,少许鳞屑及轻度浸润;瘙痒剧烈;可急性发作或发展为慢性湿疹;红肿、糜烂渗液减少,出现痂皮和鳞屑
3.慢性湿疹:急性亚急性湿疹迁延或轻微持续刺激;;皮疹表现:皮肤肥厚,粗糙,苔藓样变、色素减退或色素沉着;好发部位:手、足、小腿、肘窝、股部、乳房、外阴、肛门等处,对称分布;瘙痒
特殊类型的湿疹:手部湿疹;汗疱疹;乳房湿疹;外阴、阴囊和肛门湿疹;钱币状湿疹;自身敏感性皮炎;感染性湿疹样皮炎
诊断和鉴别诊断:依据:皮疹形态:急性期以丘疱疹为主,有渗出倾向,慢性期苔癣样变
多形性皮损;剧烈瘙痒;对称分布



预防和治疗:原则:避免可疑因素,注意饮食,避免过度烫洗
内用药物疗法 :(抗组胺类药物,交替使用,一般不使用激素)
第一代H1受体阻滞剂:赛庚定、扑尔敏
第二代H1受体阻滞剂:氯雷他定、咪唑斯汀、西替利嗪;;镇静药:安定
外用药物疗法:急性炎症性皮损:有糜烂但渗出不多时,可用霜剂;
亚急性炎症性皮损:渗出甚少者,用糊剂、乳剂
慢性炎症性皮损:可用软膏、硬膏、涂膜剂等,顽固性皮损可用糖皮质激素局部封包
特应性皮炎
婴儿期 主要发生在颊面部,典型皮损为急性湿疹样表现
儿童期 主要累及四肢屈侧或伸侧,其次为眼睑、颜面和颈部,典型皮损为亚急性湿疹样表现
青年成人期 好发于肘窝、腘窝、四肢、躯干,典型皮损慢性湿疹样表现,部分患者表现为泛发性干燥丘疹
诊断:根据本病各期的临床表现结合患者本人及家族中有遗传过敏史、嗜酸性粒细胞增高和血清IgE升高等特点。
国际标准(Williams诊断标准) :皮肤瘙痒加上以下标准中的三项或更多;2岁以前发病、屈侧皮肤受累史(包括肘窝、腘窝、踝前,眼周或颈周);有全身皮肤干燥史;个人史中有其他过敏性疾病或一级亲属中有过敏性疾病史;有可见的身体屈侧皮炎(4岁以下儿童包括颊部/前额和远端肢体湿疹)
度普利尤单抗(达必妥):治疗中重度AD:抗IL-4/IL-13共同受体的全人源单克隆抗体;快速改善瘙痒症状和皮损
(✔)第二十四章 药疹和荨麻疹(学时 2学时)
掌握:
1.药疹的临床类型、诊断要点、治疗及预防措施。
2.急慢性荨麻疹及特殊类型荨麻疹的临床特点、诊断与治疗。
熟悉:
1.药疹的病因及发病机制。/2.重症药疹的种类。
3.过敏性休克的诊断与抢救处理。/4.荨麻疹的定义、病因与发病机制。
(四)重点及难点
1.药物疹的分型、超敏反应型药疹的共同特征。
2.重型药疹的概念及处理原则。
3.药物疹的诊断依据及治疗原则。
4.荨麻疹的临床特点、诊断与治疗
药疹(定义):亦名药物性皮炎,属药物不良反应的一种,医源性,药物进入人体后引起的皮肤黏膜炎症反应 ;进入人体的途径:内服、注射、使用栓剂、外用或吸入等;严重者尚可累及机体的其它系统
病因:个体,遗传因素(过敏体质):某些酶的缺陷;机体病理或生理状态的影响 ;某些病毒感染:HIV HHV-6 EBV CMV;药物因素:绝大部分药物都可能导致药疹
抗生素:青霉素类抗生素、磺胺类、头孢菌素类;解热镇痛药:阿司匹林、对乙酰氨基酚等
镇静催眠及抗癫痫药;苯妥英钠、卡马西平;异种血清制剂及疫苗;各种生物制剂
其他:抗痛风药物、抗甲状腺功能药物等;中药、中成药
发病机理:
超敏反应机制:Ⅰ型(荨麻疹型药疹);Ⅱ型(紫癜型药疹);Ⅲ型(血管炎型药疹);Ⅳ型(剥脱性皮炎、麻疹型或湿疹型药疹);由未知类型超敏反应介导:如光敏性药疹、药物性红斑狼疮综合征等
超敏反应机制(共同特点):有一定的潜伏期:首次用药(4-20天);再次用药(数分钟至24小时内);只发生于少数过敏体质者服药者 ;无药理、毒理及剂量相关性;临床表现复杂,皮损形态各种各样,在高敏状态下可发生交叉过敏及多价过敏现象;糖皮质激素和抗组胺药物抗过敏治疗有效
非超敏反应机制:免疫效应途径的非免疫活化,蓄积作用:碘痤疮;参与药物代谢的酶缺陷或抑制:环氧化物水解酶缺陷(超敏反应综合征),麻疹型/猩红热型–最常见,大疱性–最严重
①固定型药疹:常由磺胺类、解热镇痛类、巴比妥类和四环素类引起,好发于口腔和外生殖器(部位相对固定),1个或多个。圆形或类圆形境界清楚水肿性暗紫红色斑疹,可自觉轻度瘙痒,一般无全身症状,消退并遗留持久的炎症后色素沉着,复发可增多,面积可扩大
②荨麻疹型药疹:超敏发应机制 or 非超敏反应机制;超敏:血清制品、青霉素;非超敏:阿司匹林NSAIDS;临床表现:似急性荨麻疹,但更潮红更久;可伴有血清病样症状;严重病例可并发过敏性休克
③麻疹型或猩红热型药疹:药疹中最常见的类型,又称为发疹型药疹;常由青霉素(尤其是半合成青霉素)、磺胺类、解热镇痛类、巴比妥类等引起;皮损多在首次用药一周内出发,发病突然瘙痒。可伴轻度发热等全身症状病程约1~2周,部分病人则可向重型药疹发展;
乏猩红热和麻疹其他特有症状;两种类型的皮损先后或同时发生缺
④多形红斑型药疹:多由磺胺类、解热镇痛类、巴比妥类引起,可分为轻型和重型
1.轻型多形红斑型药疹:对称分布,好发于四肢远端,常有发热和流感样前驱症状,典型皮损为指头至钱币大小、圆形或椭圆形水肿性红斑,境界清楚,边缘潮红,中心呈暗紫色,形如虹膜状(靶形),中央常出现水疱,自觉瘙痒
2.重症多形红斑型药疹:发病前有较重的前驱症状;大疱、糜烂及渗出;黏膜受累严重,出现剧烈疼痛;可伴严重的系统损害;病情凶险,可导致患者死亡
Stevens-Johnson综合征(SJS):粘膜损害,泛发性紫癜性斑疹或扁平的非典型靶样皮疹,表皮剥脱面<10% BSA
⑤大疱性表皮松解型药疹-亦称中毒性表皮坏死松解(TEN)
药疹中最严重的类型;磺胺类、解热镇痛类、抗生素、巴比妥类;起病急骤,可由其他类型药疹转变;并可伴有显著内脏损害,死亡率高
TEN皮损特点:弥漫性紫红或暗红斑片且迅速波及全身;松弛性水疱和表皮松解;尼氏征阳性;糜烂,大量渗出,如烫伤样外观;皮损触痛明显;口腔、眼、呼吸道、胃肠道黏膜累及。

⑥剥脱性皮炎型药疹:常由磺胺类、巴比妥类、抗癫痫药、解热镇痛类、抗生素等引起
多为长期用药后发生;发病前先有全身不适、发热等前驱症状;全身症状明显,表浅淋巴结常肿大;病程较长,可因全身衰竭或继发感染死亡
临床表现:麻疹样或治疗不当所致,亦可自行泛发;全身弥漫性潮红、肿胀,面部及手足重;可伴水疱、糜烂和渗出,特异性臭味;2~3周后皮肤红肿渐消退,全身出现大量鳞片状或落叶状脱屑,掌跖部则呈手套或袜套状剥脱;口腔糜烂、进食困难、眼结膜充血和畏光
重型药疹:重症多形红斑型药疹;大疱性表皮松解型药疹;剥脱性皮炎型药疹
药物超敏反应综合征-亦称伴发嗜酸性粒细胞增多及系统症状的药疹(DRESS)
常于用药后2~6周内发生,常发生于环氧化物水解酶缺陷的个体;主要是抗癫痫药和磺胺类,也可由别嘌醇、米诺环素、钙通道抑制剂及雷尼替丁等引起
临床表现:发病突然;发热、皮损、淋巴结肿大、血液学异常及器官受累;早期麻疹样皮损—剥脱性皮炎样皮损,因毛囊水肿明显而导致皮损浸润变硬;面部水肿;死亡率在10%左右
湿疹型药疹:局部过敏后再接触;慢性者似慢性湿疹;伴有不同程度瘙痒;病程相对较长
紫癜型药疹:药物引起过敏性紫癜抗生素、巴比妥类、利尿剂等;双下肢对称分布;瘀点或瘀斑;可有关节肿痛、腹痛、血尿、便血等表现
痤疮型药疹:长期用药;碘、溴、糖皮质激素;痤疮样皮损;进展缓慢;一般无全身症状
光敏性药疹:氯丙嗪(冬眠灵)、磺胺类、四环素类、灰黄霉素、补骨脂、喹诺酮类、吩噻嗪类及避孕药等;光毒反应性药疹;光超敏反应性药疹
药物超敏反应综合征的诊断根据为:药疹;血液学异常;系统受累//同时符合以上三条。
治疗原则:
停用致敏药物,慎用结构相似,加速药物排泄,抗过敏治疗,防并发症,支持治疗
及早足量使用糖皮质激素;防治继发感染;加强支持疗法;加强护理及外用药物治疗
(✔)第二十五章 真菌性皮肤病(学时 2学时)
掌握:
1.头癣的临床特点、诊断及治疗。
2.体股癣的临床特点、诊断及治疗。
3.手足癣的临床特点、诊断及治疗。
4.甲真菌病的临床特点、诊断及治疗。
熟悉:
1.真菌的特性的临床特点及治疗。
2.花斑糠疹的病因、临床特点及治疗。
3.马拉色菌毛囊炎的病因、临床特点及治疗。
4.念珠菌病的病因、临床特点及治疗。
(四)重点及难点
头癣、手足癣、体股癣、甲真菌病的临床表现、治疗原则及鉴别诊断。
真菌:抵抗力强;耐紫外线和X射线;耐低温,不耐高温(煮沸消毒);甲醛、苯酚、碘酊、过氧乙酸等可迅速杀灭
根据侵犯深度不同分为
浅部真菌病(癣)——皮肤癣菌(dermatophyte);表皮癣菌属(epidermophyton);小孢子菌属(microsporum);毛癣菌属(trichophyton)
皮下真菌病:侵犯真皮、皮下组织和骨骼的真菌感染;;系统性真菌病
根据侵犯的部位不同分为头癣、体癣和股癣、手癣和足癣、甲癣
根据皮损形态和致病菌分为马拉色菌感染、念珠菌病

黄癣:俗称“瘌痢头”/“秃疮”;致病菌:许兰黄癣菌
典型损害:黄色痂,中央紧附头皮如碟形–黄癣痂;中心有毛发贯穿;有鼠尿样臭味;病发干燥无光泽;萎缩性瘢痕;永久性脱发
白癣:头癣中最常见;致病菌:小孢子菌(犬小孢子菌、石膏样小孢子菌、铁锈色小孢子菌);典型损害-母子斑;群集性红色小丘疹→圆形或椭圆形灰白色鳞屑性斑片
高位断发:距头皮 2~4 mm 处折断;病发根部有一白色菌鞘;皮损常呈卫星状分布(母子斑);一般青春期后可自愈,不留瘢痕,不造成永久性秃发
黑点癣:致病菌:毛癣菌(紫色毛癣菌、断发毛癣菌);典型损害;多数散在点状鳞屑性灰白色斑;低位断发:病发出头皮即折断,残根在毛囊口处呈黑点状;可留下点状瘢痕及局灶性脱发
脓癣:亲动物性皮肤癣菌的头皮严重感染;典型损害–毛囊性脓疱、脓肿;表面柔软,有波动感;可形成多个排脓小孔呈蜂窝状;耳后、颈部及枕后淋巴结肿大;永久性秃发和瘢痕
真菌直接镜检:
黄癣:发内链状菌丝和关节孢子,黄癣痂内厚壁孢子和鹿角状菌丝(永久性脱发)
白癣:发外型密集镶嵌状圆形孢子(菌鞘)
黑点癣:病发内成串链状孢子,孢子较大(断发、黑点、永久性脱发)
真菌培养:取病发或脓液;沙堡培养基;25℃培养
伍德氏灯检查 (滤过紫外线检查320-400nm)
黄癣:暗绿色荧光;;白癣:亮绿色荧光;;黑点癣:无荧光
原则 五字方针—剪、洗、涂、服、消;剪:每周剪一次头发,连续8周;洗:硫磺皂或 2% 酮康唑洗剂,1 次/日,连用8周;涂:2%碘酊或抗真菌剂 2 次/日,连用8周;服:伊曲康唑/特比萘芬;消:生活用具及理发工具等应煮沸消毒
体癣:发生在除头皮、毛发、掌跖和甲以外其他部位的皮肤癣菌感染
股癣 :特殊部位的体癣-指发生在腹股沟、会阴、肛周和臀部;病原体:红色T、须癣T、疣状T、犬M。;好发因素:潮湿多汗部位;肥胖;系统疾患;夏秋季节;多发于肥胖多汗者;单侧或对称分布;红斑、丘疹、水疱、鳞屑,呈弧形皮损,下缘显著,上缘并不清晰。一般不累及阴囊阴茎;由于部位特殊,皮疹炎症显著,瘙痒明显,发展迅速,可蔓延累及臀部/下腹部和腰部
皮疹特点:红色丘疹、水疱或丘疱疹;环状或多环状的鳞屑性红斑。中心消退,边缘扩展
自觉症状:瘙痒
诊断:典型皮疹;明显瘙痒;真菌镜检或培养;活动性损害边缘取材!
治疗:外用为主;坚持用药2周以上;持续至损害消退后1~2周;必要时可选用系统抗真菌药治疗
手癣:指间、手掌、掌侧;;足癣:趾间、足跖、足跟、足侧缘
病因:红色毛癣菌,50-90%
手癣–中医称“鹅掌风”,多因足癣传染。夏季水疱、鳞屑,冬季干燥、粗糙呈皲裂状。
足癣 俗称为“脚气”、“香港脚”,也叫运动员脚, 自觉瘙痒。足癣多双脚,手癣常单侧癣菌疹 癣菌及其代谢产物引起变态反应性皮疹,又称疹形反应。好发双手指侧、手掌或足底,偶发四肢或躯干。皮疹多形,有疱疹型、湿疹样型、丹毒样型。自觉瘙痒。
病程:慢性,常易继发感染或湿疹化;局部炎症反应强烈时可致癣菌疹
1.水疱鳞屑型:指(趾)间、掌心、足跖及足侧缘;针尖大小深在水疱可融合成多房性大疱,干涸后呈领圈状脱屑;瘙痒明显
2.鳞屑角化型(角化过度型):掌跖部、足跟;皮肤粗糙、增厚、脱屑、干燥
冬季皲裂,可伴疼痛;一般无明显瘙痒
3.浸渍糜烂型(间擦型):多见于手足多汗、浸水、长期穿胶靴者,夏季多发;皮肤浸渍发白,表面松软露出潮红糜烂面及渗液,常伴有裂隙;明显瘙痒
甲真菌病俗称“灰指甲”;各种真菌侵犯甲板或甲下组织所致病变
甲癣:特指由皮肤癣菌感染所致的甲病
分型:
白色浅表型(SWO):须癣T等;甲板浅层白色混浊,甲板失去光泽或稍凹凸不平;真菌甲板表面直接侵入,故外用药治疗有效
远端侧位甲下型(DLSO):最多见,须癣T、念珠菌及霉菌等;感染始于甲的前缘和(或)侧缘,表现为甲灰黄浑浊和增厚,甲板凹凸不平或破损,可见甲板与甲床分离
近端甲下型(PDO):由念珠菌(尤其是白念珠菌)感染所致,亦检出皮肤癣菌;感染从受损甲小皮进入甲板和甲床,表现为甲半月和甲根部白斑,粗糙肥厚、凹凸不平或破损
全甲毁损型(TDO):为上述几种类型发展而来;整个甲板破坏,全甲增厚粗糙变色,甲板部分或全部脱落,残留角化堆积物;多见于年长者或具易感因素者,治疗较困难
局部用药:表浅、轻型、单发的甲真菌病;一般要坚持3-6月;5%阿莫洛芬(amorolfine)甲涂剂;8%环吡酮指甲涂剂;霉克指甲药盒(含1%联苯苄唑和40%尿素)封包指甲,霉克霜外涂’手术拔甲
口服抗真菌药;伊曲康唑冲击疗法,指甲2-3疗程,趾甲3-4疗程;特比萘芬 250mg/d,指甲6~8周,趾甲12 ~ 16周
花斑糠疹:又称花斑癣、汗斑,是马拉色菌侵犯皮肤角质层引起的皮肤浅层感染。
生活环境、个人体质;应用糖皮质激素;马拉色菌(糠枇孢子菌)-属嗜脂酵母,孢子相转为菌丝并致病;慢性疾病
临床表现:面颈、前胸、肩背、上臂、腋窝等皮脂腺丰富部位;境界清楚的点状斑疹,褐色、淡褐色、淡红色、淡黄色或白色;逐渐增大,圆形或类圆形,邻近皮损可相互融合成不规则片状,表面覆以糠皮状鳞屑;一般无自觉症状,偶有轻度瘙痒;冬轻夏重
马拉色菌毛囊炎:促发因素;长期使用糖皮质激素或广谱抗生素
马拉色菌在毛囊内大量繁殖,其脂肪分解酶将毛囊部位的甘油三脂分解成游离脂肪酸,刺激毛囊口产生较多脱屑,堵塞,使皮脂储留,加之游离脂肪酸刺激致毛囊扩张破裂,导致毛囊内容物释放入周围组织而产生炎症反应
临床表现:炎性毛囊性丘疹、丘疱疹或小脓疱,半球形,周围有红晕
诊断:典型皮损+真菌镜检
念珠菌病:由念珠菌属的真菌引起;白念珠菌为主;累及皮肤、粘膜及内脏器官;
易感因素:皮肤黏膜屏障破坏;菌群失调;机体内环境变化;免疫功能不全
念珠菌性间擦疹:发生于间擦部位;局部潮红、浸渍、糜烂,界限清楚,边缘附着鳞屑
外周针头大小丘疹、丘疱疹、脓疱;瘙痒或疼痛
念珠菌性甲沟炎及甲念珠菌病:甲沟红肿;甲小皮消失,甲半月消失或下陷;甲板增厚,表面凹凸不平
慢性皮肤粘膜念珠菌病:自身免疫调节基因缺陷;多从幼年发病,常伴有内分泌、免疫功能异常;慢性、反复皮肤、甲、粘膜念珠菌感染;一般不侵犯实质性脏器;好发部位:面部、头皮及肢端;基本损害:肉芽增生性斑块或疣状结节,表面覆盖蛎壳状污褐色痂,不易去除,周围暗红色炎性浸润
口腔念珠菌病:鹅口疮最常见;口腔粘膜白色假膜,易剥离;假膜中含有大量假菌丝及孢子
可伴有舌炎或黑毛舌;常为艾滋病的首发症状
外阴阴道念珠菌病:育龄妇女常见;豆腐渣样白带,有臭味;外阴瘙痒;可伴性交痛
念珠菌性龟头包皮炎:包皮过长或包茎的男性;可通过性接触传染;包皮内侧及龟头弥漫潮红;针头或粟粒大的红色丘疹;表面附着乳白色斑片;瘙痒或无自觉症状
消化道念珠菌病;呼吸道念珠菌病;念珠菌性菌血症等
(✔)第二十六章 银屑病(学时 1学时)
掌握:银屑病的各类型临床表现和治疗原则。
熟悉:寻常型银屑病的病理特征。
重点:银屑病的各种类型临床表现和治疗原则。
难点:银屑病的病理特征以及银屑病的鉴别诊断。
定义:遗传与环境共同作用诱发的免疫介导的慢性、复发性、炎症性、系统性疾病
典型临床表现为鳞屑性红斑或斑块,局限或广泛分布
除皮肤症状外,可能会累及关节、头皮、指甲、掌跖等部位
不具有传染性,多冬季复发或加重,夏季缓解
诱发:遗传(仅相关);环境(诱发及加重)(感染,创伤,药物,精神,不良生活习惯等);免疫(Th17细胞及IL-23/IL-17轴在银屑病发病机制中可能处于关键地位,并成为新治疗靶标,TNF→IL-23→角质形成细胞增生)
正常皮肤:28d,银屑病:3-4d。
一、寻常型银屑病(97%)包括点滴状和斑块型
症状:有程度不一的瘙痒。①境界清晰、多形态的红色斑块或丘疹
②表面银白色鳞屑;③好发四肢伸侧、对称性
皮损三大特征:
①蜡滴现象(若轻轻刮除最上层银白色鳞屑,可观察到鳞屑成层状,就像在刮蜡滴一样),②薄膜现象(刮去银白色鳞屑后,可见淡红发亮的半透明薄膜。刮至表皮和真皮交接处),③点状出血(Auspitz’s sign)(刮破薄膜可见小出血点(Auspitz征)
刮至真皮乳头层,有扩张的毛细血血管,刮破后出血)
病情分期:①进行期(旧+新,浸润,鳞屑厚同形反应(Kobner征)外观正常的皮肤在刮伤、抓伤、针刺、注射后,在该部位发生牛皮癣皮损,这种现象也称为Koebner现象),
②静止期(稳定,无新发,炎症较轻,鳞屑较多),③退行期(炎症基本消退,遗留色素减退或色素沉着斑)
急性点滴型银屑病:发疹型银屑病,常见于青年,发病前常有咽喉部链球菌感染史,起病急,数天可泛发全身,皮疹为0.3-0.5cm大小丘疹、斑丘疹,色泽潮红,少许鳞屑,治疗后可在数周内消退,少数转为慢性
寻常型银屑病-面部:多为浸润性红斑、丘疹或脂溢性皮炎样改变
寻常型银屑病-头皮:发际处最明显,超出发际线,境界清楚,鳞屑厚积,成束状发,无脱发及断发
寻常型银屑病-甲:常见“顶针样、油斑”样改变,失去光泽,严重者出现纵嵴、横裂、肥厚甚至破坏脱落
寻常型银屑病-黏膜:唇、颊黏膜、龟头等部位,龟头损害多为边界清晰的暗红斑或斑块
反向银屑病:(肥胖)皱褶部位,以红斑、糜烂,渗出为主,鳞屑很少
病理表现:
表现为角化不全、角化过度、颗粒层减少或消失、棘层肥厚、表皮突规则下延、真皮乳头向上延伸、角质层内中性粒细胞聚集形成Munro微脓肿、真皮浅层血管周围有淋巴细胞浸润。
二、关节病型银屑病,
关节症状可出现在皮损之前、同时或之后,任何关节均可受累,包括肘膝的大关节,指、趾小关节、脊椎及骶髂关节,关节肿胀、疼痛,活动受限,严重时关节畸形,X线检查呈软骨消失、骨质疏松、关节腔狭窄伴不同程度的关节侵蚀和软组织肿胀,但RF阴性
三、红皮病型银屑病(较严重)
可能与激素停药过快、治疗不当有关,全身皮肤潮红、糠状鳞屑,片状正常皮岛
消退后可出现寻常型银屑病皮损,易复发
病理表现:除有银屑病病理特征外,主要有毛细血管扩张,真皮水肿等变化
四、脓疱型银屑病:分为泛发性和局限性两型
泛发性脓疱型银屑病:激素停药、感染、外用药物刺激有关,常急性发病,针尖至粟粒大小、淡红色或黄白色的浅在性无菌性小脓疱,常密集分布(旺旺雪饼样),常伴全身症状,出现寒战和高热,一般1~2周后脓疱干燥结痂,病情自然缓解,但可反复呈周期性发作,也可因继发感染,全身衰竭而死亡
局限型脓疱型:1.掌跖脓疱病:红斑上小脓疱,对称、成批出现,可伴疼痛瘙痒及全身不适。甲常累及,其他部位可见银屑病损害。反复发作,病情顽固
2.连续性肢端皮炎:罕见类型,发生在指端或足趾,脓疱消退后可见鳞屑和痂,甲床也可有脓疱,甲板可能脱落
病理表现:基本病理同寻常型,在棘层上部出现海绵状脓疡,即Kogoj海绵状微脓疡,疱内为中性粒细胞,真皮内主要为淋巴细胞及组织细胞浸润。
—–
皮肤镜检查:淡红色至红色背景,可见均匀分布的点状、球状、发夹状、环状血管结构
鉴别:脂溢性皮炎(无束状发,但常伴有脱发),头癣(脱发,常超出发际线,真菌镜检),二期梅毒(血清学),湿疹(刮屑试验)
治疗:目标是清除症状,控制皮损:糖皮质激素,维生素D3,钙调磷酸酶抑制剂,角质促成剂,光疗
中重度银屑病:免疫抑制剂:甲氨喋呤、环孢素、雷公藤等;维A酸类
生物制剂:IL-17A抑制剂、TNF-α抑制剂、IL-23抑制剂等;联合系统用药+外用药;光疗
外用药物:糖皮质激素霜剂或软膏;注意不良反应,大面积长期使用长效或超长效制剂可有全身不良反应,突然停药可诱发脓疱型或红皮病型银屑病;维A酸类药物:他扎罗汀;维生素D3衍生物:如卡泊三醇等,不宜用于面部及皮肤皱褶部;钙调磷酸酶抑制:他克莫司、吡美莫司等;各种角质促成剂(如焦油制剂、恩林软膏、10%~15%喜树碱软膏、水杨酸软膏等)
系统用药:维A酸类:主要适用于斑块型、脓疱型、红皮病型,如阿维A
免疫抑制剂:主要适用于中重度斑块型、红皮病型、脓疱型、关节病型银屑病
常用的有甲氨蝶呤,成人剂量为每周10~25mg口服,每周剂量不超过50mg,还可用环孢素、他克莫司或雷公藤抗生素类药物:感染严重者或泛发性脓疱型银屑病;糖皮质激素
(✔)第二十七章 大疱性皮肤病(学时 1学时)
掌握:
1.天疱疮分型、各型皮损特点和实验诊断方法。/2.天疱疮与大疱性类天疱疮鉴别的要点。
熟悉:1.大疱性类天疱疮的临床表现。/2.天疱疮、类天疱疮的组织病理和免疫病理。
重点:1.天疱疮分型。2.天疱疮皮损特点。
难点:1.天疱疮、类天疱疮的组织病理和免疫病理。2.天疱疮的实验诊断方法。

天疱疮:自身免疫性慢性大疱性皮肤病;在皮肤及粘膜上松弛性水疱或大疱,糜烂
棘细胞松解征(Nikolsky sign,尼氏征)阳性;组织病理:表皮内水疱
天疱疮抗体: IgG型的抗桥粒芯糖蛋白抗体–血清中和表皮细胞间
自身免疫紊乱
器官特异性自身抗体——抗Dsg抗体介导的器官特异性自身免疫病
天疱疮抗原:表皮棘细胞间桥粒的结构蛋白即桥粒芯糖蛋白Dsg,钙依赖性细胞粘附分子成员,分为寻常型天疱疮抗原PVA即Dsg3,和落叶型天疱疮抗原PFA即Dsg1
抗原抗体结合后引起细胞间粘附功能丧失、棘层松解、水疱形成:①空间位阻干扰;②通过细胞信号传导途径使一系列蛋白酶被激活、水解参与表皮细胞粘着的连接结构;③作用于细胞核,使核固缩核周空泡变性,引起细胞凋亡
天疱疮抗体:血中有抗Dsg3/Dsg1抗体(多为IgG)
抗原:Dsg3(深)/Dsg1(浅)–细胞间桥粒

一、寻常型(PV)(皮肤粘膜均受累):最常见,严重,迁延不愈,预后较差
发热,不适,组织液丢失,多累及中年人
病程:迁延、反复发作,长期不愈;自觉症状:皮损部位瘙痒、灼痛
全身表现:发热、不适、组织液丢失水电平衡紊乱、消耗
预后最差;抗原成分(Dsg3),外周血抗体为抗Dsg3抗体
累及部位:全身,以头面部、口腔、躯干与四肢近端为突出
典型皮损:正常皮肤上发生水疱或大疱,或在红斑基础上出现大疱,疱壁薄,
尼氏征阳性(推:推压水疱一侧,可使水疱沿推压方向移动;压:轻压疱顶,疱液可向四周移动;擦:稍用力在外观正常皮肤上推擦,表皮即剥离;拉:牵扯已破溃的水疱壁时,可见水疱以外的外观正常的皮肤一同剥离),易破溃形成痛性糜烂面,渗液较多,可结痂
–增殖型天疱疮(寻常型的亚型,预后较好)
临床特点:好发生在皱褶部位:腋窝、乳房下、外阴、肛周
皮损特点:皮损最初为薄壁水疱、小脓疱,尼氏征阳性;破溃后在糜烂面上出现乳头状的肉芽增殖;皱褶部位易继发细菌及真菌感染,常有臭味;陈旧的皮损表面略干燥,呈乳头瘤状;黏膜损害出现较迟且、较轻
二、落叶型(PF,累及表皮):疱皮更薄,
多发于中老年人;好发于头面及胸背上部,逐渐发展可波及全身;水疱常发生于红斑基础上,尼氏征阳性,疱壁更薄,更易破裂,糜烂不显著,在表浅糜烂面上覆有黄褐色、油腻性痂和鳞屑,如落叶状,痂下分泌物被细菌分解可产生臭味;口腔黏膜受累少,即使发生也较轻微
抗原成分(Dsg1),外周血抗体为抗Dsg1抗体;本型病情较寻常型天疱疮轻
–红斑型(PE)(落叶型的亚型)
外周血抗体为抗Dsg1抗体;好发于头面、躯干上部与上肢,下肢与黏膜很少累及
皮损除有常见的糜烂、结痂与大小不等的浅表水疱外,更多见的是红斑鳞屑性损害,面部皮损多呈蝶形分布,躯干部皮损与脂溢性皮炎相似;部分患者血清中可检测到ANA和RF因子,BZM有Ig沉积,需与LE鉴别;个别会发展为落叶型天疱疮;日晒后常加重,预后大都良好,全身症状轻
三、特殊类型天疱疮:
①副肿瘤型(可发生于任何年龄;常伴有肿瘤,多来源淋巴系统(非霍奇金淋巴瘤,慢淋,Castleman’s病和胸腺瘤最常见);;皮疹呈多形性,常见有红斑、水疱、大疱、丘疹、鳞屑、糜烂、结痂和多形红斑样损害,掌趾的红斑角化性损害颇有特征性。黏膜损害突出,表现为顽固而持续性的口腔及唇部粘膜糜烂,;病情重,死亡率高,对糖皮质激素的治疗反应差。患者常死于多器官衰竭、呼吸衰竭,激发败血症、消化道出血),
②药物诱导(多由青霉胺、卡托普利、吡罗喜康、速尿和利福平等含有硫氢基团的药物诱发
多表现为红斑型天疱疮,黏膜受累少而轻,停药后能自愈),
③IgA型(多见于中老年女性,好发于皮肤皱褶部位;红斑或正常皮肤上水疱、脓疱,疱常呈呈环状排列,破溃后糜烂结痂,瘙痒;可分为2型,表皮内嗜中性皮病型和角层下脓疱型皮病型; DIF:棘细胞间IgA网状沉积; 外周血检测到IgA 型抗体 ),
④疱疹样(好发于中老年人,皮损常对称分布于躯干及四肢近端,呈多形性,环状或多环状红斑,丘疹、风团等,边缘水疱多呈环形排列,且以小水疱为主,尼氏征(-);瘙痒剧烈,黏膜损害罕见;预后比天疱疮好,少数可转变为寻常型、落叶型、红斑型)
基本病理变化:棘层松解、表皮内裂隙和水疱,疱腔内有棘层松解细胞
直接免疫荧光:棘细胞间有IgG以及C3的沉积,呈网状分布
间接免疫荧光:约80%患者血清中存在天疱疮抗体,多为IgG型
不同类型天疱疮发生棘层松解的部位不同:
寻常型天疱疮:表皮内水疱位置较深,位于基底层上方,真皮乳头突起墓碑样
增殖型天疱疮:基底层上松解,但多轻微,而鳞状上皮增生显著; 炎症浸润明显,表皮内嗜酸性粒细胞脓肿常见
红斑型和落叶型:棘层上部或颗粒层裂隙或水疱,位置浅
直接免疫荧光DIF(疱周皮肤):IgG抗体或 C3网状沉积,少数患者出现IgM和IgA
间接免疫荧光IIF(血清):约80%患者可检测到天疱疮抗体
寻常型和增殖型:棘细胞间IgG、C3的沉积在棘层下方;
落叶型和红斑型:棘细胞间IgG、C3的沉积在棘层上方甚至颗粒层
诊断:临床症状,组织病理,免疫病理
典型临床(松弛性疱,易破, 难愈合;部分伴黏膜损害)+(尼氏征阳性)
组织病理:表皮内水疱、棘层松解现象
免疫病理:DIF:角质形成细胞间- 免疫荧光呈网状沉积;IIF:血清中存在棘细胞间沉积的特异性自身抗体;ELISA检测患者血清特异性抗体水平:Dsg1、Dsg3抗体,抗体水平与临床症状往往呈相关性
天疱疮-治疗;目的:控制皮损,防止复发
局部护理:皮损、黏膜的护理和防治继发感染
系统治疗:糖皮质激素(首选)(早期,足量,逐渐减量,维持治疗),免疫抑制,生物制剂,血浆置换
大疱性类天疱疮 (BP):好发于中老年人,自身免疫性的表皮下大疱病,疱壁厚、紧张不易破的大疱(尼氏征阴性);组织病理:表皮下水疱,疱内嗜酸性粒细胞
免疫病理显示基底膜带IgG和(或)C3沉积,血清中存在针对基底膜带成分的自身抗体
发病机制:1. 药物;2.神经系统性疾病;3.伴发自身免疫性疾病及肿瘤
4. 遗传易感基因;5. 创伤、烧伤、放疗或UVA照射,食物等也可诱发
6. 自身免疫紊乱:血清中存在抗皮肤基底膜带的循环自身抗体:BP180及BP230自身抗体
类天疱疮抗抗原是基底带半桥粒上的BP180(BPAg2)及BP230(BPAg1)
抗原-抗体复合物-激活补体–介质释放、细胞趋化、细胞溶酶体酶释放–基底膜带中连接表皮与真皮的结构受破坏-表皮下水疱,,抗BP180抗体是致病性抗体
临床表现:60岁以上老年人多见,好发胸腹、四肢近端及手足部,常对称分布
典型皮损:外观正常皮肤或红斑基础上出现紧张性水疱、大疱,成批出现或此起彼伏,疱壁厚,呈半球形,疱液清亮,不易破,糜烂面易干燥结痂,不易感染,可自愈,尼氏征阴性
多数不伴黏膜损害,如出现也是很轻微;有不同程度的瘙痒
非典型表现:湿疹样、结节性痒疹、瘙痒型、瘢痕型、掌跖汗疱型等
慢性病程,预后比天疱疮好;;死亡原因:激素的副作用、并发症、慢性疾病
组织病理:取新发水疱,表皮下水疱,水疱为单房性,疱顶多为正常皮肤
疱腔:纤维素,嗜酸性粒细胞为主炎症细胞,真皮上层炎细胞(EOS、LC、NC)浸润
免疫病理:取新发水疱边缘正常皮肤///。直接免疫荧光DIF:DIF 90%以上可见 IgG 和 C3 在基底膜带呈线状沉积,少见 IgM 和 IgA 沉积
间接免疫荧光IIF:显示患者血清中 IgG 在基底膜带线状沉积
盐裂皮肤:免疫沉积物结合在表皮侧,较少同时结合于表皮及真皮
免疫电镜:IgG和C3沉积于基底膜带半桥粒部位,位于透明板上部
检查:ELISA检测抗BPAg1(BP230)、抗BPAg2(BP180)抗体水平+外周血嗜酸性粒细胞+IgE
诊断:典型临床表现(紧张性疱,不易破, 可自愈;无黏膜损害或较轻)+尼氏征阴性
组织病理:表皮下水疱、疱内嗜酸性粒细胞
免疫病理:DIF:基底膜带IgG及C3呈线状沉积;IIF:血清中IgG抗体在基底膜带呈线状沉积
ELISA:血清中存在抗BP180和(或)抗BP230抗体
治疗,目的:控制皮损及瘙痒,防止继发病变(感染及复发),系统治疗:糖皮质激素:首选(早期、足量、逐渐减量、维持治疗);免疫抑制剂(Immunosuppressants);多西环素或米诺环素、烟酰胺;生物制剂; 抗感染治疗

类天疱疮:尼氏征阴性,表皮下大疱病—抗BP180/230抗体(半桥粒)
疱壁厚,不易破,多数无粘膜损害
表皮下疱,有很多嗜酸性粒细胞,DIF(直接免疫荧光):IgG和C3在基底膜带呈线状沉积)
(✔)第二十八章 病毒性皮肤病(学时 1学时)
掌握:
带状疱疹的临床表现、诊断要点和鉴别诊断。
熟悉:
1.带状疱疹的病因学、治疗原则及方法。
2.单纯疱疹的临床表现、传染途径和治疗。
3.各种疣的临床表现、诊断及鉴别诊断、治疗原则。
(二)能力目标
1.掌握带状疱疹的临床表现、诊断要点和鉴别诊断。
2.掌握各种疣的临床表现、诊断及鉴别诊断;3.熟悉各种疣的治疗原则。
(四)重点及难点
重点:1.带状疱疹的临床表现、诊断要点和鉴别诊断。2.带状疱疹的病因学、治疗原则及方法。3.各种疣的鉴别诊断。
难点:1.病毒性皮肤病的分类及发病机制。2.单纯疱疹的治疗。
思考题
带状疱疹的临床表现有哪些?
带状疱疹的治疗原则?
带状疱疹与单纯疱疹的鉴别诊断要点?
病原体:水痘-带状疱疹病毒,人疱疹病毒Ⅲ型;含双链DNA分子;人是唯一宿主;在干燥痂内很快失去活性;愈后可获持久免疫,极少复发。
水痘:显性感染,传染性强;潜伏期:14天;皮损向心性分布;皮损多形态:红斑→丘疹、丘疱疹→水疱→焦痂;成人症状重,并发症多
带状疱疹定义:由潜伏在体内的水痘-带状疱疹病毒再次被激活,沿单侧周围神经分布;集簇性小水疱;常伴显著的神经痛
临床表现:
前驱症状:一般情况:低热,疲倦无力,全身不适,食欲不振;局部情况: 患部皮肤灼热感或疼痛
典型临床表现三大特征:1.带状单侧分布;2.水疱;3.神经痛
带状疱疹后遗神经痛(PHN):皮损痊愈后,神经痛持续存在者
临床表现多样化:
无疹型:不出现皮损, 仅有神经痛;顿挫型:仅出现神经痛,局部红斑、丘疹、不发生典型水疱,见于免疫力相对较强的个体;大疱型:水疱表现为大疱状;出血型:水疱内含红细胞;坏疽型:皮疹可表现为坏死,愈后常留下瘢痕。多见于老年人或免疫力较低下的患者;泛发型:同时累及2个以上神经节产生对侧或同侧多个区域皮损
特殊表现:1.眼部带状疱疹:三叉神经支受累、上眼睑、额部、头顶出现水疱群,炎症重可累及角膜、眼球; 2.耳部带状疱疹:面神经、听神经节受累,可影响面神经的运动和感觉纤维,导致面瘫、耳痛、外耳道疱疹三联征(Ramsay-Hunt综合征); 3.播散性带状疱疹:局部发疹后数日全身皮肤出现散在小水疱(受累皮节外出现20个以上皮损),类似水痘样皮疹,全身中毒症状较重,常伴发脏器损害,严重者可导致死亡
病程:一般为2-3周,老年人为3-4周;原皮损处愈后可留下暂时性淡红色斑疹或色素沉着

水痘治疗与预防:抗病毒;对症;隔离;接种疫苗
带状疱疹治疗原则:抗病毒;止痛;消炎;防止并发症
抗病毒治疗:早期、足量抗病毒治疗(阿昔洛韦)糖皮质激素
疱壁未破:阿昔洛韦软膏;喷昔洛韦软膏;;疱壁破溃:3%硼酸溶液
疣:是由人类乳头瘤病毒(HPV)感染所引起的皮肤病
寻常疣;扁平疣(Koebner现象(同形现象):正常皮肤在受非特异损伤后可诱发与已存在的某一种皮肤病相同的皮肤变化(皮损));;跖疣;尖锐湿疣

局部治疗 :电灼、冷冻、激光、刮除等;数目多者可用酞丁胺软膏、维A酸软膏、5-FU软膏等。;全身用药:聚肌胞;干扰素
传染性软疣是传染性软疣病毒感染所致的表皮增生性传染性皮肤病;可通过直接接触传播、自身接种或性接触传播
病因:传染性软疣病毒(MCV);儿童由MCV-1型所致免疫功能低下者,60%由MCV-2。
临床表现
潜伏期:1周至6个月;皮损特点:米粒至黄豆大小的半球型丘疹,呈灰白色或珍珠色,表面有蜡样光泽,中央有脐凹,可以从中挤出干酪样物质,称为软疣小体
好发部位:儿童型常见于手背、躯干、四肢、面部;成人型常见于生殖器、臀部、腹部、肛周等
局部治疗:无菌条件下用刮匙将疣体刮除;电灼、激光、冷冻
手、足、口病:是由柯萨奇A16型病毒和肠道病毒71型感染有关;以手、足及口腔发生水疱为特征;主要经粪-口途径传播
第二十九章 其它皮肤病(学时 2学时)
熟悉:
1.细菌性皮肤病(脓疱疮、毛囊炎、疖、痈、丹毒、蜂窝织炎病因、临床表现及治疗)。
2.动物性皮肤病(疥疮、隐翅虫皮炎、毛虫皮炎、虱病、虫咬皮炎)的临床表现及诊治。
3.色素性皮肤病(白癜风、黄褐斑、雀斑)的临床表现及诊治。
4.寻常性痤疮的病因、发病机制、临床表现和治疗方法。
(二)能力目标
1.熟悉细菌性皮肤病、动物性皮肤病、色素性皮肤病的类型及鉴别。
2.熟悉寻常性痤疮的临床表现,并能够结合临床所见对其做出诊断和治疗。
(四)重点及难点
重点:
1.细菌性皮肤病(脓疱疮、毛囊炎、疖、痈、丹毒、蜂窝织炎)的病因及临床表现。
2.动物性皮肤病(疥疮、隐翅虫皮炎、毛虫皮炎、虱病、虫咬皮炎)临床表现。
3.色素性皮肤病(白癜风、黄褐斑、雀斑)的临床表现及诊治。
4.寻常性痤疮的病因、发病机制、临床表现和治疗方法。
难点:
1.细菌性皮肤病(脓疱疮、毛囊炎、疖、痈、丹毒、蜂窝织炎)的分类及鉴别诊断。
2.动物性皮肤病(疥疮、隐翅虫皮炎、毛虫皮炎、虱病、虫咬皮炎)的分类及鉴别诊断。
3.色素性皮肤病(白癜风、黄褐斑、雀斑)的诊断及鉴别诊断。

2025-05-12-1024x1024.png)







